|
Echoanatomie du tube digestif : Images d'echographie normale de oesophage ,estomac
,colon et appendice :
En generalement la paroi digestive se presente
en 4 couche : la sereuse , la musculeuse , la sous muqueuse
et la muqueuse . A interface de la muqueuse c'est la lumiere du
tube digestif , a interface de la sereuse est la graisse
peri digestive . Dans echographie tous se formaient en 5 couche
alternativement de hypo a hyperechogene :
| |
| - Interface interne : Hyperechogene
|
| - La muqueuse
: ,Hypoechogene |
| - La sous musqueuse
: Hyperechogene
|
| -La couche musculeuse : Hypoechogene |
| -Interface sereuse -graisse
peridigestive : hyperechogene |
|
 |
|
L'examen echographie du tube digestif a debute
en premier temps par un balayage de la cavite abdominale avec
sonde a bas frequence . En deuxieme temps on peut
detaille segmentaire tube digestif par sonde a haute
frequence de 5,6 - 8 MHz . La compression dosee seraa aider
une viualisation de la paroi et de l'interface graisseuse peri
digestive . Le mode Doppler permet d'etudier la
vascularisation de la paroi .
|
La difference des organes du tube digestif est la
difference de l'epaissisement de la paroi , la localise de
cette organe , la difference des plies muqueuses , de onde
peristaltisme et la presence de lymphoid follice ( intestin
grele ) , le myenteric plexus ou submucosal plexus ( colon ) ,
la submucosal gland et le squamous mucosa ( oesophage ) : |
 |
| |
|
| |
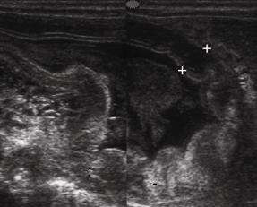
Estomac : Image echographique normale |
|
|
| |
 |
 |
|
| |
Image echographique de
l' estoma en coupe axiale incline .Epaiseur de
la musculeuse de la paroi est marquee de 4mm a 5mm
en estoma distendu |
Antre
gastrique : epaisseur de la pảroi de antre gastrique
varie entre 3-4mm au niveau de la region pylorique |
|
| |
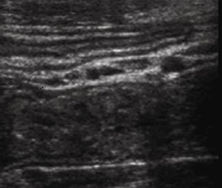
Intestin grele : Image
echographique normale |
|
|
| |
 |
 |
|
| |
L'epaisseur de la paroi de
l'intestin est en moyen de 3mm avec des
plies muqueuses et de peristaltisme marquee .
Au ileon la hauteur des plies
muquese est diminue et espace entre des plies
muqueuse sont augementes |
Jejunum : Important de
la presence de plissement de la muqueuse en
connivence |
|
| |
|
|
|
| |
Valvule ileo-coecale :
Image radiologique normale |
|
|
| |
 |
1 - Anse ileale
2 - Valvule
3 - Coecum |
|
| |
Colon : L'epaisseur du colon varie
entre 5mm et sa peristaltisme presque interceptible . |
|
|
| |
 |
 |
|
| |
Colon droit : Les haustrations
sont plus espacees et la paroi anterieure presque
toujours aerique ** |
Colon gauche :
Haustration sont plus nombreuse s avec hypertrophie
musculeuse |
|
| |
Appendice : Image
radiologique normale |
|
|
| |
 |
- Structure tubulee ,aperistaltisme
, situe au bas fond coecal .
- Sa diametre ne depasse 6mm , epaiseur
paroi 3mm
- A etat normale , sa visualise est 60-70%
des cas |
|
| |
|
|
|
Gs Bui Binh Tho
<< BACK << >>
NEXT >>
Page :
1
/
2
/
3
/
4
/
5
/
6
/
7
|
|