|
|
|
| Images
radiologiques normales du poumon ,la plevre , le
diaphragme , et le mediastin .
Crete : 29
November 2003 ... new update 14 May 2016
and re-update March 2024
|
 |
|
|
|
Image radiologique normale de mediastin
( radioanatomie ) ( a suivre ) :
Image IRM normale du mediastin :
l’IRM
du thorax est limité et ne permet pas d’explorer fiable le
parenchyme pulmonaire en routine clinique, Ses indications
sont en bien établies dans la pathologie pleurale,
médiastinale et vasculaire thoracique. La contraste
l’IRM se mis à profit pour caractérisation tissulaire des
tumorales, et pour l’étude de l’envahissement de la paroi
thoracique et des organes de voisinage .
| |
 |
|
 |
|
| |
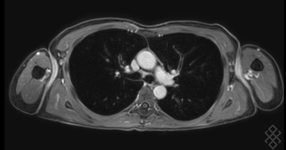
Image radiologique IRM normale
du thorax et de mediastin en coupe axiale pondere
sur T1 FS gadolinium |
|
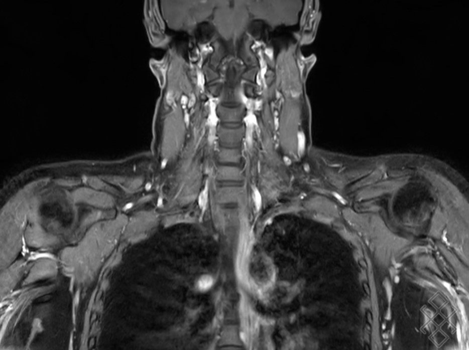
Image radiologique IRM normale du thorax
et de mediastin en coupe coronal pondere sur T1 FS
gadolinium |
|
| |
 |
|
l’IRM du thorax est limité et ne permet pas
d’explorer fiable le parenchyme pulmonaire en
routine clinique. Ses indications sont en bien
établies dans la pathologie pleurale, médiastinale
et vasculaire thoracique. La contraste
l’IRM se mis à profit pour caractérisation
tissulaire des tumorales, et pour l’étude de
l’envahissement de la paroi thoracique et des
organes de voisinage . Les technique radiologique
fiable de IRM souvent utilise1 pour explorer le
madiastin son : Les coupes à ponderation sur T1 , T1
Fatsat , T1 FS Gadolinium , T2 , T2 FS ...
|
|
| |
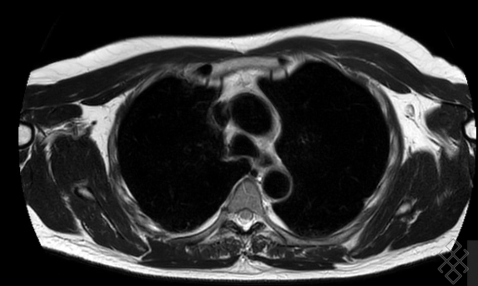
Image radiologique IRM normale
du thorax et de mediastin en coupe axiale pondere
sur T2 |
|
|
|
| |
|
|
|
|
Dr Bui Binh Tho
FIN
>>
PREVIOUS
>>
>>
NEXT >>
Page :
1
/
2
/
3
/
4
/
5
/
6
/
7
|
|
|
|
|
|
|
|
|
Add :
Dr BUI BINH THO 35B Ho Hoa , To1 , Kp 1 , Tan Phong ,BIEN HOA , DONG NAI
, VIET NAM Email
:
buibinhtho52@gmail.com
Copyright
© 2001: My homepage's Bui Binh Tho Md
, 35BHo Hoa, to1, Kp1, Tan Phong , BIEN HOA , DONG NAI , VIET NAM . Tel (0251) 8820217 ,
Mobile : 0903358597 . Plus ( +84 ) for all oversea relation .
All
Rights Reserved.
This document is strictly for informational, non-commercial purposes.
|