Actualite de la medicine
                                                                                             BUI BINH THO  MD 
 Home    Radiologie  Echographie  Pneumologie Vaccinologie  Medicament  Information
 
  Images  radiologiques normales du poumon ,la plevre , le     diaphragme , et le mediastin

Crete : 29 November 2003 ... new update 14 May 2016

                

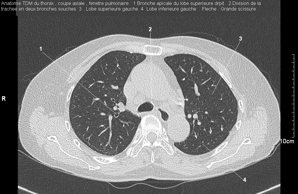
         Radioanatomie pulmonaire ( image radiologie thoracique normale )- La Tomodensitometrie du  thorax ( coupes axiales fenetre pulmonaire )  
         Les fenetres parenchymateuses permettre d'etudier anatomie du poumon et juger sur les lesions du parenchyme pulmonaire en coupes axiales de 0,5-1cm sur le thorax .  
     
<  >
     
     

 

                                                                                                                              Dr Bui Binh Tho

                                                               

                     >> PREVIOUS >>                                                                   >>NEXT >>

 

   Page : 1 / 2 / 3 / 4 / 5 / 6 / 7

  

 

 

 

 

      
  Radiodiagnostic
 - Le Poumon , laplevre, le diaphragme et le mediastin  
 
  Techniques radiologiques
 
  Radioanatomie du thorax
 
  Semiologie , pathologie radiologique du poumon
    
 
 
 
 

 

Echographie
 
 
 
 My home page I My family home page I My personal page I Medline I R/C model airplane page-Games I Science

  

 Email : buibinhtho52@gmail.com . Copyright © 2001 My homepage's Bui Binh Tho Md , 35B Ho Hoa To1 ,Kp1 , Tan Phong , BIEN HOA , DONG NAI , VIET NAM . Tel 0251 8820817 , Mobile : 0903358597 . Plus ( +84 ) for all oversea relation . All Rights Reserved.