|
Image radiologique normale de mediastin
( radioanatomie ) :
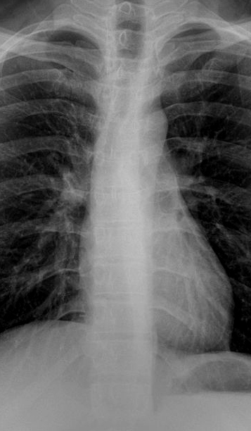
Cliche de face PA :
Le médiastin est
la région de la cage
thoracique située
entre les deux poumons et
contenant le cœur,
l'œsophage,
la trachée et
les deux bronches souches.
De gros vaisseaux
sanguins et lymphatiques,
ainsi que des nerfs,
y passent également. Le médiastin correspond au contenu de
la cage thoracique sans les poumons et selon Zylac il est
divisé en trois compartiments, antérieur, moyen et
postérieur.
Sur
le cliché de face PA à droit il y avait troi arc et à gauche
avaient 4 arc , ce sont :
| A droite , le
bord du mediastin est veineux :
Arc superieure droit :
tronc veineux brachiocephalique
Arc moyen : veine cave
superieure
Arc inferieure ,convexe:
Oreillette droit et veine cave inferieure
|
 |
A gauche , le bord du
mediastin est arteriel : - artere
sous-claviere gauche
- Arc superieure ( bouton
aortique )
- Arc moyen : infundibulum arteriel
pulmonaire et auricule gauche
- Arc inferieure , convexe : bord
gauche du ventricule gauche .
|
Index cardio-thoracique
: Index thoacique / coeur normalement est egale
de moindre 48 -50% et chez le nourisson cette index peut de
moindre 55% .
Les lignes de reflextion
mediastinale
| |
 |
 |
| Lignes mediastinales |
| 1 Para-arterielle gauche-veine
sousclaviere |
| 2 Mediastinale posterieure |
| 3.Paraveineuse superieure droit |
| 4 Para azygos |
| 5 Mediastinale anterieure |
| 6 Para aortique |
| 7 .Paravertebrale droite et gauche |
| 8 Veine cave inferieure |
| 9 Para-oesophagienne ( bord droit
de oesophage) |
| 10.Para tracheale droite ( bord droit
trachee ) |
|
|
Cliche de profile :
Zylac a divise le médiastin en
trois espace:
• Médiastin moyen (l'espace vasculaire) contient les gros
vaisseaux (les veines caves et leurs tributaires, l'aorte
thoracique ascendante et ses branches).
• Médiastin antérieur (l'espace prévasculaire ) contient des
organes comme le thymus, la thyroïde et les parathyroïdes.
• Médiastin postérieur (l'espace post-vasculaire ) contient
la trachée, l'œsophage, l'aorte thoracique descendante et la
veine azygos.
| |
Une ligne tranversal à travers fene6tre aortique
divisier le mediastin en deux superieure et
inferieure |
| |
|
| |
Profile droit |
Profile gauche |
Zylac a divise le médiastin en
trois espace: Anterieure , moyen et posterieure |
|
Image TDM normale du mediastin : Sur la TDM image
radiologique de mediastin en voyait très nette , en avant
est le sternum et sa jonction des côtes et en arrière c'est
la colone vertebrale .
Sa contenant est le cœur,
l'œsophage,
la trachée et
les deux bronches souches
, de gros vaisseaux
sanguins et lymphatiques,
ainsi que des nerfs
- Chaine ganglionaire : Les ganglions lymphatiques
sont encapsules , siegent autour des bronches proximales
au niveau de bifurcation . On peut voyait seul
quand elle est calcifiee ou hyperplasie reactionelle
tabac ou poussieres , bord irregulie et ne peut pas
elimine a 3 cm de hile . Il y avait quatre groupe
de chaine de ganglion lymphatique pulmonaire
| - Chaine paratracheal droit et recurentielle
( gauche ) - Ganglion de bifurcation sous carena
- Chaine mediastinale anterieure G ou
preaortocarotidienne ( ganglion de Botal )
- Ganglions hilaire droit et gauche
|
 |
- L'oesophage est un tube musculaire de 25 cm de
longueur (de C6 à D11) divisier en trois portion:
cervicale, thoracique et abdominale . Dans la portion
intra thoracique , l'oesophage se diviser en trois , tiers
supérieur , de l'orifice supérieur du thorax à la
bifurcation trachéale, à 24 cm approximativement des
incisives supérieures , tiers moyen débutant à la
hauteur de la bifurcation trachéale, de 24 à 32 cm
approximativement des incisives supérieures tiers
inférieur : (incluant l'oesophage abdominal), de 32 à 40
cm approximativement des incisives supérieures.
| |
 |
|
 |
|
| |
|
|
|
|
| |
 |
|
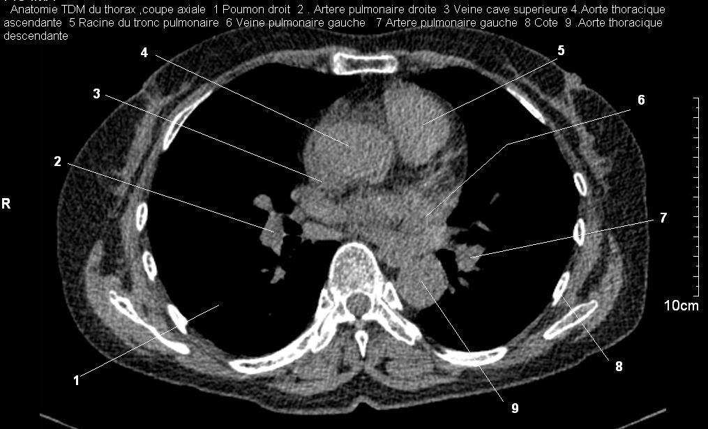
Imade radiologique TDM normale du
mediastin en coupe axiale à travers apical , et à
travers à supperieur de sinus Valsava de aort
ascendente . Le trache , les deux bronchous ,
vaiseaux de hile , des chaines ganglionaires et des
grands vaisseaux sont en vue et interpreter
facilement .
Click pour agrandir et à engager |
|
| |
|
|
|
|
Dr Bui Binh Tho
A suivre >>
>>
PREVIOUS
>>
>>
NEXT >>
Page :
1
/
2
/
3
/
4
/
5
/
6
/
7
|
|