|
Le bien interprete des images radiologie -
pathologiques pulmonaires se base sur la connaissance des
images radiologiques normalement du
thorax .
Rappel anatomie du thorax :
Le thorax occupe
l’étage supérieur du tronc,il est entouré d’une paroi
ostéo-musculaire expansive qui protège son contenu. La cage
thoracique renferme deux régions pleuro-pulmonaires
latéralement et le médiastin en son centre, elle est ouverte
en haut sur la base du cou et fermée en bas par le
diaphragme
- Paroi thoracique : Comporte les cotes , des muscles
de la paroi , os sternum anterieure , la colone
vertebrale à posterieure et la plèvre . La plevre avait
en 2 feuillets , la plèvre viscérale et plèvre pariétale
se réunissant autour du hile , De la plèvre viscerale
il avait des cloisons interlobaires se forment de grand scissure du poumon droit et gauche et une
petit scissure à inferieure du du poumon droit
- Poumon et des bronches :
Le trachee est une conduit semirigide de annaux
cartilagineuse en avant et de membrane fibreuse
posterieure et avait de diametre à moindre de 30mm , Le
bronche est de conduit de muscle lisse , de cartilage ,
de fibre elastique elastine et de collagene aveoles
.Les bronches segmentaires se divisent en bronches
sous-segmentaires une dizaine de fois jusqu’aux
bronchioles terminales qui se terminent dans les
conduits alvéolaires : une unité anatomie et fonctionelle
du poumon , lobule de Miller .
- Le mediastin : Le médiastin est la
partie du thorax située entre les deux régions
pleuropulmonaires sous forme d’une pyramide tronquée à
base inférieure. Représente environ le 5ème du volume de
la cage thoracique. Chez l’adulte, il a une hauteur
moyenne de 15 à 20 cm, une largeur de 4 à 5 cm en haut
et de 12 à 15 cm en bas.Limite en avant : le sternum. en
arrière : la colonne vertébrale de D1 à D12. en haut :
l’orifice supérieur du thorax.en bas : le diaphragme et
latéralement ce sont les plèvres médiastinales Elle
comporte de vaisseaux , coeur , oesophage et chaine
ganglionaire . Felson est en divisier mediastin dans le
plans antero-posterieure en 3 compartiment : anterieure
, moyen et posterieure :
| |
 |
|
 |
|
| |
La paroi de la
cage thoracique comporte en des côtes et os sternum
en avant et la colone vertebrale en arriere et à
inferieure c'est le diaphragme . Sa contenue est les
deux poumon et le mediastin au milieur |
|
Les deux poumon sont entoure par la
plevre parietal et de plevre visceral . Poumon droit
est divise en trois lobe , superieur , moyen et
inferieure par des cloisons interlobaires de plevre
visceral droit : grand scissure et petite scissure .
Poumon gauche est en divise en deux lobe superieur
et inferieure par grand scissure gauche |
|
| |
|
|
|
|
| |
 |
|
 |
|
| |
Le bronche et bronchiole est de conduit de la
muqueuse et de muscle lisse , de cartilage ,
de fibre elastique elastine et de collagene aveoles |
|
Le trachee est une conduit semi-rigide de
annaux cartilagineuse en avant et de membrane
fibreuse posterieure et avait de diametre à moindre
de 30mm . |
|
| |
 |
|
A T5 le trache se divise en deux :
le bronche souche droit avec de trois bronches
lobaires : bronche lobaire superieure , moyen et
inferieure et ce qui encore en divisent a des
bronches segmentaires , ils y avaient trois du lobe
superieur , deux a lobe moyen et cinq au lobe
inferieure droit . La bronche souche gauche en
se divise en deux : le bronche lobaire superieure
avec cinq bronches segmentaires : apical ,
dorsal ,ventral , superieure droit ;
inferieure droit , le segment Fowler et la
paracardiacque . Le bronche lobaire inferieure est
en divise en trois bronches segmentaires :
ventral , lateral et posterieure |
|
| |
|
|
|
|
| |
 |
|
 |
|
| |
|
|
|
|
| |
 |
|
Le mediastin situe à la
région médiane du thorax. Le médiastin est compris
entre les deux poumons, latéralement, le rachis
dorsal, en arrière, et le sternum, en avant. Chez
l’adulte, il a une hauteur moyenne de 15 à 20 cm,
une largeur de 4 à 5 cm en haut et de 12 à 15 cm en
bas et il contient le cœur et ses vaisseaux (aorte,
artère pulmonaire, veines caves) sur tout ou partie
de leur trajet, la trachée et les bronches les plus
grosses, la plus grande partie de l'œsophage, des
nerfs, des vaisseaux et des ganglions lymphatiques
|
|
| |
En coupe
sagitale le mediantin se divisier en trois :
mediastin anterieure , mediastin moyen et mediastin
posterieure . Il avai
une subdivision de distinguer un médiastin supérieur
et un médiastin inférieur séparés par un plan
horizontal passant entres les vertèbres thoraciques
TH4 et TH5
|
|
.
 |
|
| |
|
|
|
|
Image radiologique normale du
thorax ( radioanatomie du thorax )
Imagerie du thorax se base sur les techniques
radiologiques : La radiographie standard , la
tomodensitometrie , l'imagerie par resonance magnetique (
IRM ),l'echographie scintigraphie
ventilation-perfusion , arteriographie bronchiques , la
bronchographie seraient donc capital d'adapter a demande sur
la situation clinique et d'informer clairement du medecin
speciale .
La bien interprete des images radiologie - pathologiques
pulmonaires se base sur la connaissance suffisament des
images radiologiques normales du thorax.
Image radiologie normale de la
paroi thoracique (Radioanatomie )
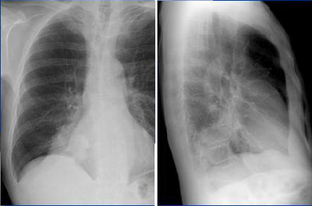
- La Radiographie standard ( cliche de
face et de profile ).
Images analoques radiologiques sur le film
c'est la comsommation des images de difference tissu . Selon
la difference de l'absortion des tissue a rayon X , il y
avait quatre densite radiologique :
- Calcaire
( des os .. ) qui se donne de grand opacite
-
Liquide ( tissus mous , sang , gros vaisseaux , le coeur
...)
-
Graisseuse , moin de absortiuon de rayon X que les tissus ,
l'opacite est moindre .
-
Aerique : na pas de absortion de rayon X ( parenchyme
pulmonaire , trache , bronches , poche a air gastrique ... )
Quand deux tissus de meme densite sont en
contact sur un meme plan , leur surface de separation est disparue
. Par contre , si deux structure de meme densite se
projettant l'un sur l'autre dans deux differences de plans , leur contour peut voyait sur le film . C'est le signe de silhouette
de Felson .
La peau , les tissus sous cutanees , le sein , les
mamelons , les plis cutanes du vieillage et les cotes sont voyait en
consommation sur le cliche de face . Selon cette
caractéristique, les images peuvent facilement confondues
sur les radiographies thoraciques de face PA simple :
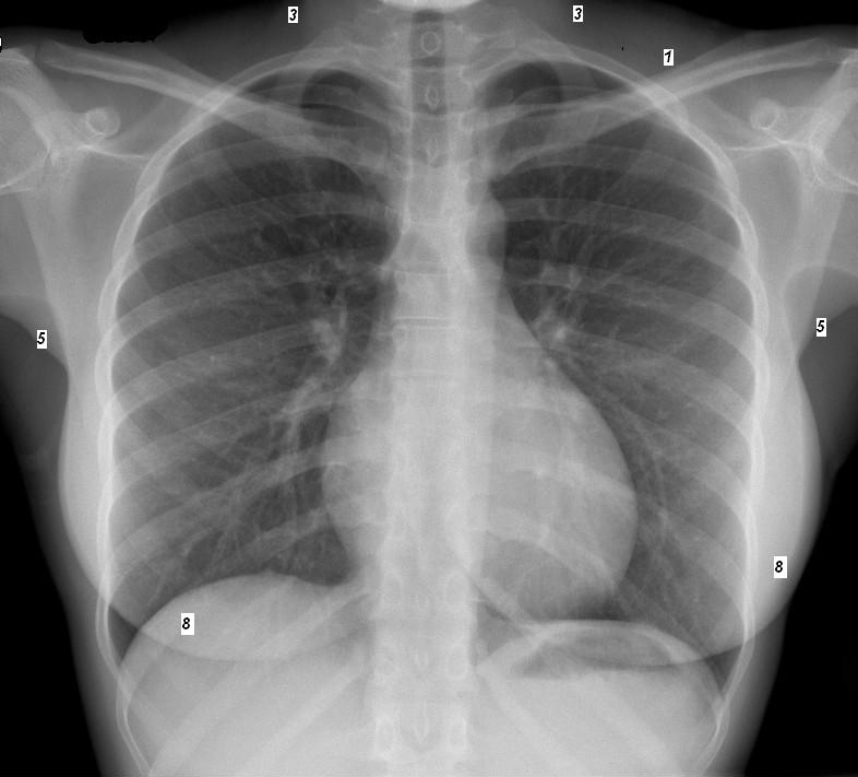
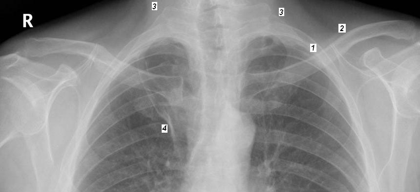
| Les images ce qui peut en pieges du cliche
de face : -1 Ombre accompagnement de la 2e
cote
-2 Ombre accompagnement de la clavicule
-3 Ombre de muscle sterno cleido-mastoidien
-4 Scissure azygos
-5 Parties molles du creux axillaire .
-6 Ombre de artere sous claviere
-7 Mamelon des hommes
- 8 Ombre des deux seins.
-9 Ombre des omoplates
-10 Calcification chondrosternales |
 |
|
Arch posterieure des côtes sont bien
visible que arch anterieure , peu horizontal dans inspiration
profond et incline vers a bas dans expiration .
L'aspect du thorax peut change , normalement en trapeze , en
tonneau sur les asthms ou BPCO , pectus excavatum sur les
paralyse . Le cote peut atrophie , bifidite ou flottant (
C12 ) ..
Dr Bui Binh Tho
A suivre >>
<<
PREVIOUS >>
NEXT >>
Page :
1
/
2
/
3
/
4
/
5
/
6
/
7
|
|