|
La bien interprete des images
radiologie - pathologiques pulmonaires se base sur la
connaissance des images radiologiques normalement pulmonaire
.
Image radiologique normale du
poumon et des
bronches ( a suivre )
Image radiologique normale de arbre
tracheobronchique ( radioanatomie ) :
Le cliché de face PA et de profile droit ou
gauche image du trache et les deux bronches sont de bande
claire avant la colone vertebrale , de carena le trache en
divisier en deux bronchus droit et gauche .
Avec technic bronchographie en
lipiodol l'abre des bronches pulmonaires droit et gauche sont
bien detecte . A T5 le trache se divise en deux : le bronche
souche droit avec de trois bronches lobaires : bronche
lobaire superieure , moyen et inferieure et ce qui encore en divisent
a des bronches segmentaires , ils y avaient trois du lobe superieur ,
deux a lobe moyen et cinq au lobe inferieure droit .
La bronche souche gauche en se divise en deux : le bronche
lobaire superieure avec cinq bronches segmentaires : apical , dorsal ,ventral , superieure droit ;
inferieure droit , le segment Fowler et la paracardiacque . Le
bronche lobaire inferieure est en divise en trois bronches segmentaires :
ventral , lateral et posterieure .
Radioanatomie TDM de l'abre tracheobronchique
fenetre mediastinal et fenêtre parenchymateuse :
| |
 |
|
 |
|
| |
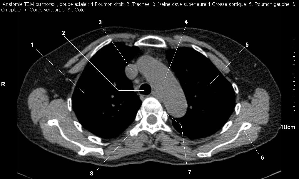
Image
radiologique TDM normal coupe axiale , fenetre
mediastinale du trache . Le trache dans ce coupe est
en aspect de tube arrondie très hypodensite de vide
en avant pres de os vertebral TH3-4 . (
click pour entrer ) |
|
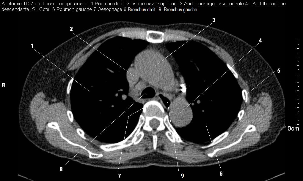
Image radiologique TDM normal , coupe
axiale , fenetre mediastinale du bronchous droit et
gauche . Le bronchus droit est en aspect
arrondie hypodense très nette , bronchous gauche
ovalaire , lisse , nette très hypodensite de vide en
avant , pres de os vertebral TH3-4 . (
click pour entrer ) |
|
| |
 |
|
 |
|
| |
Image radiologique TDM normal
, coupe axiale , fenetre parenchymateuse du
bronchous droit et gauche . Le bronchus droit
est en aspect arrondie hypodense très nette ,
bronchous gauche ovalaire , lisse , nette très
hypodensite de vide en avant , pres de os vertebral
TH3-4 . (
click pour entrer ) |
|
Image radiologique TDM normal , coupe
coronal , fenetre parenchymateuse du bronchous droit
et gauche . Le trachee et le bronchus droit et
gauche est en vue très nette hypodense sur ce
coupe. (
click pour entrer ) |
|
| |
 |
|
Image radiologique TDM normal , coupe
sagital , fenetre parenchymateuse du bronchous droit
. Les vaisseaux et les ganglions du hile est en vue
bien , les bronchous droit et sa branche
hypodense sont en vue très nette sur ce coupe. |
|
| |
|
|
|
|
| |
|
|
|
|
| |
|
|
|
|
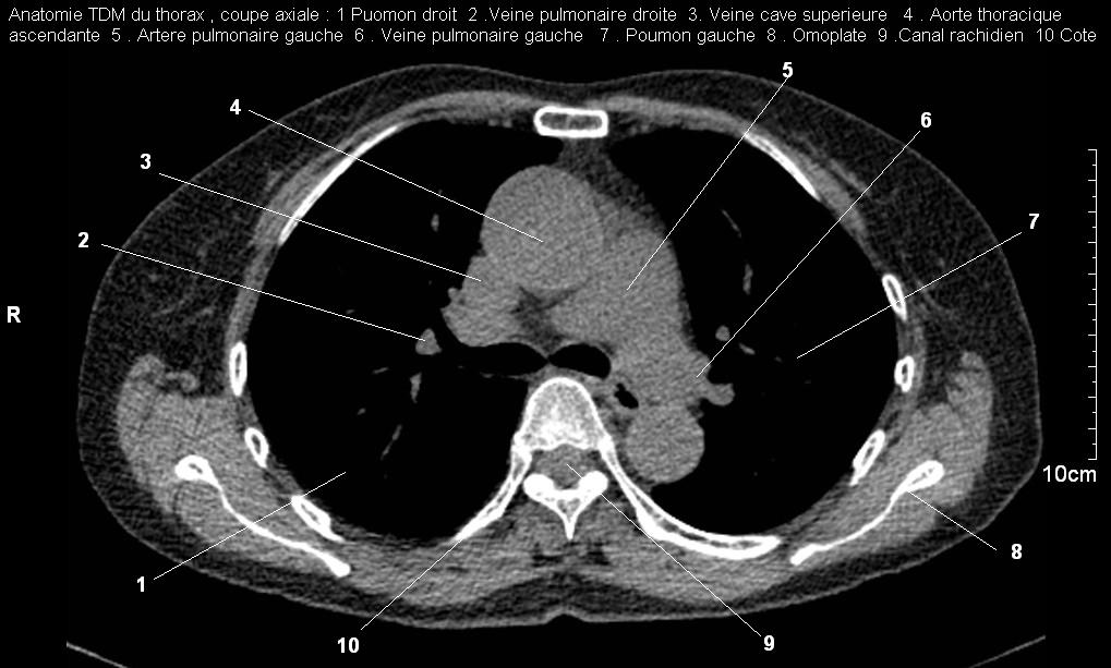
Image radiologique normale du poumon ,les hiles , les ganglions lym
phatiques et le parenchyme
pulmonaire : ( radioanatomie )
Cliche de face PA et de profile :
Les deux poumon sont entoure par la plevre
parietal et de plevre visceral . Poumon droit est divise en
trois lobe , superieur , moyen et inferieure par des
cloisons interlobaires de plevre visceral droit : grand
scissure et petite scissure . Poumon gauche est en divise en
deux lobe superieur et inferieure par grand scissure gauche
. La parenchyme pulmonaire se formaient par des unités anatomies et fonctionelles
du poumon , lobule de Miller . Chaque acini comporte de
moindre de 5000 unite1 de lobule Miller .
Image de hile sur le film , c'est la consommation des
images de arteres , veines pulmonaires , la bronche souche
droit ou gauche , plexus nerveux , artere bronchique et
ganglions lymphatiques .
-Image radiologique normale du poumon ,les hiles
et des ganglions lym
phatiques sur le cliche de face PA : Le hile radiologique
droit presente en forme un moitier de la subtance grise de
moelle vertebrale et cela se voyait.en effet c'est les deux branche de
division de l'artere pulmonaire droit donc l'angle de la
bissectrice correspond a la petite scissure . Sa taille
presente de la partie anterieure de la deuxieme cote vers a
la quatrieme cote , le contours sont reguliers ,sa
densite est similaire des deux cotes
- Le hile gauche prenait une forme de virgule . A extremite supero-interne, c'est la bord de la branche gauche
de artere pulmonaire , et en bas c'est le contenant de
artere lombaire inferieure . Normalement le hile gauche se
situe plus haut que le droit .
Les ganglions lymphatiques sont encapsules ,
siegent autour des bronches proximales au niveau de
bifurcation . On peut voyait seul quand elle est
calcifiee ou hyperplasie reactionelle tabac ou poussieres ,
bord irregulie et ne peut pas elimine a 3 cm de hile . Il y
avait quatre groupe de chaine de ganglion lymphatique pulmonaire
:
| - Chaine paratracheal droit et recurentielle
( gauche ) - Ganglion de bifurcation sous carena
- Chaine mediastinale anterieure G ou
preaortocarotidienne ( ganglion de Botal )
- Ganglions hilaire droit et gauche
|
 |
Le parenchyme pulmonaire : La trame
pulmonaire est est cree par les vaisseaux pulmonaires ; les
bronches de petit calibre remplies d'air avaient des parois
trop fines pour etre visibles ; seul les brones souches et
quelques bronches segmentaires de direction
antero-posterieure sont visible . Ils y avaient
accompagnes de artere satellite de meme calibre en forme un
image fusile de deux .,... A 1,5 cm du bord externe du
poumon on ne peut pas voyait les trames , c'est la manteau
pulmonaire .
Le parenchyme pulmonaire se forme par des unites de
lobule unité anatomique et fonctionelle de lobule primaire
de Miller du poumon, ce sont des polyedrique de
1-1,5cm contient de 3 à 5 acini qui se subdivisent elles
même en sacs alvéolaires puis en alvéoles , ce qui en
formaient de la parenchyme pulmonaire :
| |
 |
|
 Le
parenchyme pulmonaire se forme par des unites de
lobule unité anatomique et fonctionelle de lobule
primaire de Miller du poumon, ce sont des
polyedrique de 1-1,5cm contient de 3 à 5 acini qui
se subdivisent elles même en sacs alvéolaires puis
en alvéoles , ce qui en formaient de la parenchyme
pulmonaire
Cette surface estimée chez l’adulte de 70 à
90 m2 en moyenne .. |
|
| |
|
|
|
|
La diviser les bronches segmentaires de arbre
bronchique droit et gauche correspondantes avec des lobes et
des segments pulmonaires . Schematiser de la divisire des
lobes et des segments pulmonaires correspondante avec arbre
bronchique suivent :
Les zones de projections des lobes ** et
des segments** pulmonaires droit et gauche sur les cliches de face et de
profile se voyaient sur deux images :
----Poumon droit |
Poumon gauche |
La TDM fenêtre osseuse et fenêtre
parenchymateuse : Normalement image radiologique TDM du
parenchyme pulmonaire de la fenetre mediastinale est moindre
de interprete et de detecte que la fenetre parenchymateuse ,
en excepte de l'explore des hiles et des vaiseaux . Sur les
coupes TDM fenetre parenchymateuse normalement on peut en
voyaient des scissure , des septals segmentaires et des
acinies même que les hiles , les vaisseaux hilaires
et ganglions lymphatiques .
| |
 |
|
 |
|
| |
Image radiologique TDM
normale les hiles , les ganglions lymphatiques et le parenchyme pulmonaire ,
fenetre osseuse (mediastinale ) : Aspect
radiologique du parenchyme pulmonaire est
moindre de interprete et de detecte que des hiles ,
des vaiseaux et des ganglions hilaires .
Click pour agrandir |
|
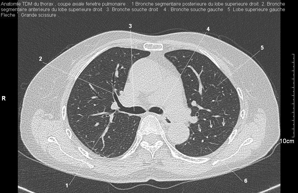
Image radiologique TDM normale les hiles , les ganglions lymphatiques et le parenchyme pulmonaire ,
fenetre parenchymateuse : Aspect radiologique
du parenchyme pulmonaire peut être de
detecte et on peut en voyait des acinie , des septal
intersegmentaire , de scissure , des hiles , des
vaiseaux et des ganglions .
Click pour agrandir |
|
| |
 |
|
 |
|
| |
Image radiologique TDM
normale du parenchyme pulmonaire en coupe sagitale
du poumon droit et gauche fene6tre parenchymateuse .
On peut en voyait image hyperdense incomplète du
grand scissure du poumon droit , gauche et petit
scissure du poumon droit ( flèche blanche ) .
Click pour agrandir |
|
Image radiologique TDM
normale du parenchyme pulmonaire en coupe coronal (
fronyal ) du poumon droit et gauche fenêtre
parenchymateuse . On peut en voyait arbre bronchique
hypodense , image hyperdense des vaiseaux
hilaire et parenchymateuse , des scissure et de
septal intersegmentaire ... .
Click pour agrandir |
|
| |
|
|
|
|
Dr Bui Binh Tho
A Suivre >>
>>
PREVIOUS
>>
>>
NEXT >>
Page :
1
/
2
/
3
/
4
/
5
/
6
/
7
|
|