|
|
|
| Images
radiologiques normales du poumon ,la plevre , le diaphragme , et le mediastin
Crete : 29
November 2003 ... new update 14 May 2016
|
 |
|
|
|
| |
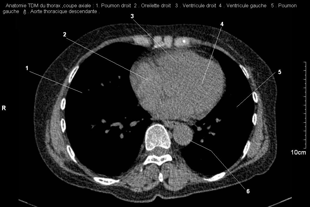
Radioanatomie pulmonaire ( image radiologie
thoracique normale )- La Tomodensitometrie du thorax (
coupes axiales fenetre mediastinale ) |
|
| |
La fenetres mediastinale permettre
d'etudier anatomie du mediastin et les structures vasculaires
en coupes axiales de 0,5-1cm sur le thorax . Ceux qui
s'installent travers le thorax de C4 a L1, L2
a n'a pas de contrast et se donnent des resutats
suivantes : |
|
Dr Bui Binh Tho
>>
PREVIOUS
>>
>>
NEXT >>
Page :
1
/
2
/
3
/
4
/
5
/
6
/
7
|
|
|
|
|
|
|