Actualite de la medicine
                                                                                             BUI BINH THO  MD 
 Home    Radiologie  Echographie  Pneumologie Vaccinologie  Medicament  Information
 
            Radiologie : Abdomen et tube digestif . Image radiologique normale .                                        Crete : 29 November 2003 ... new update 14 september 2016

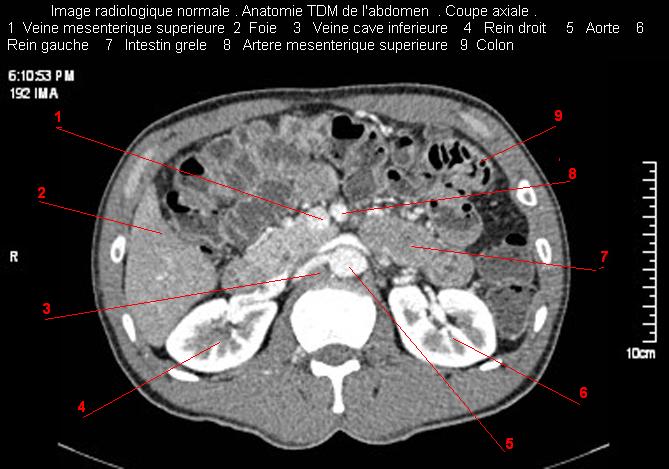
           Images radiologique TDM normale de abdomen et tube digestif en coupe axiale ( CT scanner )  :

      Coupe axiale     Coupe frontale      Coupe  sagitale  
<  >

     

                                                                                                             Dr Bui Binh Tho

                                                               

                     << BACK <<                                                                                    >> NEXT >>  

        Page : 1 / 2 / 3 / 4 / 5 / 6 / 7   

 

  

 

 

 

 

      
  Radiologie
 - Abdomen et tube digestif
 
  Techniques radiologiques
 
  Image radiologique normale
 
  Pathologies du tube digestif
       - Oesophage et estomac
       - Intestin grele
       - Colon
       - Appendices
  Pathologies des organes pleins
       - Foie
       - Vesicule biliaire
       - Voies biliaires
       - Pancreas
       - Rate
       - Pathologies diverses abdominales
        
      
      
      
 
 
Echographie
 
 
 
 
 
 
 
 
 
 
 
 
 
 
 
 
 
 
 
 
 My home page I My family home page I My personal page I Medline I R/C model airplane page-Games I Science

  

Add : Dr BUI BINH THO  35B Ho Hoa , To1  , Kp 1 , Tan Phong ,BIEN HOA , DONG NAI , VIET NAM                                                 --Email :   buibinhtho@hcm.vnn.vn