|
Semeiologie pathologie radiologique du thorax
En
generale , la fonction des éléments anatomiques du thorax se
donne de différents syndromes radiologiques correspondence :
- Paroi thoracique : syndrome pariétal.
- Cavité pleurale : syndrome pleural.
- Parenchyme pulmonaire : syndrome alvéolaire,
syndrome interstitiel, syndrome bronchique, syndrome
cavitaire.
- Médiastin : syndrome médiastinal.
Syndrome parietal :
Semiologie , etiologie et sa pathologie radiologique
Pathologie
radiologique parietale :( a
suivre )
Pathologie
radiologique tumorale parietale :
Comporte :
-
Tumeur begnin :
|
Tumeur
begnin costale : Exostose , granulome
eosinophile , osteochondrome , |
|
|
Tumeur begnin de partie molle
: Lipome ,
liposarcome , neurinome , neurofibrome et
swanome , lymphangiome
, hamartomes, des fibromes desmoides ,les
lymphangiomes kystiques et
hemangiome |
|
- Tumeur maligne :
| Tumeur maligne primitif : Tumeur
d'Ewing , chodrosarcome , lymphome et myelome |
|
| Tumeur maligne secondaire : Metastase
d'un cancer du rein , de prostate , thyroide ,
bronche ou ou du sein |
|
| |
|
Techniques radiologiques de l'intention de
choix de tumeur parietal du thorax sont : Les plain film
pulmonaire , echographie , la TDM . l'IRM et medecine
nucleaire .
Tumeur begnin :
Les tumeurs bénignes
costales sont surtout :
-
Les exostoses avec aspect
radiologique de hyperdensité
-
La granulome éosinophile est un autre tumeur bénigne dont l'aspect
radiologique est lesion osteolyse
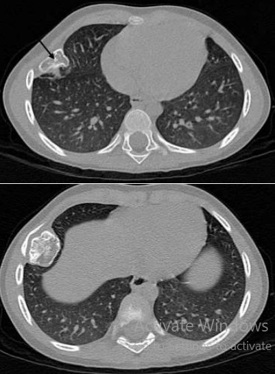
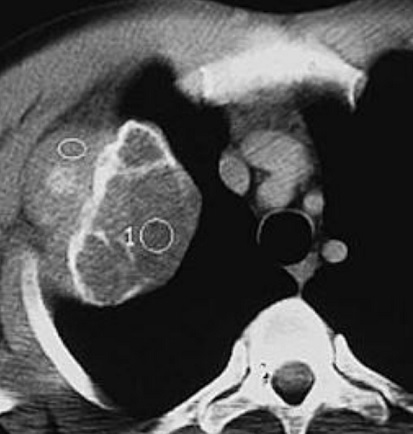
Les tumeurs bénignes des parties molles parietales du thorax
comprennent des lipomes , hamartomes, , lymphangiome
,les
lymphangiomes kystiques , hemangiome
,
hamartomes, des fibromes desmoides
, neurinome , neurofibrome et swanome
-
. Les lipomes sont les plus fréquentes de tumeur
de partie molle , siège de graisse
extrapleurale du thorax et développement en dehors
et en dedans, en formation de image de « bouton de chemise » cela
est typique et peut facilement evaluer par la TDM et
IRM .Si une lipome avait l'aspect radiologique
hétérogène, myxoïde, il faut suspecter un liposarcome
(rare)
-
Les lymphangiomes kystiques forme typique est
cervico-médiastinale, avec des cloisons intrakystique L'échographie est la
technique très utile pour diagnostic et se
donne des image mieux que la TDM. et l'IRM. La présence de
phlébolithes est possible.
-
La lymphangiomatose peut donne de l'aspect radiologique des lésions
cystiques des côtes et du rachis avec un lymphoedème des
parties molles et un épanchement chyleux pleural .
-
Les hémangiomes de la maladie de Gorham et Stout (vanishing
bone) entraîne une aspect de osteolyse transitoire
Tumeur maligne :
Sarcome d'Ewing
:
Les sarcomes d'Ewing ce sont des tumeurs osseuses
malignes primitives plus fréquente de l'enfance après de
l'ostéosarcome, c'est la lesion de la cavité médullaire avec
invasion du système de Havers des os . Les sarcomes d'Ewing
se présentent généralement sous forme de lésions "moth eaten
" dans la diaphyse des os longs, invasive de tissus mous
avec une périostite typique en aspect radiologique de pelure
d'oignon. Ces tumeurs peuvent en presence des os plats et
sclérotive dans 30 % des cas.Le sarcome d'Ewing survient
chez les enfants et les adolescents âgés de 10 à 20 ans (95
% entre 4 et 25 ans) et légèrement prédilection masculine.
Sa location est sur les os du crâne ( 2%) os de l'extremite
superieure ( 13% ) , os de l'extremite inferieure ( 45%) ,
pelvis sacro iliaque ( 20% ) et 13% est des côtes et
colonne vertebrale .
Tumeur d'Askin , un tumeur de famille de sarcome
d'Ewing , identique et avait des caractéristiques
démographiques, des résultats d'imagerie et pronostic
similaires de tumeur Ewing
Image radiologique plain film et TDM : Aspect
radiologique plain film et TDM sur les côte du thorax est
image de destruction osseuse, permeative excentree et infiltrer
avec de bord irrégulier, Les couches de
réaction périostées créant
l'image d'une coque corticale en pelure d'oignon
,
Plus rarement, la lésion peut être avoir un caractère mixte,
c'est-à-dire lytique et sclérotique
.
Image radiologique IRM : Aspect lesionnelle IRM est hypo à
isosignal ; rehaussement heterogene sur T1 avec Gd injection
intraveineuse ; hypersigal heterogene sur T2 avec aspect
de hyposignal en strie de cheveux du lesion
Tumeur metastatique secondaire
: Par voie lymphatique ou hématogène à partir d’une
tumeur primitive , les tumeurs metastatique secondaires
avaient une localisations fréquemment à des os
costales et vertébrales .
Les
métastases
avaient
de siège variable avec d'aspect surtout lytique mais parfois
condensant ou mixte,
avec une expansion localisée
de l’os et une masse des parties molles. Ells peuvent
révéler d'un cancer du poumon +++, du rein, de la prostate
(aspect condensant), de la thyroïde, des bronches et du sein...
La
scintigraphie osseuse et PET CT sont
utile pour chercher la multiplicité ou non de l'atteinte
osseuse
| |
 |
|
 |
|
| |
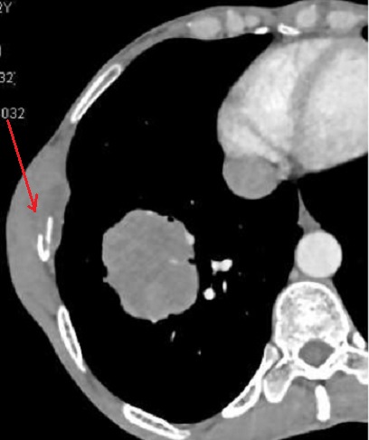
Espect metastatique de
tumefaction de la paroi thoracique droit et de
lyse de destruction osseuse correspondence du
côté droit d'une tumeur metastatique ( fleche rouge
) à origine de cancer pulmonaire ++ droit . Image
radiologique TDM en coupe axial |
|
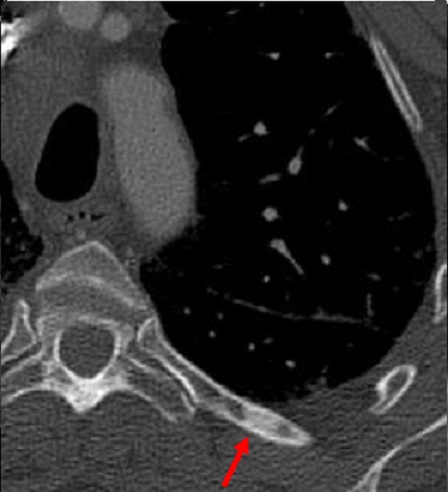
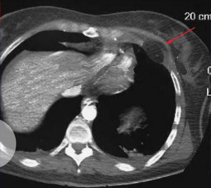
Image radiologique TDM d'une
tumeur metastatique secondaire de type condensant (
fleche rouge ) de l'arch posterieure du côte
thoracique gauche |
|
| |
 |
|
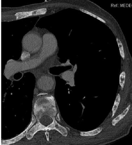
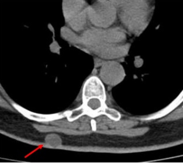
Aspect radiologique de tumeur
metastatique secondaire de type mixte ( lysis et
condensant) multiple disseminé à des côtes du thorax
et à la colonne vertebrale . Image radiologique TDM
en coupe axial , fenêtre mediastinale |
|
| |
|
|
|
|
Mercie de votre attention ..
A suivre
•
Gs Bui BinhTho
<< BACK << >>
NEXT
Page :
1
/
2
/
3
/
4
/
5
/
6
/
7
|
ue T |