|
Semeiologie pathologie radiologique du thorax
En
generale , la fonction des éléments anatomiques du thorax se
donne de différents syndromes radiologiques correspondence :
- Paroi thoracique : syndrome pariétal.
- Cavité pleurale : syndrome pleural.
- Parenchyme pulmonaire : syndrome alvéolaire,
syndrome interstitiel, syndrome bronchique, syndrome
cavitaire.
- Médiastin : syndrome médiastinal.
Syndrome parietal :
Semiologie , etiologie et sa pathologie radiologique
Pathologie
radiologique parietale :( a
suivre )
Hernie parietale :
Ce qui comporte
:
-
Hernies pulmonaires ou
parietale acquises
se presence après une
traumatisme thoracique ou une thoracotomie
par résection costale. Une hernie en sens inverse de la
graisse extrapleurale vers l'intérieur peut se produire
après drainage ou après thoracotomie, faisant craindre
par son aspect
pseudo-tumoral une récidive locale. La TDM montre la
nature graisseuse de la pseudotumeur et rassure.
- Hernies
parietales congénitales
par
absence localisée de fascia endothoracique ou une
hypoplasie costale
se presence souvent
aux apex pulmonaire
. Une fente sternale congénitale chez le nouveau-né
permet une hernie , saillie des structures médiastinales.
| |
 |
|
 |
|
| |
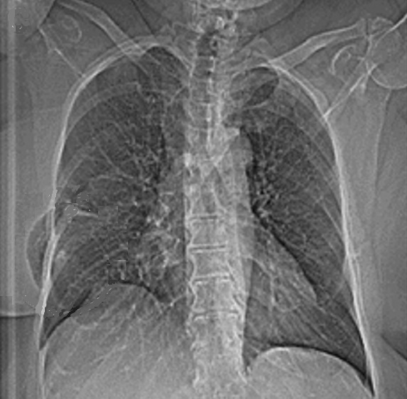
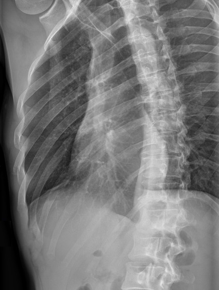
Image radiologique PA d'une
hernie pulmonaire parietale droite après d'une
thoracotomie du tumeur pulmonaire . La
prostruction de la parenchyme pulmonaire est en vue
net de parietal droit du thorax |
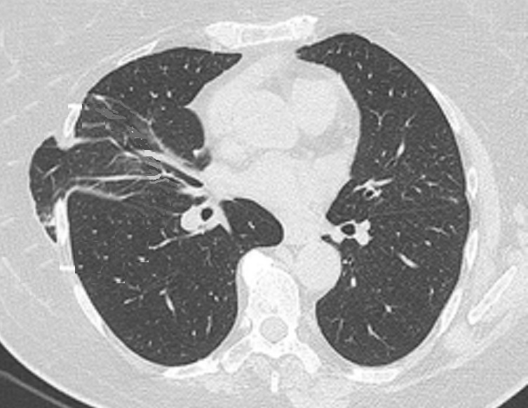
|
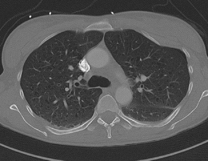
Même cas en coupe TDM axiale
,
fenêtre parenchymateuse |
|
| |
 |
|
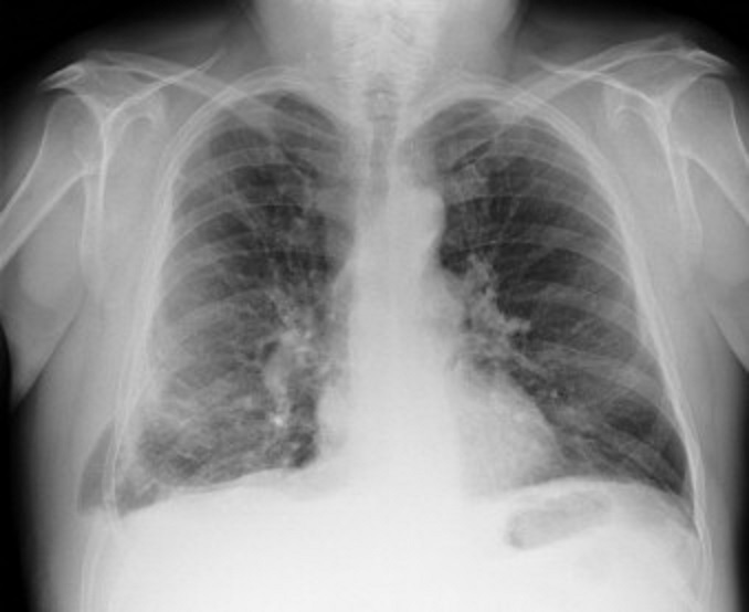
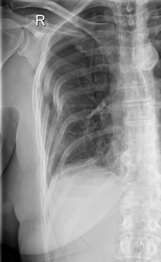
Image radiologique d'une hernie pulmonaire
parietale droit du poumon . Image hyperluscence
localisee à inferieure de partie molle de la paroi
du poumon droit . Cliche de face PA pulmonaire . |
|
| |
|
|
|
|
| |
|
|
|
|
| |
|
|
|
|
Calcification
parietale : Ily avaient deux type de calcification
parietale :
- Les
calcifications
unique localisées
sont de la séquelle de
thoracotomie (drainage, thoracotomie...) ou de section
lésions tumorales.
-
Les
calcifications
multiples
peuvent
se voir dans la sclérodermie, la dermatomyosite et le
syndrome d'EhlersDanlos, ou encore dans certaines
parasitoses comme la cysticercose, la trichinose, la
filariose, l'hydatidose. Une myosite ossifiante
chronique peut être localisée à la paroi thoracique.
| |
 |
|
 |
|
| |
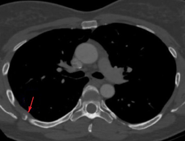
Aspect radiologique TDM de
nodule calcification parietale (flèche rouge )
d'une myosite ossifiance chronique de muscle
intercostale posterieure droit . Image radiologique
TDM en coupe axiale |
|
Même cas en coupe sagitale .
La depôt calcique être en vue tres net au bord
superieure , arch posterieure du côte 4th
droit du thorax . Myosite ossifiance chronique .
|
|
| |
|
|
|
|
Pathologie
radiologique traumatique :
Comporte :
Fracture du sternum , fracture des côtes , hematome
extrapleurale , lesion iatrogenique de la paroi thoracique
Pathologie
radiologique fracture du sternum :
Les fractures du sternum surviennent dans environ
5 % des traumatismes thoraciques sternocostales et le
manubrium étant la partie la plus fréquemment blessée .
Les fractures du sternum sont observées dans 3 à 6,8 % de
toutes les collisions de véhicules , souvent 85 % sur le
corps du sternum. . La réanimation cardio-pulmonaire (RCP)
peut entraîne une fractures du sternum . Au dessus de 50% des
cas de fracture du sternum avaient en association avec
fractures des côtes, luxation de l'articulation
sternoclaviculaire , hémorragie médiastinale, pneumothorax,
hémothorax, tamponnade cardiaque, contusion cardiaque,
contusion pulmonaire et traumatisme crânien (TC) . La cause
est direct (impact sur un volant ; chutes ; sports de
contact ; accidents entre piétons et voitures ; agressions
) indirect (fracture par la décélération des accidents de la
route , fractures de stress , ostéoporose ) fracture non
accidentelle cher les enfants , RCP reanimation cardio
respiratoire
Les techniques
radiologiques concernante et de choix de fracture du sternum
sont : Plain film du thorax , echographie et la TDM ,
Image
radiologique du cliche de face , profile et obblique du
thorax ( plain film ) : Les fractures du sternums souvent detectent
facilement sur les films profile ou oblique du thorax avec
image de fragments claires du cortex des os
avec ou sans déplacement . Les fractures non déplacées sont
mal visualisées sur des radiographies simples.
Echographie :
Peut en égale utilisé pour évaluer les fractures du
sternal comme une radiographie standard, et montrer une
fracture ou une detecte corticale aussi préciser que les
radiographies latérales mais à faible de déterminer le
déplacement de l'axe du sternum
La TDM : C'est la
deuxieme de l'intention de choix en cas de difficile de
diagnodtic et les coupes sagitale être modalité
de choix , les coupe sagittal est le plus sensible
pour évaluer une brèche corticale antérieure et une brèche
corticale postérieure, ce dernière étant associée à des
lésions neurovasculaires plus graves
Pronostic et
traitement : Les lésions sternales isolées ont un très bon
pronostic en guérissant dans quelques mois avec un taux de
mortalité très faible (< 1 %) . Contrairement les fractures
sternales associées à d'autres blessures ont un taux de
mortalité plus élevé .
| |
 |
|
 |
|
| |
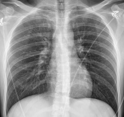
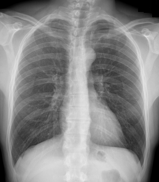
Image radiologique PA
d'une fracture du sternum . Il est très difficile de
determine , evaluer et d'analyser l'emplacement de
la lésion fracturaire |
|
Même cas sur profile gauche . Aspect
lesionaire du fracture est la deplacement
fragmentaire claire du cortex et de la perios
anterieure du sternum ( pic ) |
|
| |
 |
|
 |
|
| |
Même cas dans le cliche
oblique OAD . .La fracture du 1/3 moyen etre en vue
très nette avec aspect de deplacement lateral de
l'axis du sternum |
|
Image radiologique de profile droit de
deux fracture du sternum : Un ( à gauche ) est image
du fracture 1/3 superieure du sternum avec aspect de
deplacement antero-posterieure du sternum et autre (
à droit )
est un fracture 1/3 inferieure avec aspect
radiologique de displacement fragementaire du cortex
et de la perios anterieure et posterieure du sternum |
|
| |
 |
|
 |
|
| |
Image
echographique à haute frequence d'une fracture du
sternum avec aspect echographique de discontinuité
de la perios antérieure du sternum . |
|
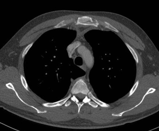
Dans cas de difficile de diagnostic , la
TDM en coupe axiale ou sagitale peut evalue
facilement le diagnostic . Image radiologique TDM en
coupe axiale d'une fracture du sternum avec aspect
radiologique de deplacement fragmentaire du corp du
sternum . |
|
| |
 |
|
 |
|
| |
Même cas en coupe sagitale .
Ce qui nous donne de image de fracture en
association du D3 , D4 de la colonne vertebrale .
Au dessus de 50% des
cas de fracture du sternum avaient en association avec
des autres fractures avec mortalité peut elevé |
|
Image radiologique TDM en
coupe sagitale d'une fracture 1/3 moyen du sternum
avec aspect fracture de displacement glissante
antero-posterieure du sternum . |
|
Diagnostic
differentiel :
- Foramen
sternal : anomalie de développement trouvée chez environ
5 % de la population
- Artefact de
mouvement/respiration : en vue possible sur coupe TDM
sagital
Pathologie radiologique de fracture du
côte : Les fractures des côtes sont une conséquence courante des traumatisme du
thorax et peuvent être entraîner des complications de
potentielle graves ou mortelles.
Les 4e à 10e côtes sont les plus fréquemment fracturées et
les fractures des 1re à 3e côtes souvent en être un
traumatisme grave . Les fractures à la deuxième fois
se entraine une fragment de libre de côte ( côte flottante )
et lorsque trois côtes flottantes sont présentes, on
parle alors que thorax à fléaux. Les fractures de plusieur
des côtes souvent en association avec les autres
lesions :
- Lésions du
plexus brachial ou des vaisseaux sous-claviers
(fractures de la 1ère à la 3ème côte)
- Pneumothorax ou
hémothorax
- Lacération
pulmonaire
- Hernie
pulmonaire
- Lésions
traumatiques du foie, des reins et de la rate (si
fractures presence de la 10e à la 12e côte)
Etiologie :
Traumatisme
contondant et pénétrant : par ex. accidents de la route,
chutes, agressions
Contusion lors d'un traumatisme fermé thoracique (survenant
dans 50 % des cas) ; Fractures pathologiques ; Fractures de
stress ( basket ball , nager , ramer .. ) ; Osteoporosis ;
Contusion non accidentelle cher enfant ; Violence conjugale
; Réanimation
cardio-pulmonaire (RCR) ( 1/3,5 ) Fractures des côtes
fœtales (dysplasies squelettiques ) et fracture
spontanée des côtes
Technique radiologique de choix de fracture des côtes : Les
plains films du thorax PA , profile , OAD , OAG ;
l'echographie percutane ou Mode B ; la TDM et medecine
nucleaire Spectr :
Les plain film : Les plain film en position PA , oblique ,
OAD m OAG peuvent evaluer de plus de 50% des cas de fracture
des côtes . Le fracture peut en deplace de glissement , de
angulation , ou en plusieure de fragment
L'echograhie peut determine la detection ou la discontinuite
du cortex osseuse fracturaire
La TDM est la technique plus sensible que la radiographie
simple pour la détection des fractures des côtes
La scintigraphie osseuse au Tc-99m est sensible mais non
spécifique aux fractures des côtes et démontre des zones
focales de forte fixation, il doit être corrélées avec la
SPECT ou l'imagerie radiographique
| |
 |
|
 |
|
| |
Aspect radiologique du
fracture des côtes 7th , 8th droit . Il est
difficile d'evaluer de la lesion et de la cite de
fracture sur le plain film de face PA |
|
Même cas en position OAD , on peut
detecter la fracture du co6te 7, 8th droit . |
|
| |
 |
|
 |
|
| |
Image radiologique de
fracture de côte 4th , 5,6,7,8th droit du thorax .
Pneumothorax du poumon droit . Cliche de face PA
pulmonaire |
|
Même cas en OAD , les
fractures à diplacement angulaire et de glissement
être en vue très nette . |
|
| |
 |
|
 |
|
| |
Image echographique une
fracture du côte du thorax avec aspect de
deplacement angulaire de côte affecte ( fleche jaune
) et image de hematome periostique hypo-echogene (
fleche rouge ) |
|
Aspect echographique d'une
fracture de cote du thorax avec lesion fraturaire de
de deplacement angulaire de cote . Oedeme
hypoechogene in situe de la partie molle ( fleche
rouge ) |
|
| |
 |
|
 |
|
| |
Image radiologique TDM en
coupe axiale fenetre parenchymateuse d'une
fracture de plusieure de cote anterieure ( 3th -9th
) en formant " flait chest " de la poitrine . |
|
Même cas en coupe coronal . Image
radiologique TDM d'une fracture multiple des cote
gauche en formation image de poitrine en fleaux "
flait chess sign " |
|
| |
 |
|
 |
|
| |
Même cas en
recontructional sur 3D . La fracture affecte sur
tout les côtes gauche ( 3th -9th ) de flanc gauche
du thorax |
|
Dans cas de difficile de evaluer des cas
fracture discrete la
scintigraphie osseuse au Tc-99m peut en detecte et se
determiner . Image radiologique de scintilographie
de fracture discrete des côtes du flanc droit et
gauche du thorax |
|
A suivre
•
Gs Bui BinhTho
<< BACK << >>
NEXT
Page :
1
/
2
/
3
/
4
/
5
/
6
/
7
|
u |