|
Semeiologie pathologie
radiologique du thorax
En generale , la fonction des éléments anatomiques du thorax
se donne de différents syndromes radiologiques
correspondence :
- Paroi thoracique : syndrome pariétal.
- Cavité pleurale : syndrome pleural.
- Parenchyme pulmonaire : syndrome alvéolaire,
syndrome interstitiel, syndrome bronchique, syndrome
cavitaire.
- Médiastin : syndrome médiastinal.
Syndrome
pleural : Semiologie , etiologie et sa pathologie
radiologique :
Introduction :
Le Le
syndrome pleural comporte les signes radiologiques qui
traduisent la présence de liquide, d'air ou de tissu
anormal entre les feuillets pleuraux. Les technique
radiologique dominant pour explorer des affection
pleurale sont : echographie , la TDM et l'IRM , par cela
technique l'echographie percutanee peut en verifie de
petit volume de liquide pleural au cul de sac pleural .
La TDM dominant de explorer les lesions de parenchyme et
de bronche pulmonaire ainsi l'IRM est en bon utilyse
pour explorer de imagerie les trois plan de espace
pleurale et permet en bonne viasualisation des muscle ,
de liquide et de la graisse
Rappel radio- anatomie normale
de la plevre :
La
paroi bronchique est constituée de plusieurs régions
anatomiques, comprenant en bas le diaphragme, en dedans
le médiastin, en haut l'orifice supérieur du thorax et
en dehors les .
Le syndrome pleural a bien exploree en radiologie
standard et systématisé, par Felson
| |
 |
|
Normalement la paroi thoracique comporte dedans
en dehord plusieure de couche , ce sont : la
plevre viscerale ,recouvre le poumon , la plevre
parietale , la graisse extrapleurale , facia
endothoracique et puit muscle intercostale
interne , muscle intercostale moyen contenuer au
milieux de graisse et des vaisseaux intercostaux
. En de hord est le muscle intercostale externe
, la peau et tissus souscutanee . |
|
-
Normalement
la cavité pleurale n'est pas visible en l'echographie
sur les film standard pulmonaire et meme que sur
la TDM et l'IRM
, sa surface est en moindre de 2m2 de couche de
cellule mesotheliale monocellulaire . Les deux feuillets
pleuraux
des scissures ( grand et petit
scissure ... ) sont peut visibles sur le
cliche de face , en coupes
TDM axiales
à transverses de la
périphérie du
poumon . ce qu'ils
apparaissent sous la forme d'une ligne blanche limiter
en dedans par les clartés aériques du poumon et
difficile , impossible de
rehaussement avec de contrast intraveineuse .
- L'espace
extrapleural comporte :
le médiastin, le diaphragme, l'orifice supérieur du
thorax et la paroi costale est parcouru par un
feuillet graisseux
ce que est reconnaissable en
imagerie médicale pảrce que la graisse a un signal
original en différence avec des muscles
et de tissue conjontive . En TDM et surtout en
l'IRM ; le
fascia
endothoracique se
projette en dehors de la plèvre pariétale ;
et que certaines pathologies chroniques pleurales
se développent
particulier de la graisse
extraplcurale
. À
interieure le
fascia
endothoracique
disparaît au contact des vertèbres, des gros vaisseaux
du médiastin, des côtes et du diaphragme et
l'imagerie ne peut pas distinguer la plèvre pariétale de
la paroi où elle est accolée ;
- Au
niveau des sommets pulmonaires, ils y avaient
les éléments vasculonerveux des apex
développer de la graisse
extrapleurale;
l'IRM donne de cette région une exploration bien sur
l'atteinte artérielle et nerveuse. Lorsque
étudier les scissures pulmonaires
peut etudier facile par la TDM à haute resolution
Image radiologique normale de la
plèvre :
La
plevre
avait en 2 feuillets , la plèvre viscérale et plèvre
pariétale se réunissant autour du hile . Sa surface est une
couche mésothéliale monocellulaire égale # 2 m² , sa cavité
virtuelle est de moindre V=10-15 mL de lubrifiant comporte
de monocytes, macrophages , lymphocytes et produit de drainé
(pores de Wang) par la plèvre pariétale . Sa "Turn-over"
debit est egale 300 mL / jour / sur chaque côté .
Sur
le cliche de face PA standarnise et sur la TDM
:
le cul de sac
costo-diapragmatique droit sont pointus . Les scissures
separe le poumon droit en trois lobes : lobe superieure,
lobe moyen et lobe inferieure . A gauche la grand scissure
separe le poumon en deux : lobe superieur et lobe inferieure
.Les sommets des grands scissures sont situes en T3, T4 ; et
elles se terminent sur les coupole en arriere de la paroi
anterieure . La petie scissure parfoie (en 90% cher les
sujets ) peut se voyait comme une ligne horizontale tendue
au hile droit vers la paroi .A droite au lobe superieur
droit , le plie de la plevre du lobe superieure forme
avec la veine Azygos la scissure azygos .
| |
 |
|
 |
|
| |
Image radiologique normale
de petit scissure ascessoire Azygos du lobe superieure
droit . Cliche standarnise PA de face du poumon |
|
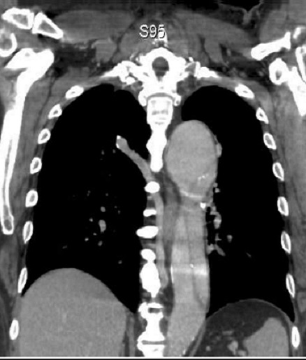
Même cas en coupe TDM
coronal , fenetre mediastinale . La plie muqueuse de la
plevre de veine Azygos être en vue très nette à droit
|
|
| |
 |
|
 |
|
| |
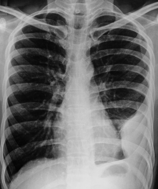
Aspect radiologique de
veine Azygos sur cliche pulmonaire de face
. Le trajet du veine est engager si profonde
dans apexdu poumon et contourne completement
par la plevre parietale et viscerale |
|
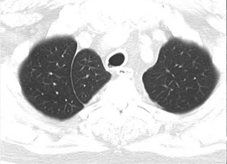
Meme
cas en coupe TDM axiale à travers D3 , apex du
poumon . La scissure Azygos etre en vue comme
une bande hyperdensite du pomon droit . Image
radiologique TDM en coupe axiale , fenetre
mediastinale |
|
| |
 |
|
 |
|
| |
De même cas de
image radiologique normale de scissure ascessoire Azygos
en coupe TDM axiale fenetre parenchymateuse à travers
coupole du poumon ( TH3 , TH4 )
|
|
Même cas en coupe TDM
coronal ( frontale ) fenetre parenchymateuse
. La plie de scissure ascessoire Azygos est en
vue tres nette à droit de superieure du hile
droit . |
|
Image radiologique IRM normale de plèvre
(radioanatomie ) : L'IRM a un
rôle relativement limité
dans l'imagerie de la plevre pulmonaire, .le
signal de la plevre est spontanément faible (densité
protonique) , elle considérée comme un examen de seconde
intention après l'examen tomodensitométrique . Mais
dans quelque cas elle est préférée à la tomodensitométrie
dans des circonstances spécifiques, telles que l'évaluation
de .. des plèvres pathologique : lesion inflammatoire
epanchement pleurale , tumeur de la paroie invasive ou
sequnce de diffusion des mésothéliomes...( voir sur la
chapitre semiologie et pathologie radiologique du poumon )
et elle est en vue facile sur les coupe ponderee sur T1 , T2
, FatSat
| |
 |
|
 |
|
| |
Image radiologique IRM normale du
thorax en coupe coronal ponderee sur T2 . Image de
la plevre est mal de interpreter |
|
Même cas en coupe IRM axiale
ponderee sur T2 . |
|
Radioéchographie normale de la plevre :
Image echographique normale de la pleve du poumon en
presence sous forme une bande hyperechogene . Sur image echo
en mode TM à droite , la ligne pleural hyperechogene entre
paroi thoracique et le poumon se donne de image en " signe
du bord de mer " . Dans les lesions de la plevre ,
elle est également très utile pour évaluer la présence
et la taille des épanchements pleuraux et couramment
utilisée au lit du patient pour guider la thoracocentèse
pour diagnostiquer les pneumothorax . L'échographie
est souvent utilisée pour faciliter des procédures telles
que la ponction pleurale et l'insertion d'un cathétérisme
artériel pulmonaire central.
L'échographie endobronchique est de plus en plus utilisée en
association avec la bronchoscopie pour localiser des masses
et des ganglions lymphatiques augmentés de volume.
Indication de echographie du thorax :
- Epanchements pleurales, Pneumothorax ou d’un
épanchement de liquide (pleurésie).
- Aider le médecin à pratiquer une ponction ou un
drainage de la plèvre dans le but d’évacuer de
épanchement. .
- L’aide au diagnostic des maladies responsables d’une
insuffisance respiratoire aigüe. pratiquée au lit du
patient
- L’aide au diagnostic biopsique de certains nodules
du poumon (lorsqu’ils sont placés proche de la plèvre),
à l’aide d’une aiguille sous contrôle de la vue en
échographie. Cela peut éviter des gestes plus invasifs.
| |
 |
|
 |
|
| |
Image echographique normale de la
pleve du poumon en presence sous forme une bande
hyperechogene . Sur image echo en mode TM à droite ,
la ligne pleural hyperechogene entre paroi
thoracique et le poumon se donne de image en " signe
du bord de mer " ( fleche noire ) . |
|
Normalement la reflexion de onde
de echo sur deux tissu à difference de caractere :
le tissue mou de la paroi et tissue à plein air et
tissue interstitielle de la parenchyme pulmonaire se
donne de image de " "queue du comet " ligne B
. |
|
| |
 |
|
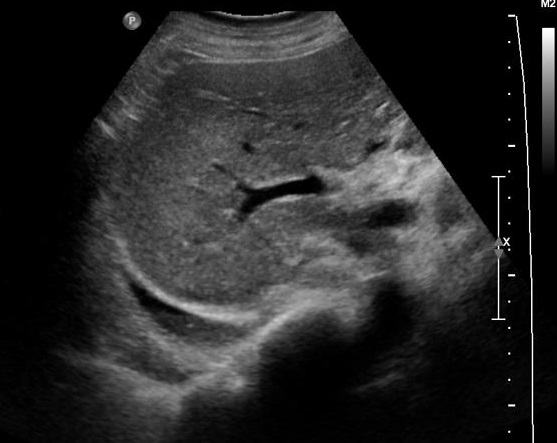
Aspect echographique d'une pleuresie du
sinus costo -diapragmatique postero-lateral droit .
La sinus costo-lateral droit remplir par pleuresie
aechogene |
|
| |
|
|
|
|
. .Syndrome
pleural : semiologie radiologique pleurale , etiologie et sa
pathologie :
Définition :
Le syndrome pleural ce la
englobe les signes radiologiques qui traduisent la présence
de liquide, d'air ou de tissu anormal entre les feuillets
pleuraux . Ce la comporte
epanchement pleural liquidienne ( pleuresie ), epanchement
gazeuse ( pneumothorax ) , epanchement mĩxte ( hydro -
pneumothorax ) , tumeur pleurales et calcification pleurales
:
Semiologie
radiologique
:
Comporte epanchement leural liquidien
ou pleuresie , epanchement gazeuse
( pneumothorax ) , epanchement mĩxte ( hydro - pneumothorax
) , tumeur pleurales et calcification pleurales
:
-
Epanchement liquidien ou
pleuresie :
Etiologie :
Le liquide pleural est classé comme transsudat ou exsudat
sur la base des critères
de Light modifiés.
L'épanchement est considéré exsudatif si au moins un des
critères est rempli :
-
Le
ratio protéines du liquide pleural / protéines du sérum
> 0,5;
- Le ratio des LDH du
liquide pleural / LDH du sérum > 0,6;
- Les LDH du liquide
pleural sont de 0.6 fois la limite supérieur pour le
sérum
Etiologie de pleuresie transudative : Comprend toutes
les causes d’augmentation de la pression hydrostatique ou de
diminution de la pression osmotique colloïdale capillaire
généralement observées dans :
Insuffisance cardiacque , syndrome nephrotique , cirrhose du
foie , syndrome Dressel , traumatisme , abestose , urino
thorax , post " by pass " artere coronaire et utilisation de
Dasatinib
Etiologie de pleuresie exudative :
Comprend toutes les causes
par une augmentation de la perméabilité de la
microcirculation ou d'une altération du drainage de l'espace
pleural vers les ganglions lymphatiques: Carcinome
bronchique , metastase secondaire , embolie ou infartus
pulmonaire , pneumonie , tuberculose pulmonaire ,
mesothelioma pleurale , RAA , LES lupus, lymphome
D'autres causes
spéciales telles que :
-
Hémothorax :
c'est la présence de sang dans la cavité pleurale
(hématocrite DMP > 50 % hématocrite sanguin)
généralement due à un traumatisme, parfois à des
troubles de la coagulation sanguine ou à la rupture de
gros vaisseaux sanguins au niveau du thorax.
-
Empyème pleural
: présence de pus dans la cavité pleurale, généralement
due à des complications d’une pneumonie, d’un abcès
pulmonaire ou d’une rupture du foie.
-
Épanchement
pleural chyleux : liquide pleural blanc opaque,
concentration accrue de triglycérides due à un
traumatisme ou à une tumeur provoquant des lésions du
système lymphatique du canal thoracique.
-
Et
dans certains
cas, la cause est inconnue.
Semiologie de epanchement liquidien ou pleresie :
Il y avaient deux forme :
-
Épanchement liquidien
libre de la grande cavité pleurale :
En
position debout, ce épanchement se
traduit par une opacité basale en nappe
sur la coupole
diaphragmatique et les culs de sac costo-diaphragmatiques.
De face, la limite supérieure de l'opacité va oblique
de haute en bas et
en dedans, en dessinant une
concavité supéro-interne (ligne de DAMOISEAU).
De
profil, la limite supérieure de l'opacité va de la paroi
antérieure à la paroi postérieure
dessinant une courbe largement concave vers le haut.
Et cette opacité : n’est
pas systématisée, ne contient pas
de bronchogramme aérien, est
mobile avec le changement de position, Quand l'épanchement
est très abondant , l’opacité
recouvre tout l'hémothorax, refoule
le médiastin du côté opposé,
inverse
la coupole diaphragmatique. Quand le liquide est peu
abondant , l’opacité se limite à
un simple comblement du cul de sac pleural inférieur
posterieure ,
ce comblement est d'abord vu sur le cliché de profil
car la portion postérieure du cul de sac
est la plus bas,
Sur
le cliché de face, quand la quantité de liquide est un peu
moins importante image radiologique est imane de obtus du
angle costo-diapragmnatique laterale
-
Epanchements liquidiens localisés : Comporte :
Les
épanchements enkystés médiastinaux et périphériques.
Les épanchements scissuraux
.
Les épanchements sous-pulmonaires.
| |
 |
|
 |
|
| |
Image echographique d'une
epanchement liquidien ( pleuresie ) du sinus
costo-diapragmatique droit en aspect de forme de
croissant aechogene de la region posterieure lateral
droit . Image echographique percutane en coupe
lateral droit . Echographie percutane
est la technique souvent utilise pour explorer
bien dans les cas epanchement à petite volume de
faible abondance . |
|
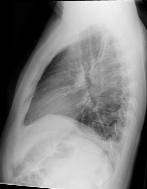
Image radiologique de
profile droit d'une epanchement liquidien pleurale
de faible abondance du poumon droit . La pleuresie
situe au sinus posterieure-lateral droit du poumon
droit . |
|
| |
 |
|
 |
|
| |
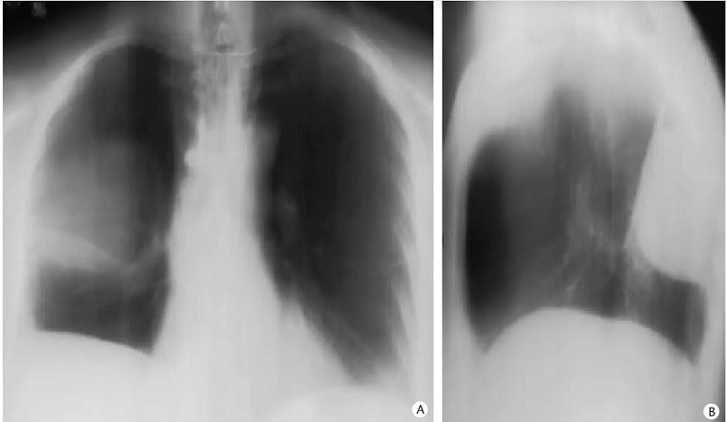
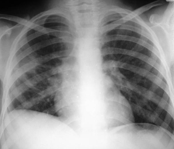
Image
radiologique du cliche de face PA d'une pleuresie de
moyenement abondance en aspect de opacite basale
non systematise , n'a pas de bronchogram aerique .
La courbe superieure est nette et incline dehors en
dedans vers à inferieure du poumon , concave à
inferieure en connue sous nom de "courbe parabolique
de Damoiseau " . |
|
Image radiologique du cliche de face PA d'une
pleuresie de grande abondance avec aspect de opacite
non systematise , n'a pas de bronchogram aerique ,
efface de images vasculaire et de la coupole
diapragmatique à inferieure du poumon droit . La
"courbe parabolique de Damoiseau " est situe en
haute et la shilhouette du coeur et le mediastin est
un legerement decaler vers la gauche . |
|
| |
 |
|
 |
|
| |
|
|
|
|
| |
 |
|
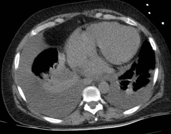
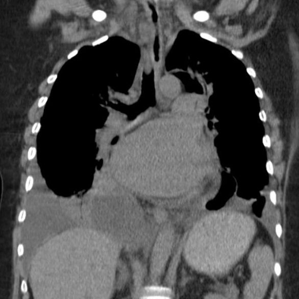
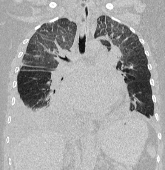
Image radiologique TDM d'une pleuresie du
poumon droit de moyen abondance . La liquide
transudat ou exsudative declive au sinus costo
diaphragmatique lateral et posterieur du poumon
droit en formant de aspect de masse non systematisee
, isopdensite , homogene . Image radiologique
TDM en coupe axiale et coronal , fenetre
mediastinale et image radiologique TDM coronal ,
fenetre parenchymateuse |
|
| |
|
|
|
|
| |
 |
|
 |
|
| |
Image radiologique IRM
d'une pleuresie à moyen abondance à inferieur du
poumon droit en aspect IRM à hypointense , non
systematise, homogene situe au sinus
costo-diapragmatique latertal du poumon droit Image
IRM en coupe coronal ponderee sur T1 . |
|
Même cas en coupe IRM à
ponderee sur T2 . Aspect radiologique est de image
nonsystematise , homogene très hypersignal du
contenue liquidien dans espace pleurale |
|
Epanchement pẻripherique enkyste
ou mediastinal : Secondaire
et chronique d'une ìnflamation il se realise une áspect
radiologique selon la tangentielle du rayon : Si le rayon
est perpendiculaire en face de la lesion
, aspect radiologique est opacite à contour mal definie . Si
le rayon est tangent avec la lesion ( cliché en profile ou
oblique ) aspect radiologique de epanchement est en forme de
" goutte d'eau " à bord bien detecte
,tres dense , homogene , n'a pas de bronchogram dans
lalesion et imobile sur les cliches positionneles
| |
 |
|
 |
|
| |
Image radiologique d'une epachement
pẻripherique enkyste ou localise du poumon
gauche . Aspect radiologique
est opacite
en forme de " goutte d'eau "à
contour nette , homogene
et n'a pas de bronchogramme
aerique , situe à inferieur du poumon gauche .
Image radiologique standanisee pulmonaire , cliche
de face PA |
|
Aspect
radiologique d'une epanchement enkyste , loclise du
poumon droit en coupe de face et de propile droit .
Image radiologique en forme de " goutte d'eau " est
tres nette sur coupe de profile . Image radiologique
tomographie ( planigraphie ) pulmonaire , coupe de
face et de profile à travers la lesion |
|
| |
|
|
|
|
Epanchements
scissuraux
: c'est etat de epanchement
par affection du scissure interlobaire ou de petit scissure
pulmnaire . En genarale , cliniquement le patient
avait une douleur du thorax de type cardiopathie " gauche "
mais le diagnostic est verifie simple par cliches
pulmonaires posisionels . Aspect radiologique de
epanchements scissuraux sont de image de opacite en forme "
fuseau biconvex " du parenchyme pulmonaire à orientation au
long le trajet scissural . Souvent on a differentie aspect
radiologique d'une epanchement scissural du granscissure
avec une atelectasie du lobe moyen pulmonaire :
| Epanchements scissuraux |
Atelectasie du lobe moyen pulmonaire |
- Limite anterieure floue ou nette mais bord
posterieure est net et convexe
- Sa base ne reposant sur la paroie anterieure
du thorax
- Cul de sac posterieure est comble
- Pas de effacement de arc inferieure du coeur
sur le cliche de face
- Absence de bronchogram aerique
|
- Bronchogramme aerique possible
- Bords concaves
- Forme eventail à base anterieure
- effacer de l'arc inferieure droit coeur sur
cliche de face
|
| |
|
|
|
|
| |
 |
|
 |
|
| |
Aspect
radiologique d'une epanchement scissuraire du poumon
droit en coupe tomographie ( planigraphie ) de face
|
|
Mema cas en coupe
tomographie de profile . Aspect radiologique est
opacite em forme " fuseaux biconvex " à inferieure
du poumon droit |
|
Epanchements sous pulmonaire :
L'épanchement
sous-pleural (également appelé épanchement sous-pulmonaire)
est un épanchement pleural qui ne peut être observé que sur
une cliche thoracique en position debout. L'image habituelle
est une vue obtuse de l'angle costophrénique, dans lequel le
liquide pleural est situé presque exclusivement entre la
base du poumon et le diaphragme.
L’accumulation de liquide souspulmonaire provoque une
élévation et un aplatissement marqués du diaphragme. La
structure qui ressemble au diaphragme est la plèvre
viscérale. La pointe de ce « pseudo-diaphragme » sera
située sur le côté de sa position normale. À gauche, cela
peut augmenter la distance entre le pseudodiaphragme et la
bulle gastrique. L'épanchement sous-pulmonaire n'apparaîtra
pas sur une radiographie thoracique en décubitus dorsal, car
le liquide sera situé plus bas et ne pourra pas être vu. Des
films radiographiques en decubitus latéraux sont utilisés
pour confirmer la présence d'un épanchement
sous-pulmonaire.
A suivre
•
Gs
Bui BinhTho
>>
NEXT
Page :
1
/
2
/
3
/
4
/
|
|