|
Semeiologie pathologie radiologique du thorax
En
generale , la fonction des éléments anatomiques du thorax se
donne de différents syndromes radiologiques correspondence :
- Paroi thoracique : syndrome pariétal.
- Cavité pleurale : syndrome pleural.
- Parenchyme pulmonaire : syndrome alvéolaire,
syndrome interstitiel, syndrome bronchique, syndrome
cavitaire.
- Médiastin : syndrome médiastinal.
Syndrome parietal :
Semiologie , etiologie et sa pathologie radiologique
Pathologie
radiologique parietale :( a
suivre )
Pathologie
radiologique inflamatoire et infectueuse :
Comporte :
Syndrome de Tietze ,Tuberculose parietal thoracique
, Osteite , Echinococcose , SAPHO , Hyperostose sterno-costo-claviculaire
, Pelvispodylite ankylosante
Pathologie radiologique de syndrone de Tietze
: Ce syndrome est une affection inflammatoire bénigne
limitée au cartilage costal recherche
1921
par
Alexander Tietze (1864-1927),, survenant sur plusieurs ou un
seul cartilage inflammé .Le
syndrome de Tietze prend
aussi le nom de costochondrite ou
de syndrome
costochondral . C'est une
inflammation interne provoqué un gonflement et une douleur
intense autour de l'articulation costo-sternale, survenant
généralement au niveau des 2e et 3e côtes.
La pathogénèse du syndrome de Tietze reste inconnue, mais on
pense qu'elle est liée à des microtraumatismes récurrents
et/ou à une infection des voies respiratoires.
Les
plain film et TDM est mois de evaluer radiologique syndrome
de Tietze . L'IRM et medicine nucleaire est technique de
choix pour explorer et determine la lesion . L.IRM se montre
des caracter d'une syndrome de Tietze :
-
Élargissement et
épaississement du cartilage au niveau du site de la
lesion
-
Augmentation focale ou
généralisée de intensité du signal du cartilage affecté
sur les images pondérées en T2 TSE et images saturées en
graisse STIR/T2
-
Oedème de la moelle
osseuse dans l'os sous-chondral
- Rehaussement intense du gadolinium dans les zones de
cartilage épaissi, dans la moelle osseuse sous-chondrale
etou dans la capsule et les ligaments
Scintilographie osseuse :
Augementation de l'absorption du radiotraceur Ga-67
sur la scintigraphie osseuse .
| |
 |
|
 |
|
| |
Aspect d'élargissement et
épaississement du cartilage au niveau de articulation
sternocostale gauche et oedème de la moelle
osseuse dans sous-chondral . Image radiologique TDM
coupe axial d'une syndrome Tierzt gauche du thorax
|
|
Même cas en coupe TDM coronal
( frontal ) avec image de
oedème de la moelle
osseuse dans sous-chondral gauche et élargissement et
épaississement du cartilage de articulation manubrium -costale
gauche etr en vue très nette |
|
| |
 |
|
 |
|
| |
Aspect radiologique IRM de
même cas en coupe axial ponderee sur T2 . Zone
oedemateuse du lesion est hypersignal ( hyperintense
) en vue tres nette sur ce coupe . |
|
Aspect oedeme de la moelle osseuse
sous-chondral gauche et elargissement de
articulation steno-costale gauche .
Hypovascularisation de zone oedemateuse . |
|
Traitement
:
Ce syndrome est une affection
bénigne qui peut disparaître spontanément. En cas de mal de
progrès , anti douleur , anti inflamatoire ou susgeste
l'injection locale de stéroïdes devient de l'intention de
choix
Diagnostic
differentiel : CE syndrome peut differencie avec :
-
Costochondrite : pas
d'hypertrophie du cartilage costal, population
généralement âgée
-
Polyarthrite
rhumatoïde des articulations costo-sternales,
sterno-claviculaires ou manubrio-sternales
-
Spondylarthrite
ankylosante : rare dans l'articulation costo-sternale,
autres manifestations typiques
-
Néoplasmes osseux
primaires et secondaires
-
Syndrome de glissement
des côtes
Tuberculose
parietal thoracique :
L'infection est rare et se presence souvent
chez
les déshérités et chez les
toxicomanes.
L'atteinte pariétale est
secondaire à un
foyer
pleuro-pulmonaire voisin sous forme d'une ostéite
tuberculosique ou d'un abcès
froid
juxtaosseux . En dehors de la lesion
parietal la TDM peut se donne en association de lesion du
corps vertebrale et pulmonaire .
Osteite :
Les
osteites parietales souvent à origine secondaire à un foyer
pleuro-pulmonaire local,
surtous par germes banals (pleurésie, geste chirurgical...)
ou d'actinomycose. L'atteinte hématogène est théoriquement
possible et déterminant une ostéomyélite . Une ostéite sternale peut (rarement) survenir
après une sternotomie médiane d'hématome compliqué, Les
osteite de la tête du sternum ou des côte est facilement
d'eliminer sur radiographie
Les résultats de la radiographie plain film et de la TDM
sont des images de
osteite de la tête des os avec des modifications
érosives sous-chondrales , ce qui peut entrainer une sclérose
et puis eventuellement à une ankylose . Les résultats positifs n’apparaissent généralement
que 4 semaines après l’apparition des symptômes . La TDM
est encore indispensable pour faire le bilan de l'atteinte entre
des parties molles et des osseuses, pour diriger
la ponction diagnostique et de voire le drainage
. Une masse extrapleurale
peut se constituer et faire craindre un sarcome d'Ewing chez
l'enfant
L'IRM
peut mettre en évidence un œdème parasymphysaire de la
moelle osseuse, et ce résultat peut observé à
periode asymptomatique. Un liquide symphysaire et un œdème
de tissus mous périlesionnaire de la premiers stades peuvent être
e observés .La
sclérose sous-chondrale, la résorption sous-chondrale, les
irrégularités de bord osseuses et les ostéophytes peuvent
être observés avec la chronicité de la maladie.
| |
 |
|
 |
|
| |
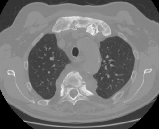
Image radiologique TDM d'une osteite
du tête de la clavicule droit avec aspect
érosives oedemateuse hypodense sous-chondrales
de la tête interieure de la clavicule droit aved
image de tumefaction de articulation sterno
claviculaire droit .
|
|
Image radiologique TDM d'une
osteo-artrite aigue sterno-cleido-costale gauche à
streptoccocus Beta hemolytique avec aspect de
erosives oedemateuse hypodense sous chondrale et
image de tumefaction isodense de la region articulo
sterno-claviculaire gauche . |
|
| |
|
|
|
|
Echinococcose parietal du thorax :
Elle peut être localisée dans
les parties molles ou de l'os pariétal. S'il localisee dans os
parietal image radiologique est une lyse osseuse expansive
ou bien
quand le kyste résiduel dans les parties molles une érosion
dehors
en dedans se presence .
L'échographie peut
percevoir les membranes intrakystiques ( lorsqu'elles
existent et que le kyste n'est pas
calcifiee ) La classification de Garbi de base de
classification de viabilite de OMS 2001 se donne aspect
radiologique ou echographique des phases de viabilite du kyste
echinococcus .
Syndrome de SAPHO : Le syndrome SAPHO
est un acronyme qui désigne un syndrome rare qui combinée des alphabets suivant :
Synoivite (S ), acnee (A), pustulosis ( P) ,
hyperostose ( H ) , osteite ( O)
Le SAPHO se manifeste généralement chez les adultes
jeunes ou d'âge moyen. Sa présentation dans la population
pédiatrique n'est pas rare . Survener sur les femmes plus
frequemment que les hommes .sa
pathogénie est inconnue et se presence souvant de
articulation sacro-iliaque , des os longs mais aussi encore à des
os de la paroi
thoracique antérosupérieure . Ce syndrome peut être
vraisemblablement rattaché aux spondyloarthropathies
séronégatives . Etiologie :plusieure de
causes ont été suggérées mais l'étiologie infectieuse étant
dominer , Propionibacterium acnes ou saprophyte anaérobie .
Test serologique
HLA-B27
se presence positive dans 30%
des cas
Image radiologique plain
film , TDM et IRM est aspect lesionelle de :
-
Ostéite et hyperostose
articulation sternoclaviculaire
-
Sacro-ileite
-
Osteosclerose des corps
vertebrale
-
Osteosclerose metaphysaire
et osteolyse du corp de l'os
Medecine nucleaire :
Augmenter de la captation à la scintigraphie osseuse centrée
sur les deux articulations sterno-costo-claviculaires en
formation de image de la « tête de taureau ».
| |
 |
|
 |
|
| |
Aspect radiologique de
osteolyse de arch posterieue des côtes C5,6,7
droites ( flèche noire ) du osteite d'une SAPHO
syndrome . Plain film pulmonaire OAD |
|
Aspect radiologique TDM du osteite et
hyperostose articulation sternoclaviculaire droit en
coupe axiale d'une syndrome de SAPHO . Image
radiologique TDM en coupe axial |
|
| |
 |
|
 |
|
| |
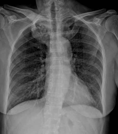
Image radiologique pulmonaire
AP d'une syndrome de SAPHO avec image de tumefaction
de osteite et hyperostose de articulation
sternoclaviculaire droit et gauche |
|
Même cas est en agrandissement |
|
| |
 |
|
 |
|
| |
Même cas de syndrome SAPHO
en coupe TDM coronal . L'articulation
stenoclaviculaire droit est très tumefaction
oedemateuse et aspect irregulaire , hyperostose
metaphysaire de la te6te de clavicule droit |
|
Aspect radiologique TDM du thorax fenetre
parenchymateuse d'une syndrome de SAPHO avec lesion
de osteite tumefiee de articulation
sternoclaviculaire droit et gauche . Image de
hyperdense de osteoscerose hyperostose metaphysaire
du têtes de clavicule droit et gauche être en vue |
|
| |
 |
|
 |
|
| |
Même cas en coupe TDM fenêtre
mediastinale |
|
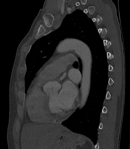
Et en coupe TDM sagital fenetre
mediastinal osseuse |
|
| |
 |
|
 |
|
| |
À os long la
lesion de syndrome de SAPHO est de osteolyse
et ostesclerose du diaphyse et à metaphyse des longs
os . Image radiologique IRM ponderee sur T1 en coupe
sagital
Aspect radiologique TDM et IRM de syndrome
de SAPHO sont :
-
Ostéite et hyperostose
articulation sternoclaviculaire
-
Sacro-ileite
-
Osteosclerose des corps
vertebrale
-
Osteosclerose metaphysaire
et osteolyse du corp des longs os
|
|
Même cas en coupe IRM frontal ponderee sur
T2 . Le syndrome de SAPHO se presence
souvent chez les adultes
jeunes ou d'âge moyen. Sa présentation dans la population
pédiatrique n'est pas rare ,les femmes > que les hommes
,
pathogénie inconnue
,
séronégatives
et affecter souvant sur
articulation sacro-iliaque , des os longs mais aussi encore à des
os de la paroi
thoracique antérosupérieure . Syndrome SAPHO est abrégé des
alfabetique suivant :
- S : Synoivite ,
- A : Acnee ,
- P : Pustulosis ,
- H : Hyperostose ,
- O : Osteite
|
|
| |
|
|
|
|
Hyperostose
sterno-costo-claviculaire : L'hyperostose
sterno-costo-claviculaire (SCCH) est une maladie
inflammatoire chronique de l'articulation
sterno-claviculaire. se manifeste par un érythème, un
inflamation articulaire et des douleurs Environ 1/2 des cas avait
en association de l'acné ou des lésions pustuleuses
palmo-plantaire (PPP). La lesion inflammatoire s'étend
sur plusieurs années et l'image radiologique est une
ostéomyélite stérile du sternum et des extrémités de
la clavicule. Aspect radiographique TDM d'une hyperostose
sterno-costo-claviculaire (SCCH) est une sclérose du sternum
hyperdensite attenir de la première côte .
La captation focale sur la
scintigraphie osseuse appelée signe de la « tête de taureau
» est très sensible et frequemment pour le SCCH.
| |
 |
|
 |
|
| |
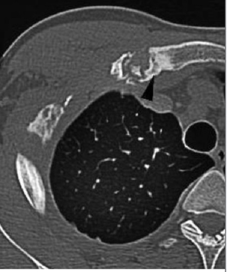
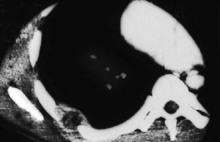
Aspect une
tumefaction oedemateuse de osteomyelite l'extremite
du clavicule gauche d'une
hyperostose
sterno-costo-claviculaire (SCCH) . Image rdiologique en
coupe axiale |
|
Même cas en coupe copronal à travers
articulation sterno-claviculaire droit et gauche .
Articulation sterno -claviculaire droit est pince ,
bord irregulier , tumefarction et scerose hyperdense
de ligament periarticulaire droit . image
radiologique TDM en coupe coronale . |
|
| |
 |
|
La captation focale du subtance radioactif sur la
scintigraphie osseuse se donne image de « tête de taureau
» de articulation sterno-clavicul;aire droit ( fleche rouge
) d'une hyperostose
sterno-costo-claviculaire (SCCH) |
|
| |
|
|
|
|
Pelvis
spondylite ankylosante ( PSA ) :
C’est un rhumatisme inflammatoire chronique (sans facteur
rhumatoïde) frappant plus particulièrement sur le pelvis
(les articulations sacro-iliaques) le rachis (dorso-lombalgies
et/ou douleur fessière)et articulation sterno-claviculaire .
La douleur survient la nuit et réveille au petit matin.
Bouger et marcher la soulage contrairement aux douleurs
liées à un lumbago ou un torticolis. Le lever est douloureux,
à cause d’un « dérouillage » qui peut durer plus d’un quart
d’heure.
.Un bilan sanguin montre les signes caractéristiques de
l’inflammation chronique : augmentation de la vitesse
de sédimentation et du taux
de protéine C-réactive (CRP, une protéine produite lors
d’inflammation). Ces signes inflammatoires sont toutefois
absents dans 20 à 30 % des cas
. La TDM montre bien l'enthésite capsulo-ligamentaire avec
ossification, ainsi que les syndesmophytes de la colonne
vertebrale « colonne
bambou ». À pulmonaire, il peut exister une
dystrophie bulleuse après plusieurs décennies d'évolution ,
ou une fibrose pulmonaire
Image radiologique du pelvis spondilite transkylosante
est : Image de osteophyte et slerose calcifiee du ligament
periarticulaire comme sacro-iliaque
, intervertebrale ( image de colonne en bambou ) ..Aspect
radiologique TDM et IRM du PSA est image de les
changements structurels chroniques : les érosions
articulaires, la sclérose sous-chondrale et l'ankylose
osseuse tous sont mieux visualisés sur la TDM que
sur l'IRM ou les radiographies . l'IRM est plus sensible que
la TDM ou la radiographie simple pour détecter les
changements inflammatoires , la synovite
et la capsulite (sur les séquences pondérées en T1
rehaussées par le gadolinium) aspect hypersignal T2 corresponse
à l'œdème de la lesion ou au tissu fibreux vascularisé
| |
 |
|
 |
|
| |
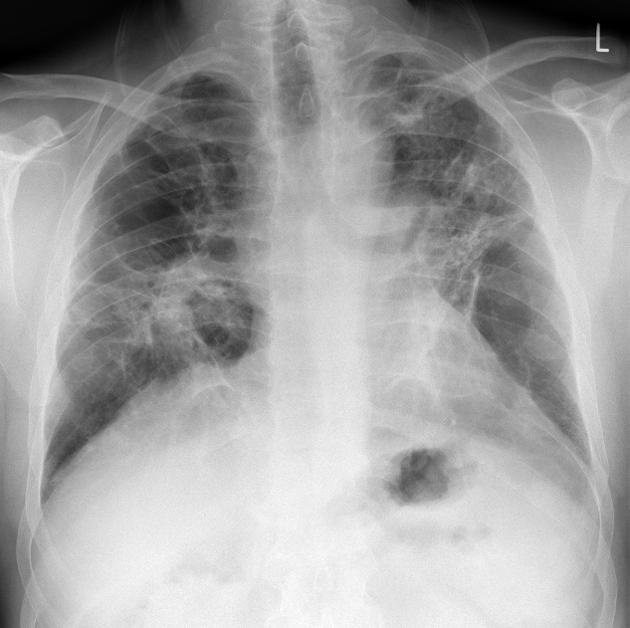
Image radiologique PA
d'une fibrose pulmonaire avec aspect de fibrose de
articulaire sterno-claviculaire gauche d'une
spondilite ankylosant |
|
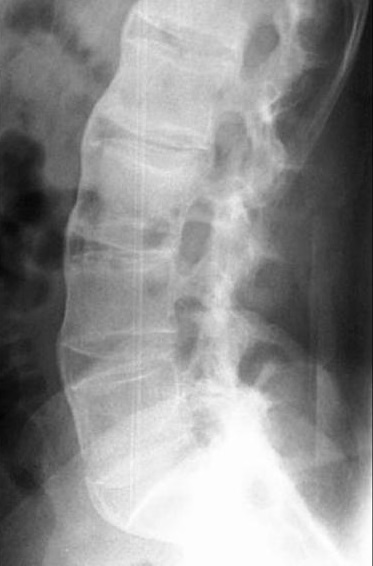
Aspect de fibrose , calcifiee du ligament
inter-epineuse posterieure et ligament para
vertebrale de L1-L5 en formation image de colonne de
bamboo ( bamboo spine ) |
|
| |
|
|
 |
|
| |
Image radiologique TDM en
coupe sagital d'une spondilite -ankylosant de D12
-L5 avec image de fracture du L1 . Image de
osteophyte anterieure du D12 et L2 avec image de
fibrose du ligament paras vertebrale anterieuse etre
en vue très nette |
|
Une autre cas de PSA du
thorax en association de lesion du corp
vestebrale.Image radiologique IRM en coupe sagital à
ponderation sur T1 |
|
A suivre
•
Gs Bui BinhTho
<< BACK << >>
NEXT
Page :
1
/
2
/
3
/
4
/
5
/
6
/
7
|