|
Semeiologie pathologie
radiologique du thorax
En generale , la fonction des éléments anatomiques du thorax
se donne de différents syndromes radiologiques
correspondence :
- Paroi thoracique : syndrome pariétal.
- Cavité pleurale : syndrome pleural.
- Parenchyme pulmonaire : syndrome alvéolaire,
syndrome interstitiel, syndrome bronchique, syndrome
cavitaire.
- Médiastin : syndrome médiastinal.
Syndrome
pleural : Semiologie , etiologie et sa pathologie
radiologique:(à suivre )
Epaisissement
pleural et calcification pleurale :
Epaissisement pleurale :
L'épaississement pleural, generalement
connu sous le nom de fibrose pleurale ou pachypleurite, est
un épaississement et une rigidification de la plèvre, la
membrane qui recouvre les poumons et l'intérieur de la cage
thoracique. Cet
épaississement peut être localisé ou plus généralisé et est
souvent causé par une inflammation pleurale
, une lesion tumoral ou une
exposition à des substances comme l'amiante
..
Etiologie de epaisissement pleural
: Causes de epaissisement pleuraux comporte :
Postpleurésie (plaques fibrohyalines) - Empyème
postopératoire ou spontané - Asbestose, talcose, talcage
pleural - Mésothéliome malin - Chirurgie thoracique -
Séquelle d'hémothorax - Métastase pleurale - Envahissement
néoplasique de contiguïté - Pleurésie radique - Pneumothorax
thérapeutique - Lymphome thoracique
Classification de epaissisement pleural
: En generale , cliniquement on peut en classifier : Epaissisement
pleural non tumorale et tumorale
.
L'épaississement pleural non
tumorale ou begnin epaissisement pleural , peut etre : À
suite à une inflammation récurrente, à suite des
pneumothorax récurrents : suite à un empyème pleural : suite
à une pleurodèse au talc : complication tardive d'un
hémothorax
maladie collagénococcique (polyarthrite rhumatoïde,
épanchement persistant) : liée à une pneumopathie
professionnelle/inhalatoire
; maladie pleurale diffuse liée à l'amiante ; maladie
pleurale diffuse liée à la silicose . Au point de vue
radiologique on peut en classifier trois aspect radiologique de
l'epaissicement pleural :
-
L'epaissisement localisé
: - En général
il est secondaire à un
épanchement pleural , est
souvent minime, sous forme d'un simple comblement d'un
sinus postérieur ou latéral; parfois, il remonte sur la
face latérale du parenchyme, parallèle à la paroi
thoracique; son bord interne est lisse et régulier,
parfois calcifié, peut en
mesurer sa l'épaisseur;
Sur le cliché de face, un
épaississement pleural latéral
localise peut faire discuter la graisse
extrapleurale ; Rarement,
l'épaississement pleural peut témoigner d'une
radiothérapie localisée ou se développer en regard de la
greffe
- L'épaississement
pleural diffus :
Normalement l'épaississement pleural diffus coiffe
pleurale au apex pulmonaire se correspond à un
épaississement fibreux de la plèvre viscérale de l'apex
elle se traduit par une opacité du sommet pulmonaire, à
limite intérieure nette parfois ondulée, non parallèle
aux côtes ( ce qui la différencie de l'ombre satellite
des premières côtes) son épaisseur est en général
inférieure à 5 mm; sa fréquence augmente avec l'âge
(6,2% avant 45 ans, 15,9% après 45 ans); elle est
témoigne habituellement d'un processus ischémique de
l'apex et non pas d'une séquelle bacillaire . S'il y
avait unilatérale supérieure à epaissisement de
plus > de 5 mm c'est peut etre en discuter un cancer du
sulcus supérieur débutant; on peut alors explorer sur la
TDM et peut differencier par l' IRM . Une autre
l'épaississement pleural diffus begnin , le plus souvent
représenter par l'exposition à l'amiante se donne de
l'aspect radiologique standarnisee et TDM en forme
une opacite en plaque hyperdense s'étendant sur plus du
quart de la hauteur du thorax , les deux autres
étant la pleurésie bénigne et la plaque pleurale.
- La plaque pleural : La plaque pleurale est les épaississements
de fibrohyalins
siègent sur la plèvre pariétale et sont orientés souvent
selon les axes costaux; habituellement bilatérale,
prédominant dans la moitié inférieure du thorax,
respectant sommet et angle costophrénique, la
topographie des plaques pleurales est classiquement
postérolatérale et juxtadiaphragmatique et il est former
par d'une exposition à l'amiante prolongée (supérieure
ou égale à 20 ans. Aspect radiographique est variable: parfois
sous forme d'opacités linéaires, planes, au contact de
l'arc latéral d'une côte; parfois plus volumineuses,
elles se présentent comme des opacités mal limitées, aux
contours irréguliers, polycycliques, en < carte
géographique »; leur épaisseur est comprise entre 1 et
10 mm; - les calcifications sont fréquentes, retrouvées
dans près de 60 % des cas. - Nous citerons les corps
fibreux de la plèvre : consécutifs à une pleurésie, ils
se traduisent sous forme d'une opacité arrondie ovalaire
située dans le sinus pleural et pouvant simuler un
nodule parenchymateux.
L'épaississement pleural
tumorale peut etre : Maladie
pleurale maligne primitive : Mésothéliome : Lymphome pleural
primitif
Métastases pleurales ; Lymphome pleural secondaire
;. Les tumeurs primitives sont tres rare, se
presence entre 5 et 10% des tumeurs pleurales. Le
syndrome pleural tumoral est difficile à distinguer d'un
syndrome pariétal en l'absence d'ostéolyse. Au
point de vue radiologique on peut en classifier trois
aspects de l'épaississement pleural
tumorale:
- Forme localisée : le plus souvent est le
mésothéliome bénin ou fibrome pleural l'aspect
radiologique est opacite est variable en fonction de la
tangence au rayon incident; lorsque la masse n'est pas
vue tangentiellement, elle se traduit par une opacité
mal limitée, dont le bord interne est net et l'externe
plus flou; lorsque la masse est vue tangentiellement,
elle se traduit par une opacité homogène, périphérique,
plus ou moins volumineuse, bien limitée, à limite
convexe vers le parenchyme, se raccordant classiquement
en pente douce avec la paroi, mais ce signe a peu de
valeur, surtout si l'opacité est volumineuse car, dans
ce cas, les angles deviennent aigus et la masse paraît
être intraparenchymateuse; il n'y a pas de calcification
ni d'excavation .L'aspect de topographie de l'image est d'un
processus pédiculé et bénin; c'est l'aspect classique du
fibrome intrascissuraire (retrouvé dans 30% des cas);
- Forme circonférentielle : une forme étendue,
rétractile, le plus souvent est un mésothéliome , ce
forme est fréquemment une pénétration intrascissuraire,
soit une localisation métastatique d'adénocarcinome;
Cet épaississement peut etre nodulaire et peut
s'accompagner d'épanchement; il existe aussi une forme
de lymphome pleural et parenchymateux très périphérique
pouvant avoir cet aspect; le diagnostic peut également
se poser devant un hémithorax rétractile par fibrothorax
ancien; ce dernier est moins nodulaire, moins mamelonné
et ne concerne pas la plèvre médiastinale; un
pneumothorax peut compliquer les épanchements malins
traités .
- Les carcinome pleurale : La carcinose pleurale réalise un épanchement
sans nodule; l'aspect radiologique standarnise et la TDM
le plus
souvent sont des « taches debougies » ou les
surélévations punctiformes
accompagnées d'un épanchement plus ou moins abondant,
La
thoracoscopie peut en faire le diagnostic.
| |
 |
|
 |
|
| |
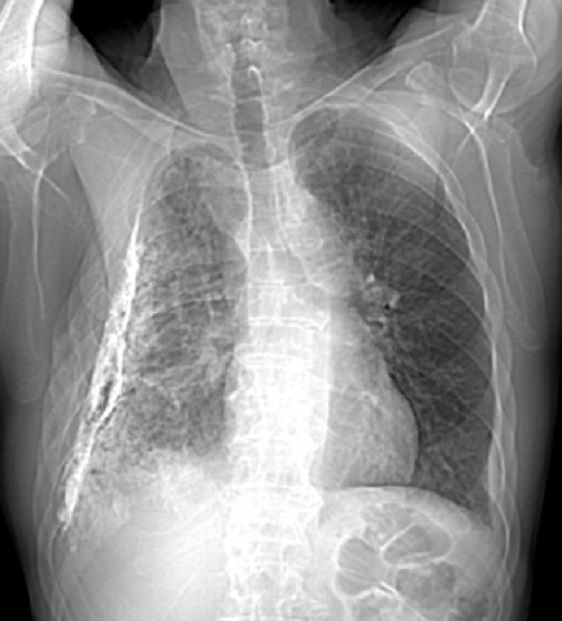
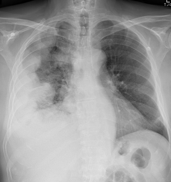
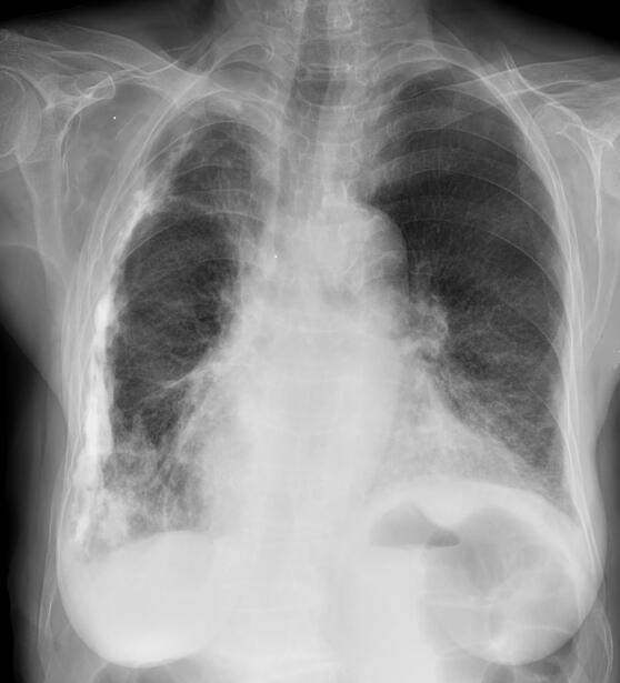
Image
radiolologique cliche de face PA d'une epaissisement
pleural diffuse du poumon droit par consequence de
tuberculose du poumon droit . Aspect radiologique
est opacite en plaque de tres densite s'étend et
recouvre tout le poumon droit , Poumon droit en
fibrose restrictive |
|
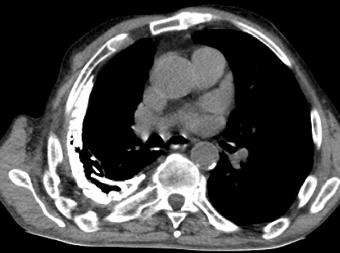
Mệme cas en coupe TDM axiale
avec aspect radiologique en plaque diffuse
hyperdensite de la plevre du poumon droit . Poumon
droit est en un peu de restrictive par la lesion de
tuberculose |
|
| |
 |
|
 |
|
| |
Aspect radiologique du
epaissisement pleurale d'une pleurite tuberculose au
stade restrictive de la plevre . La plevre est epais
, heterogene , hyperdense situe à la region
posterieure , inferieure du poumon droit |
|
Même cas en coupe
sagitale . Aspect radiologique de epaissisement
pleural diffuse est de plaque opacite hyperdense ,
heterogene situe à inferieure , posterieure au sinus
coste-diaphragmatique posterieure droite . Image
radiologique TDM en coupe sagitale fenetre
mediastinale . |
|
| |
 |
|
 |
|
| |
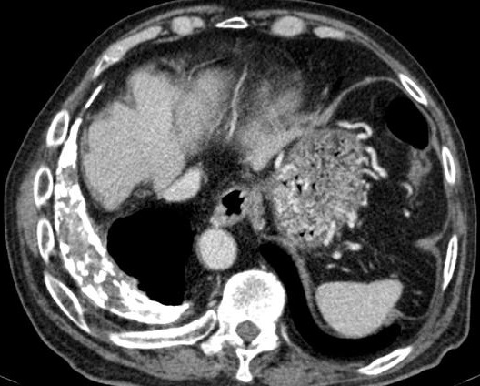
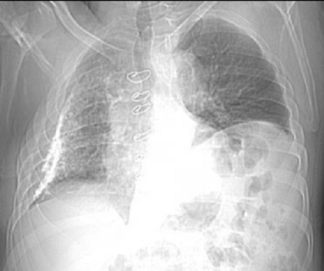
Image radiologique du
epaissisement pleurel localise d'une pleurite
empyema precedent avec aspect lesionel est de
opacite de densite eleve, localise à sinus
costo-diaphramatique gauche avec de tache de
calcification de la plevre . |
|
Même cas en coupe TDM
axiale fenêtre osseuse . Aspect radiologique est des
plaques opacites tres hyperdense situe a inferieure
du poumon gauche . |
|
| |
 |
|
 |
|
| |
Image
radiologique de ce cas en coupe TDM axiale , fenetre
parenchymateuse . Lesion situe au poumon gauche ,
etre en vue nette |
|
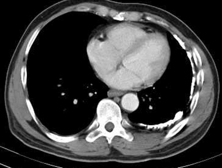
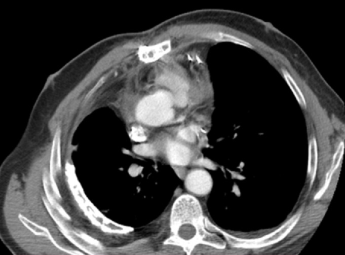
Aspect radiologique TDM d'une
epaissisement pleural metastasique de cancer de la
thyroide , en forme circonferentielle , retractile
legere ,isodense bord nette situe de la
plevre du poumon droit . Image radiologique TDM en
coupe axiale fenetre mediastinale . |
|
| |
 |
|
 |
|
| |
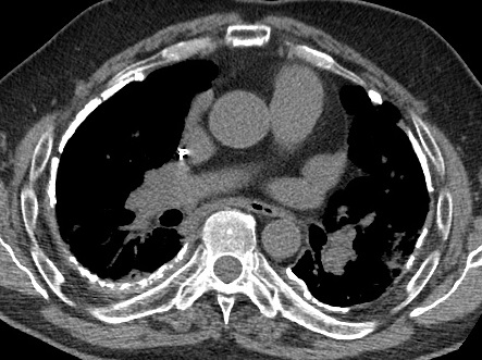
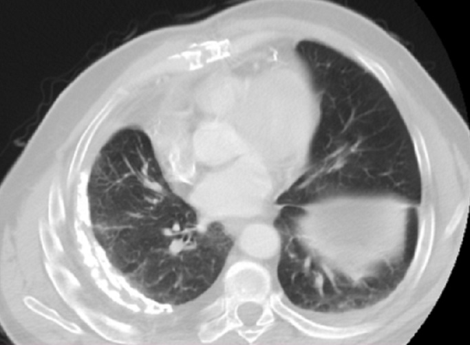
Même cas en coupe TDM axiale
fenetre parenchymateuse . La lesion est moins defini
, mais la parenchyme etre en vue tres nette et
quelque lesion metastatique peu en vue envahiser
dans la petit sissure ( à posterieure du
poumon gauche ) |
|
Epaissisement localise à la region
posterieure de la plevre du poumon droit . Image
radiologique TDM en coupe axiale |
|
| |
 |
|
 |
|
| |
Aspect radiologique TDM isodensite
d'une epaissisement pleural begnin localise dans la
plevre posterieure du poumon droit d'une abestose
pulmonaire . La lesion de abestose peut etre en vue
dans parenchyme du poumon gauche . Image
radiologique TDM en coupe axiale fenetre
mediastinale . |
|
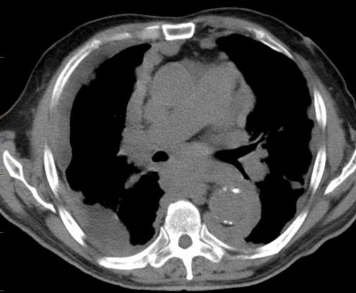
Image radiologique TDM en coupe TDM d'une
mesothelioma de la plevre du poumon gauche . Aspect
radiologique est epaissisement diffuse isodensite ,
homogene à bord viscerale est nette et irregulier ,
rehaussement legere de contrast intraveineuse .
Coupe TDM axiale fenetre madiastinale avec contrast
intraveineuse . |
|
| |
|
|
|
|
| |
 |
|
 |
|
| |
Image
radiologique PA une epaissisement pleural tumorale
d'une epitheloide engio-sarcome de la plevre du
poumon droit . Aspect radiologique est image de
epaissisement diffuse , former par multiple opacite
nodulaire limite tres nette situe de la plevre du
poumon droit |
|
En generalement et normalement de 5-7%
des cliche de face pulmonaire avaient de
epaissisement diffuse coiffe de l'apex pulmonaire
à limite intérieure nette parfois ondulée, non
parallèle aux côtes. Son épaisseur est en général
inférieure à 5 mm; sa fréquence augmente avec l'âge
(6,2% avant 45 ans, 15,9% après 45 ans); elle est
témoigne habituellement d'un processus ischémique de
l'apex et non pas d'une séquelle bacillaire , c'est
normale |
|
| |
|
|
|
|
- Calcification pleurale
: La TDM est la méthode d'imagerie la plus
sensible pour explorer des calcifications pleurales. Elle
permet même, dans de très nombreux cas, de préciser des
calcifications atteignent la plèvre pariétale ou la plèvre
viscérale, ou les deux. La présence de calcifications
pleurales est souvent d’un processus bénin.
Lorsqu'elles siègent sur la plèvre pariétale, il s’agit le
plus souvent de calcifications de plaques fibrohyalines,
liées à l'exposition à l'amiante. Lorsque les calcifications
siègent sur la plèvre viscérale, Îl s’agit le plus souvent
de séquelles de tuberculose. Les ostéosarcomes par
exemple peuvent donne de secondaire de pleurales calcifiées
. La TDM est aussi très utile dans la surveillance des
poches pleurales calcifiées post-tuberculeuses. En effet le
liquide pleural est actif pendant de très nombreuses années
se emtraine des poches calcifiée,. S'il apparaît une image
aérique dans la poche calcifiée, il faut craindre une
fistule bronchique avec disséminations bronchogènes. La TDM
permet de bien mettre en évidence ce type de complication et
de guider éventuellement un drainage. Image
radiologique standarnise pulmonaire est aspect de
opacite de hyperdensite tres dense de formation en grand
plaque ou apparaissent sous forme de petites plaques
séparées situe à la region peripherique pulmonaire .
Image TDM fenetre mediastihale ou parenchymateuse est de
image de plaque hyperdensite situe peripherique
pulmonaire
Etiologie de calcification
pleurale : La cause de calcification pl;eurale est souvent :
Tuberculose , emphyséme postopératoire ou
spontané , postpleurésie (plaques fibrohyalines), hémothorax
, asbestose, talcose , pneumothorax thérapeutique ,chylothorax
, sillicose, barytose et stannose
| |
 |
|
 |
|
| |
|
|
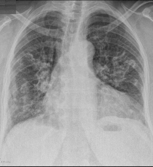
Image radiologique PA d'une abestose
pulmonaire avec aspect des opacite de calcification
en plaque de faible densite situe au plevre du
poumon droit et gauche . |
|
| |
 |
|
 |
|
| |
Image
calcification en plaque diffuse d'une ancien
tuberculose pleuro -pulmonaire droit . On peut en
vue encore de lesion ancienne tuberculeuse
fibrotique restrictive du poumon droit |
|
Image radiologique PA d'une pleurésie
purulente chronique du poumon droit . Aspect
radiologique est de plaque fibrosant et
calcification de la plevre du poumon droit .
L'espace intercostale droit est pince , la volume du
poumon droit est diminue et restrictive |
|
| |
 |
|
 |
|
| |
Même cas en coupe TDM
axiale fenetre mediastinale . Image
radiologique est aspect de calcification
fibrosante diffuse tres hyperdensite , de la plevre
du poumon droit . Volume du poumon droit est en
restriction et diminuer |
|
Même cas en coupe TDM axiale
fenetre parenchymateuse |
|
A suivre
•
Gs
Bui BinhTho
>>
NEXT
Page :
1
/
2
/
3
/ 4
/
|
|