|
Semeiologie pathologie
radiologique du thorax
En generale , la fonction des éléments anatomiques du thorax
se donne de différents syndromes radiologiques
correspondence :
- Paroi thoracique : syndrome pariétal.
- Cavité pleurale : syndrome pleural.
- Parenchyme pulmonaire : syndrome alvéolaire,
syndrome interstitiel, syndrome bronchique, syndrome
cavitaire.
- Médiastin : syndrome médiastinal.
Syndrome
pleural : Semiologie , etiologie et sa pathologie
radiologique:(à suivre )
-
Epanchement gazeuse
: Epanchement gazeux est
la présence de gaz dans l’espace pleural, ce qui permet
la séparation de la plèvre pariétale et viscérale et
entraîne une affaissement du poumon. Cliniques et
prognostic est variable de legerement négligeables
à tres grave de alteration hémodynamique et la
mort.
Etiologie
: On peut en clasification les causes de epanchement
gazeux : peut utile de diviser
en trois catégories :
- Epanchement gazeux
primaire spontané : pas de maladie pulmonaire
sous-jacente
- Epanchement gazeux
secondaire spontané : présence d'une maladie pulmonaire
sous-jacente
- Epanchement gazeux traumatique/ iatrogènique
Epanchement gazeux
spontané primaire survient chez un patient sans maladie
pulmonaire deja connue. Une grande taille et mince
est peut etre de développer un epanchement gaseux
spontané primaire. Un facteur familial
bien connues comme : Syndrome de
Marfan , syndrome d'Ehlers-Danlos ,déficit en
alpha-1-antitrypsine,homocystinurie peut
le facteur de facilement de presence de pneumothorax
Semiologie de
epanchement gazeux ou pneumothorax : Les
épanchements gazeux donnent toujours des hyperclartés :
on distinguera l' épanchements gazeux total et
l'épanchements gazeux partiels est etat d'entrée
inopportune de l’air dans la cavité pleurale, entraînant un
décollement du poumon à la paroi. La limite constitue un fin
liseré dense qui est la plèvre viscérale, et celui-ci peut
s’accompagner d’une réaction liquidienne plus ou moins
importante à la base pulmonaire . En ce cas onpeut avait à
une image hydroaérique, et cette image est d’ailleurs la
même quelle que soit la nature du liquide (sérofibrineuse,
hémorragique, purulente, lactescente). Le pneumothorax
habituel est la conséquence de la rupture d’une petite bulle
d’emphysème corticale sous-pleurale, appelée « bleb » et il
est suffocant « pneumothorax à soupape »ou « pneumothorax à
pression positive » quand air peut entrer dans la cavite
pleural et ne peut evacuer à exterieure ce que entraîne une
augementation du pression intra pleurale et déplacement du
médiastin . L'epanchement gaseux peut aussi s’accompagner
d’un épanchement liquidien sérofibrineux
(hydropneumothorax), hémorragique (hémopneumothorax),
purulent (pyopneumothorax). Image radiologique peut
difference selon la posisition de exopose : decuibitus ou
debout . Les technique d'imagerie dans epanchcment gazeux
pulmonaire est : Cliche standanise de face ou de profile en
position debout ou en decubitus , echographie , la TDM ,et
image radiologique de chaque technique :
Radiographie
standard (cliche de face , profile ..) :
Un
pneumothorax est généralement facilement
identifiable sur une radiographie thoracique
en position debout lorsqu’il est recherché.
Il présente typiquement les caractéristiques
suivantes :
-
Le bord
pleural viscéral apparaît comme une
ligne blanche très fine et nette , et
aucune marque pulmonaire n’est visible
au-delà de cette ligne.
-
L’espace
périphérique est plus radiotransparent
que le poumon adjacent.Le poumon peut
être complètement collabé.
-
Le
médiastin ne doit pas se déplacer à
l’opposé du pneumothorax, sauf en cas de
pneumothorax sous tension (abordé
séparément).Un emphysème sous-cutané et
un pneumomédiastin peuvent également
être présents.
Méthodes décrites pour
estimer le pourcentage de volume du
pneumothorax sur une radiographie PA en
position debout :
-
Méthode de Collins
%=4.2+4.7(A+B+C)
.
Les distances sont mesurées en centimètres.
-
A : distance interpleurale
apicale maximale.
-
B : distance interpleurale au
milieu de la moitié supérieure du
poumon.
-
C : distance interpleurale au
milieu de la moitié inférieure du
poumon.
-
Indice de Light
% de pneumothorax =100−(DL3DH3×100)
Dans les cas où un pneumothorax n'est pas
clairement visible sur une radiographie
thoracique standard de face, plusieurs positions
de techniques peuvent être utilisées :
-
Radiographie en décubitus latéral :
Doit être réalisée avec le côté suspecté
vers le haut.Le poumon « tombera » alors
loin de la paroi thoracique.
-
Radiographie thoracique en expiration
: Le poumon devient plus petit et plus
dense. Le pneumothorax conserve la même
taille et devient ainsi plus visible
-
Scanner thoracique +/- injection de produit
de contraste : N'a pas de trame de
parenchyme dans le pneumothorax
Lorsqu'il est réalisé en position allongée,
la détection peut être difficile
| |
 |
|
 |
|
| |
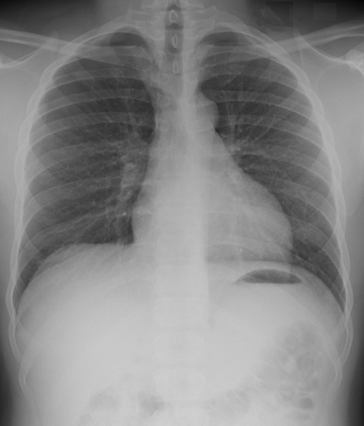
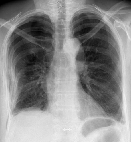
Aspect
radiologique d'une pneumothorax à petit
volume du pomon droit . Cliche de face
PA en inspiration |
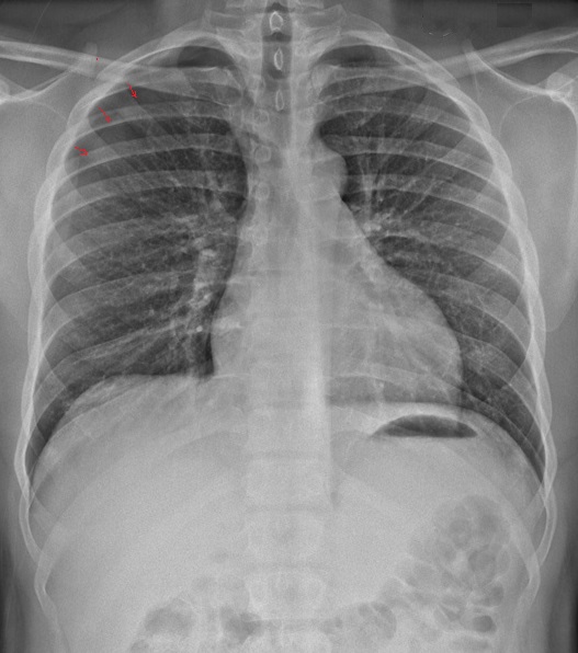
|
Meme cas à
exposant au temps de expiration . On
peut en s'observe le pneumothorax à
petit volume collecte à l'apex et à
region axillaire droit du poumon |
|
| |
 |
|
 |
|
| |
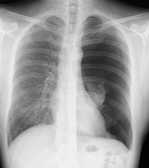
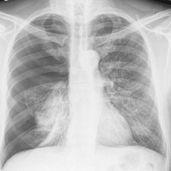
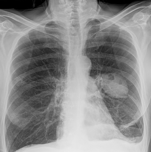
Inage radiologique PA
d'une pleumothorax totale du poumon
gauche . Poumon droit etre collabe en
moignon pres du hile ( signe direct ) .
Signe indirect de pneumothorax du poumon
gauche est image volumineuse avec aspect
ecartation de espace intercostale du
poumon , le mediastin se devier à droit
et coupole diagphrame gauche est très
bas |
|
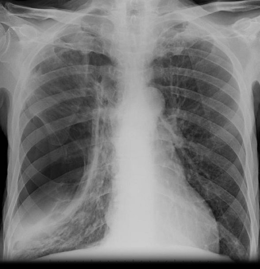
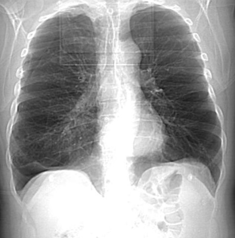
Aspect radiologique
d'une pneumothorax collectee du poumon
droit . Image radiologique standarnise
pulmonaire PA en position debout . |
|
| |
 |
|
 |
|
| |
Aspect
radiologique d'un tension pneumothorax
du poumon droit avec image de collabe en
moignon du poumon droit , deviation du
mediastin à gauche , ecrtation de espace
intercostale et depress de la coupole
diapragmatique droit . |
|
Image radiologique d'un
pneumothorax traumatique par fracture
des côtes du poumon droit . Image
radiologique peut eliminer facile la
degree de trauma et de la lesion sur la
TDM fenetre parenchymateuse . |
|
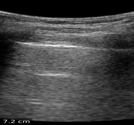
Echographie
: Le glissement pleural , signe de la plage / code barre et
le point pulmonaire :
L’exploration pulmonaire, et en particulier la recherche
d’un pneumothorax, peut être réalisée avec une sonde
3,5 MHz
à
10 MHz
qui permet d’étudier la superficie et de visualiser la
profondeur du parenchyme pulmonaire . En
generale
et normalement
image echographique normale du pneumothorax avaient
des aspect suivant :
- le glissement de deux plevre visceral et parietale
se donne sur echographie image
mouvement de la plevre et bien explores dans echgraphie
en couleur Doppler
- Signe de bord de la mere
- Signe de reflexion A line : c'est
laline de reflexion de echo sur quand l'onde de
echo traverse les deux difference millieur , tissue mou
du paroi et parenchyme pulmonaire plein d'air .
- Signe de rèlexion B : signe de "
queuer du comette"
Dans cas de pneumothorax : le
signe de " queue du commette est disparue , N'a pas de signe
de glissement pleurale , en plein de plus de A line . Sur
T-M echographie apparaitrait de signe de code barre et le
point du poumon
| |
 |
|
 |
|
| |
Aspect echographique normale
du poumon avec image en bande hyperechoic de la
plevre parietale et viscerale .Normalement sur le
coupe à sonde convex 3,5MHz on peut en vue plusieur
de ligne de reflexion A ( fleche blanche ) , aspect
de glissement pleurale et sur mode T-M image
echographique se presence de aspect de bord de mere
" seashore sign " et les deux plevres apparait en
bande hyperehogene |
|
Normalement la reflexion de
onde de echo sur deux tissu à difference de
caractere : le tissue mou de la paroi et tissue à
plein air de la parenchyme pulmonaire se donne de
image de " "queue du comet " |
|
| |
 |
|
 |
|
| |
Signe de glissement pleural
est normale ment en vue sur les coupe echographie
percutanee du thorax |
|
Dans cas de pneumothorax
c'est la perdu de glissement pleurale à suivre de
detecter les deux plevres par air dans espace
pleurale |
|
| |
 |
|
 |
|
| |
Normalement à mode T-M
echographique aspect de cote de mere est souvent en
presence |
|
En cas de pneumothorax sign de seashore
est disparue et on peut en vue aspect de code barre
sur les coupe echographi que mode T-M du thorax |
|
| |
 |
|
Specialement dans le cas de epanchement
gazeux on peut en vue Point pulmonaire ( fleche noir
) : C'est
l'emplacement où l'image glissante du poumon
apparaît et disparaît soudainement ,
Le point ( fleche noire )
de differencie entre la zone pneumothorax ( barre
code ) et zone donc la plevre pảrietal et víceral
glissante ( cote de mere ). Ce point peut en s'observe dans pneumothorax enkyste , differencier le point entre zone affection ( pneumothorax ) et zone normale |
|
La TDM : Sur les coupe TDM fenetre
parenchymateuse , la pneumothorax est très facilement
identifié et ne devrait de poser aucune difficulté de
diagnostic. Lorsqu'une maladie bulleuse est présente un
pneumothorax loculé ce qui peut avoir aussi une apparence
similaire.
| |
 |
|
 |
|
| |
Image
radiologique cliche de face PA d'une pneumothorax du
poumon droit avec aspect de collabe legere du poumon
droit avec de zone peripherique pulmonaire n'a pas
de trame de parenchyme du pomon droit . Il est un
peut de difficile de interpreter et observer
la limite du plevre visceral pulmonaire |
|
Aspect radiologique de même
cas avec image de collabe du poumon droit , le
mediastin devie vers à gauche . On peut en s'observe
la limite hyperdense de la plevre visceral du poumon
droit tres nette et facilement . Image radiologique
TDM en coupe axial fenetre parenchymateuse |
|
| |
 |
|
|
|
| |
Même das en
coupe coronal . Le pneumothorax est presence du
poumon droit de apex à longitudinal peripherique du
poumon et se presence dans espace sus dipragmatique
droit . Le poumon droit est collabe legerement .
|
|
|
|
Epanchement
gazeux mixte ou hydro-pneumothorax :
L'épanchement mixte gazeux et liquidien ou hydropneumothorax
se manifeste par la présence d'un niveau liquidien en
position debout. Il est la conséquence d'une plaie
pénétrante ou d'une fistule bronchopleurale . Image
radiologique est aspec . L'interface de liquide -air dans ce
cas se forme image hydro- aerique en position debout . Si
l'epanchement est en cloisonne le niveau est dimension
difference et situe à la region collecte . Etiologie :
trauma thoracique , thoracentèse ,fistule bronchopleurale ,
fistule oesophagopleurale
| |
 |
|
 |
|
| |
Image radiologique d'une
hydro-pneumothorax gauche avec aspect en niveau
hydro- aerique gauche . Mediastin est devier à droit
et image de elargissement des espace
intercostal gauche . Technique radiologique
standarnisee , cliche PA de face pulmonaire |
|
Même cas en oblique droit . Image hydro aerique
gauche est tres nette |
|
| |
 |
|
 |
|
| |
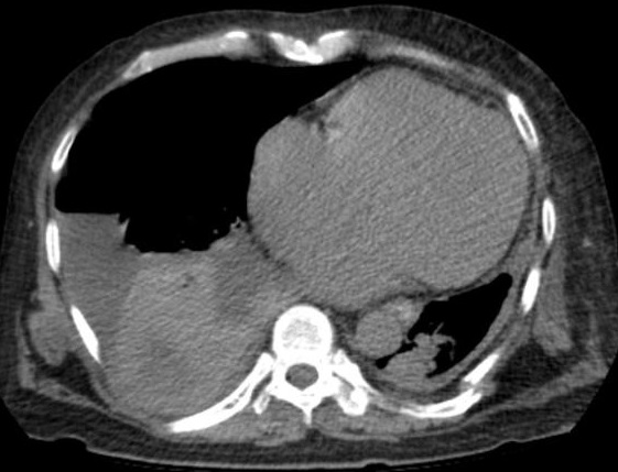
Aspect radiologique TDM d'une
hydro -pneumo thorax du poumon droit . Image en
niveau hyperdense à la base du poumon droit est en
vue trè nette sur ce coupe .La limite de la plevre
visceral du poumon droit est preque n'a pas en vue
peu en differencie avec espace hydro-pneumothorax
facille . Image radiologique TDM en coupe
axial fenetre osseuse |
|
Image radiologique TDM fenetre parenchymateuse
d'une hydro-pneumothorax du poumon gauche avec
aspect de image hydro-aerique incline à gauche
. La limite de la plevre visceral du poumon gauche
peu en differencie avec espace hydro-pneumothorax
gauche très facille |
|
| |
 |
|
Image radiologique PA d'une epanchement
cloisonne mixte avec images de hydro-aeriques en
cloisonnes au de dans de la lesion |
|
| |
|
|
|
|
A suivre
•
Gs
Bui BinhTho
>>
NEXT
Page :
1
/
2
/
3
/
4
/
|
|