|
Les techniques radiologiques du thorax comprisent : la
rx sans préparation, la tomodensitométrie (TDM), l'imagerie
par résonance magnétique (IRM), la scintigraphie, la PET
(positron emission tomography) et l'échographie
IRM
(
Imagerie par resonace magnetique )**
L'IRM a un rôle relativement limité
dans
l'imagerie pulmonaire, .le signal du parenchyme pulmonaire
est spontanément faible (densité protonique) et il existe de
nombreux artefacts de susceptibilité magnétique et cinétique
(respiratoire et cardiaque) , elle considérée comme un
examen de seconde intention après l'examen
tomodensitométrique . Mais dans quelque cas elle est préférée à la
tomodensitométrie dans des circonstances spécifiques, telles
que l'évaluation de :
- Tumeurs des fissures supérieure
- Kystes possibles
- Lésions qui affectent la paroi thoracique
- Si une embolie pulmonaire est suspectée et que le
produit de contraste IV ne peut pas être utilisé, l'IRM
peut parfois identifier une embolie proximale importante,
mais elle a souvent des limites dans ce trouble.
Ses avantages sont l'absence d'exposition
aux radiations, une excellente visualisation des structures
vasculaires, l'absence d'artefact osseux et un excellent
contraste des tissus mous.
Les inconvénients sont les mouvements des voies respiratoires et
les mouvements cardiaques, la durée de l'intervention, les
coûts associés à l'IRM et la présence occasionnelle de
contre-indications, parmi lesquelles de nombreux dispositifs
implantés et certains corps étrangers métalliques. Le
contraste au gadolinium peut être nocif pour le fœtus, c'est
pourquoi son utilisation est généralement évitée pendant la
grossesse. En resume les techniques radiologique
IRM du thorax se base sur :
- La difference de image des exposes basique ponderee
sur T1, T2 et T2/T1 avec contrast inj
- La IRM morphologique UTE ( recontruction 3D à temps
d’écho ultra court )
- IRM fontionelle de perfusion ou de ventilation par
chélate de gadolinium en aérosol ou inhalation de
oxygene avec FiO2 100% ou de Xenon 129 pour
capable d’identifier des anomalies pulmonaires non
décelable par scanner
| |
 |
|
 |
|
| |
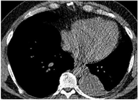
Aspect radiologique TDM
de masse isodensite paravertébrale gauche hétérogène
volumineuse, contenant des zones de densité négative,
graisseuse . Image radiologique TDM du thorax sans
contrast intraveineuse coupe axiale |
|
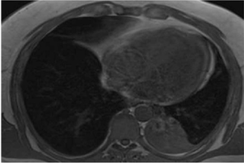
Aspect radiologique IRM thoracique
de cette tumeur en coupe axiale pondérée T1 .
Elle est isointense predominance de heterogene et
zone de hypersignal graisseuse . Image radiologique
IRM ponderee T1 en coupe axiale |
|
| |
 |
|
 |
|
| |
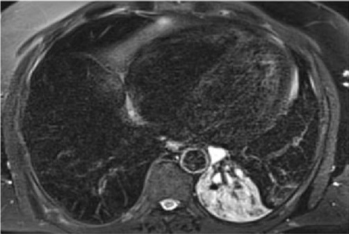
Image radiologique IRM
thoracique en coupe axiale pondérée T2 de cette
tumeur masse paravertébrale prédominantes hétérogène
avec zones en hypersignal et zones de graisseux sur
les images pondérées T2 |
|
Même cas en coupe coronal IRM
ponderee sur T2 mettaient en évidence une masse para
vertébrale bilatérale hétérogène et volumineuse . Le
diagnostic est tumeur hematopoiese extra-medulaire
. Image radiologique IRM thoracique en coupe coronal
pondérée sur T2. |
|
| |
 |
|
 |
|
| |
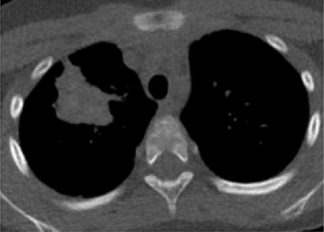
Aspect TDM de masse à
bord irregulier à isodensite heterogene du poumon
droit . Image radiologique TDM sans contrast
IV , coupe axiale |
|
Meme cas en coupe IRM axiale
à ponderation sur T1 . La tumeur est hyperintense
dominant heterogene |
|
| |
 |
|
Image radiologique de cette tumeur en
coupe IRM axiale à ponderation sur T2 |
|
| |
|
|
|
|
| |
 |
|
 |
|
| |
Image
radiologique IRM fonctionelle de ventilation de
oxygene normale du poumon |
|
Image radiologique TDM normale du
poumon entrois coupe coronal fenetre parenchymateuse ( à gauche ) ; images IRM normales
du poumon en trois coupe coronal . Et image
radiologique IRM de ventilation de Xenon 129 de même
cas en trois coupe coronal en couleur ( à droit ) |
|
L'échographie du thorax est également très utile pour évaluer la
présence et la volume des épanchements pleuraux et
couramment utilisée au lit du patient pour guider la
thoracocentèse pour diagnostiquer les pneumothorax .
L'échographie est souvent utilisée pour faciliter des
procédures telles que la ponction pleurale
L'échographie endobronchique est de plus en plus utilisée en
association avec la bronchoscopie pour localiser des masses
et des ganglions lymphatiques augmentés de volume.
Indication de echographie du thorax :
- Epanchements pleurales, Pneumothorax ou d’un
épanchement de liquide (pleurésie).
- Aider le médecin à pratiquer une ponction ou un
drainage de la plèvre dans le but d’évacuer de
épanchement. .
- L’aide au diagnostic des maladies responsables d’une
insuffisance respiratoire aigüe. pratiquée au lit du
patient
- L’aide au diagnostic biopsique de certains nodules
du poumon (lorsqu’ils sont placés proche de la plèvre),
à l’aide d’une aiguille sous contrôle de la vue en
échographie. Cela peut éviter des gestes plus invasifs.
| |
 |
|
 |
|
| |
Image echographique normale de
la pleve du poumon en presence sous forme une bande
hyperechogene . Sur image echo en mode TM à droite ,
la ligne pleural hyperechogene entre paroi
thoracique et le poumon se donne de image en " signe
du bord de mer " ( fleche noire ) . |
|
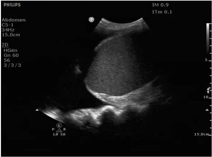
Aspect echographique d'une
pleuresie du sinus costo -diapragmatique postero-lateral
droit . La sinus costo-lateral droit remplir par
pleuresie hypoechogene |
|
Scintigraphie de ventilation/perfusion (V/Q)
La scintigraphie de ventilation/perfusion utilise des radio-isotopes par
une masque de gaz inhalés pour evaluer la ventilation et des
radio-isotopes intraveineuse pour evaluer la perfusion. Des
zones de ventilation non perfuséees, de perfusion non
ventilees ou des augmentations et diminutions appariees
peuvent être detectees par 6 à 8 cliches du poumon.
Indications de scintigraphie pulmonaire sont :
- Recherche d'une embolie pulmonaire
- Examen de fin de traitement d'une embolie
pulmonaire.
- Bilan étiologique d'une HTAP
- Estimation pré-opératoire de la fonction pulmonaire
et estimation post-opératoire avant lobectomie ou
pneumonectomie
- Recherche d'un shunt pulmonaire fonctionel (syndrome
hepato-pulmonaire) ou shunt droit/gauche intra
cardiacque
La scintigraphie de ventilation/perfusion est le
plus souvent utilisée dans le diagnostic de l'embolie
pulmonaire, mais elle a été largement remplacée par
l'angio-TDM. Cependant, la scintigraphie de
ventilation/perfusion est toujours indiquée dans
l'évaluation diagnostique de l'hypertension pulmonaire des
thromboembolies chroniques.
Contre indication de scintigraphie de
ventilation/perfusion ( V/Q )
- N'a pas contre-indication de scintigraphie chez la
femme enceinte lorsqu’elle est necessaire au diagnostic
d’embolie pulmonaire,
- L’allaitement eventuel doit etre interrompu pendant
une duree a adapter suivant l’activite´ injecte
La scintigraphie ventilation avec fonction split,
dans laquelle la ventilation est quantifiée pour chaque
lobe, est utilisée pour prévoir l'effet de la résection d'un
lobe ou d'un poumon sur la fonction respiratoire; le volume
expiratoire maximal en 1 s (VEMS1) post-chirurgical avec
VEMS1 pré-opératoire (en litres). Une valeur < 0,8 L (ou <
40% de la valeur théorique du patient) indique des réserves
pulmonaires limitées et un risque élevé et inacceptable de
morbidité et de mortalité péri-opératoire.
| |
 |
|
Image radiologique normale d'une
scintilographie ventilation en position de face AP ,
PA profile droit , gauche , OAD , OAG ant , post ...
Methode se realise par une masque de gaz
radio-isotopes inhalés pour evaluer la ventilation
|
|
| |
|
|
|
|
| |
Image radiologique normale d'une
scintilographie de perfusion à position de face AP ,
PA profile droit , gauche , OAD , OAG ... Methode se
realise par une perfusion des radio-isotopes
intraveineuse pour evaluer la perfusion |
|
 |
|
| |
|
|
|
|
| |
|
|
|
|
PET CT du thorax : Tomographie par émission de positrons (Positron
emission tomography, PET)la PET utilise du glucose marqué (fluorodésoxyglucose)
pour mesurer l'activité métabolique des tissus . La
TEP-TDM est essentiellement utilisée en cancérologie pour
caractériser une anomalie du poumon, des ganglions
thoraciques ou d’un autre organe,elle ne permet en aucun cas
de porter un diagnostic précis. En effet d’un côté
l’hypermétabolisme est significatif en cas de tumeur ou
d’infection mais certaines tumeurs ne s’accompagnent pas
d’hypermétabolisme. . Elle
est aussi utilisée dans les troubles pulmonaires pour
déterminer degré d’activité des organes .
Technic : La
liquide contenant des molécules de sucre marquées (
fluorodeoxyglucose ) par une
très faible dose de radioactivité est injecté dans les
veines avant de passer au scanner. Ce sucre marqué va se
concentrer dans les zones très actives : le cerveau, le cœur…
mais également dans les zones présentant une infection, une
tumeur, ou une maladie inflammatoire. L’image obtenue par la
TEP est fusionnée à l’image obtenue par scanner. Et le
TEP scanner peut permettre de savoir de certaines anomalies
en vue au scanner sont actives ou non.L'indication de PET -CT peut :
- Si des nodules pulmonaires ou des ganglions
lymphatiques médiastinaux abritent la tumeur (stade
métabolique)
- Si le cancer récidive dans des zones pulmonaires
cicatricielles préalablement irradiées
- La PET est plus performance que la TDM dans l'évaluation
de l'extension médiastinale car elle peut identifier des
tumeurs dans les ganglions lymphatiques de taille
normale et au niveau de sites extra-thoraciques, ce qui
évite de recourir à des procédures invasives telles
qu'une médiastinoscopie ou une biopsie à l'aiguille.
- La sensibilité de la PET
(80 à 95%) est comparable à celle de l’examen
histologique des tissus
- . Des tumeurs à
croissance lente (p. ex., carcinome bronchoalvéolaire,
tumeur carcinoïde, certains cancers métastatiques)
peuvent entraîner des résultats faussement négatifs.
- De nouvelles TDM-PET combinées sont couramment utilisées
pour le diagnostic et la classification par stades du
cancer du poumon..
| |

Une liquide contenant des molécules de sucre
marquées ( fluorodeoxyglucose ) par une très faible
dose de radioactivité est injecté dans les
veines avant de passer au scanner (B). Ce sucre
radioisotope marqué va se concentrer dans les zones
très actives : le cerveau, le cœur… mais également
dans les zones présentant une infection, une tumeur,
ou une maladie inflammatoire. |
|
 |
|
| |
L’image obtenue
par la TEP est fusionnée par l’image scintilographie
obtenue (B) et image TDM coronal (A) |
|
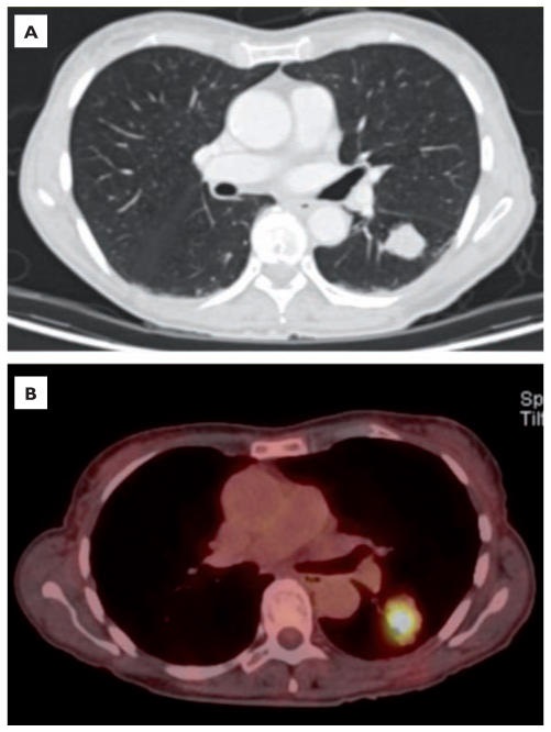
Image radiologique TDM d'une cancer
broncho-pulmonaire à petite cellule du poumon droit
aspect radiologique est de petit masse polyloculaire.
hyperdensite et homogene . Image radiologique
à inferieure est image de PET CT , la lesion est
hyper-metabolisme cancereuse |
|
Dr Bui Binh Tho
<<
PREVIOUS RESUME
>>
|
|