.
. . Work Work Work

EGCRC
The company I work for

All about my Work
Meet people from my work and a little about the center I work for.

-The Boys-
You can meet a few of my rats

-The CoWorkers-
Should there be a hyphen in CoWorkers? Probably...

-The Building-
In case you enviroterrorist feel like busting in. Just kidding, please don't.


. . .


Work

(June 10th, 2003 -- 8:32 AM PST)

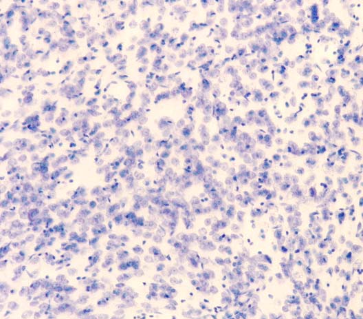
Remember me whining about slicing and staining all those brains? Well, I'm just about done with that and I just started imaging and analyzing them. To the right is a picture of a rat brain at 40x magnification. If you click on that brain, you can see a zoomed view (100x). Once I figure out what all those shapes, colors, dots and random squiglies are in those pictures, then maybe I'll tell you...

-- pauloc


(May 13th, 2003 -- 9:17PM PST)

New Work page is up now. Click on All about Work

-- pauloc


(May 9th, 2003 -- 8:33 AM PST)

Work's been nothing but brains lately. I'm working on a page which should have pix from work and some background info, for those interested. Should be up in a week or less.

-- pauloc


(March 6th, 2003 -- 7:36 PM PST)

Three more brains sliced today. I've been pretty busy at work, and feel guilty about missing Monday, but what can you do? I'm trying to figure out what kind of layout to use for the photos of my co-workers and my rats. As soon as I have that sorted out, I'll post their photots. Tomorrow is one of my co-worker's birthdays, so I should have lots of photos to put up by next week.

-- pauloc



(March 3rd, 2003 -- 4:49 PM PST)

Another productive day at work. I nearly caught up with my backlog of data, sliced a brain, and started on some slide mounting. Not too shabby for a day's work. I hope this motivation doesn't wear off until after my workout.

-- pauloc



(February 29th, 2003 -- 5:10 PM PST)

I'm at work. And it's Saturday. But before you start thinking I'm a "work-alcoholic" as a foreign-born hairdresser once called himself, I'm just here for the internet connection...

-- pauloc




. . . . .