Ulcere gastroduodenal
Ulcere gastroduodenal : Images radiologiques TOGD et TDM .
 |
 Ulcere
gastro-duodenal perfore . Images en croissant gazeuse sous diapragm
droit sur les deux cliches thorax de face et de l'abdomen en debout
. |
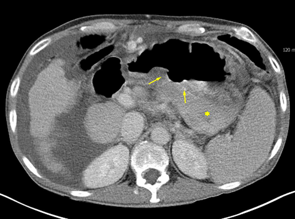
 Images
de TDM scanner en coronal de ulcere gastrique a la paroi posterieure
de l'estomac ( fleche jaune ) |
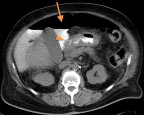
 Ulcere gastrique perfore . Fleche jaune c'est espace gazeuse
peritoneale ( free air ) , triangle jaune c'est la cite duodenum en
perfore .
|
 Ulcere
gastro-duodenal perfore . Images TDM scanner
|
 En meme cas pneumoperitoine . |
| |
|
|
|
.
| Ulcere sclerosant bulbaire . Une augementation
de onde peristaltisme du portion antrum et une diminution
d'evacuation duodenale parfois se voyaient . |
|

| ..Deformation bulbaire en deux ailes avec
..niche de ulcere au milieu ( fleche noire )
|
|
|
|
|
| .Deformation bulbaire en etoile avec niche au milieu
( en fleche blanche )
|
 |
 |
| Ulcere du bulbe avec la deformation bulbaire
avec niche au milieu |
Images TOGD . Ulcere duodenum D2 ..avec
inflamation des
plies muqueuse ...duodenal en aval |
|
| |
|
|
My
home page I My
family home page I My
personal page I Medline
I R/C
model airplane page I Games
I Science
________________________________________________________________________________
Email
:
buibinhtho52@gmail.com .
Copyright
© 2001 My homepage's Bui Binh Tho Md ,
35B Ho Hoa To1 ,Kp1 , Tan Phong , BIEN HOA , DONG NAI , VIET NAM . Tel 0251
8820817 ,
Mobile : 0903358597 . Plus ( +84 ) for all oversea relation .
All
Rights Reserved.