Actualite de la medicine
                                                                                              BUI BINH THO  MD 
 Home    Radiologie  Echographie  Pneumologie Vaccinologie  Medicament  Information
  Les techniques radiologiques du thorax 
    La Radiographie
  
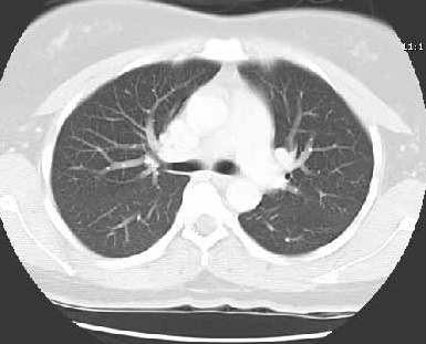
Image tomodensitographie computerisation ( CT scan , fenetre parenchymateuse ) :Un coupe horizontal du thorax a travers D6 . Le mediastin , aort ascendent, veinecave sup, le troc de artere pulmonaire , peut detecte et se voyaient net en image . La region sous carenaire et image clair de la bronche souche droite et gauche se voyaient  aussi  ...  
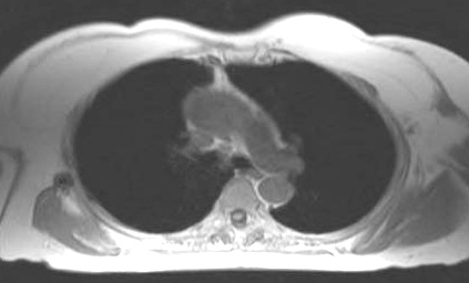
Imagerie par resonance magnetique IRM : Un coupe horizontal a travers D5 . Aort ascendent , descendent , veine cave superieure , trache et oesophage sont bien en voyaient .  Tronc medulaire et les muscle lateral , posterieure de la colonne vertebrale sont bien detecte ...
         
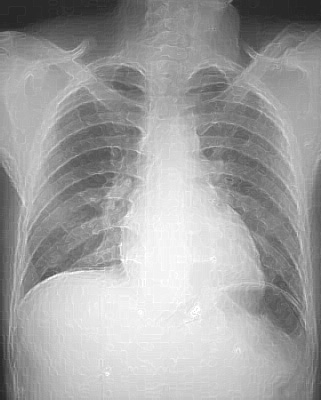
 Image analoque d'une cliche pulmonaire de face : 
La meme cliche  a mumerisation et suspression : LCS ( Local Contrast Stretching }ou méthode de rehaussement adaptée du contraste , permet detecte les regions flou de contrast , la limite entre ces deux region est rehausse , la detail seront augemente  En ce cas le trajet claire du trache et les deux bronches avaient rehaussement . Le bord de aort descendent , la ligne para vertebal  et la vascularisation du lobe  inferieure du poumon gauche avaient detecte . . Il avait une changement  efficace dans le  histogram du image
   << Page precedent                                                 
                                                                         Page l 1 l 2 l 3 l

 

 My home page I My family home page I My personal page I Medline I R/C model airplane page-Games I Science

  

 Email : buibinhtho52@gmail.com . Copyright © 2001 My homepage's Bui Binh Tho Md , 35B Ho Hoa To1 ,Kp1 , Tan Phong , BIEN HOA , DONG NAI , VIET NAM . Tel 0251 8820817 , Mobile : 0903358597 . Plus ( +84 ) for all oversea relation . All Rights Reserved.