HANSI
ESTUDIOS
'IN VIVO' SOBRE
CARCINOMAS
EXPERIMENTALES
INTRODUCCION
DESCRIPCION DEL MODELO DE
TUMOR MAMARIO INDUCIDO
Para obtener el modelo experimental, se utiliza un esquema de inducción
que consiste en la administración, por vía i.p., de 3 dosis de 50 mg/kg- del
carcinógeno químico N-Nitroso-N-metilurea (NMU).
Se trabaja con ratas hembra de la cepa Sprague-Dawley, endocriádas por
mas de veinte generaciones, a las que se inyecta la NMU a los 50 días de edad,
repitiéndose la dosis a los 80 y 110
días de vida de los animales.
De este modo se obtiene una alta incidencia (95-100%) en el desarrollo
de tumores, con un periodo latencia de 80 ± 17 días a partir de la lo dosis de
NMU y un promedio de 5.3 1.6
tumores/ animal portador.
La clasificación histopatológica de las lesiones inducidas, indica un
88.4 % de lesiones tumorales malignas y
un 11.6 % de hiperplasias o lesiones pre~tumorales.
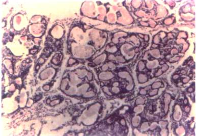
Las lesiones tumorales corresponden a carcinomas ductales de tipo
invasivo, con características de alto grado de malignidad que muestran las
variedades: cribiforme en un 50%, comedocarcinoma en un 17% y
un 1% de tipo papilar. (Fotografías 3 a 6)
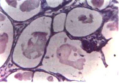
Utilizando técnicas de coloración adecuadas se puede determinar la
presencia de mastocitos en un gran porcentaje de las lesiones, generalmente
acompañando el estroma reacción. (Fotografías 7 y 8)
En los animales portadores de tumores se
identificaron metástasis en pulmón, intestino y ganglios. También
se han desarrollado un 3% de tumores de origen linfoide como único tipo de
tumor primario de tejido distinto de la glándula mamaria.
Diversos estudios realizados sobre los tumores mamarios inducidos, muestran que todos presentan receptores a estrógenos, a progesterona y a prolactina, mientras que un 90% expresa también receptores a factor de crecimiento epidérmico.
La ooforectomia bilateral de los animales produce una regresión
significativa en el 50% de los tumores desarrollados y un porcentaje similar
responde a la terapia con antiestrogenos como el Tamoxifen.
En
conclusión, con el esquema de inducción utilizado, se obtiene un modelo de
tumor mamario con alta incidencia de lesiones malignas e invasivas, con metástasis
en distintos órganos, fácilmente inducible y con características particulares de dependencia hormonal y
a factores de crecimiento.

FOTOGRAFIA 1Aspecto externo de tumores desarrollados y su,
localización a lo largo de ambas cadenas mamarias.

FOTOGRAFIA
2 En la fotografía se puede observar el aspecto macroscópico de los tumores
expuestos y su tamaño relativo.

FOTOGRAFIA
3 Lesión pretumora1 pretumoral. Se puede observar
el marcado aumento en el diámetro
de los ductos y abundante secreción.
80x

FOTOGRAFIA 4 Hiperplasia, se pueden observar a mayor aumento las imágenes de la fotografía superior. La capa de células que rodea los ductos no presenta mayores alteraciones. 320 X

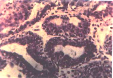
FOTOGRAFIA 5 Carcinoma ductal, variedad cribiforme. Se observa un
moderado estroma reacción y el aspecto característico dado por las Cribas o lúmenes
secundarios. 80x

FOTOGRAFIA 6 Carcinoma ductal, variedad cribiforme. Puede observarse a mayor aumento el estroma reacción, cribas características y numerosas mitosis. 300 X

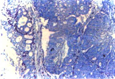
FOTOGRAFIA 7 Carcinoma ductal, Se puede observar la abundante proliferación celular alrededor de los ductos, importante pleomorfismo, mitosis e hipercromasia. 320 X

FOTOGRAFIA
8 Carcinoma ductal, variedad comedocarcinoma.
La imagen muestra la característica necrosis intratumoral. 310 X

FOTOGRAFIA 9 Preparado con alto
número de mastocitos acompañando
el estroma reacción. Azul de
Toluidina, 80 X

FOTOGRAFIA
10 Extendido con mastocitos
localizados intratumoralmente. Azul
de Toluidina, 320 X.
OBJETIVOS
El objetivo del presente trabajo es el estudio
de la acción terapéutica in vivo de la droga Hansi sobre carcinomas mamarios
inducidos químicamente en rata.
MATERIALES Y METODOS
2.1 Inducción de los tumores
La inducción tumoral se efectuó mediante la administración de NMU
por vía i.p. a ratas hembra, empleando un esquema de tres dosis sucesivas.
El carcinógeno se disolvió en solución fisiológica estéril en una
concentración final de 10 mg/ml. La
dosis utilizada fue de 50 mg/kg, efectuándose la primera inyección a los 50 días
de vida del animal y
repitiéndose la administración a los 80 y 110 días respectivamente.
2.2 Control del crecimiento
tumoral
Los animales se mantuvieron en grupos de cinco por jaula, con ciclos de
12 horas de luz y con agua y alimento "ad limitum".
La aparición de los tumores se controlo por palpación de las cadenas
mamarias, a partir de la administración de la segunda dosis del carcinógeno.
Para estudiar la localización de los tumores se hizo un mapeo de los
distintos animales. El tamaño de
los tumores y
su evolución se analizaron midiendo día por medio, los diámetros mayor y
menor con un calibre. También
se evaluaron las características macroscópicas de los mismos.
El peso corporal de los animales se controlo tres veces por semana.
2.3 Estudios histopatológicos
Para realizar el estudio histopatológico de
los tumores desarrollados, se tomaron muestras de distintas zonas de los tumores
para tener preparados que fueran representativos de la totalidad de la lesiona.
Las muestras de un tamaño no mayor a 3x3 mm, fueron conservadas en
formol al 10%, incluidas en parafina y coloreadas con hematoxilina-eosina para
su posterior observación microscópica.
Para identificar la presencia de mastocitos en los preparados se
utilizo la coloración diferencial con azul de toluidina a pH 5 Solo algunos
tumores de animales representativos de cada lote fueron biopsados para los
estudios histopatológicos, para no introducir factores secundarios que pudieran
afectar el estudio de la sobrevida de los animales.
En tres de los animales tratados se efectuó la necropsia y
análisis histopatológico de muestras de órganos como hígado, pulmón, riñón,
bazo e intestino.
2.4 Estudios
inmunohistoquimicos
Conjuntamente con las biopsias quirúrgicas efectuadas para los
estudios histopatológicos, se realizaron tomas para los estudios
inmunohistoquimicos.
Las muestras fueron en este caso congeladas, seccionadas, fijadas y
coloreadas inmediatamente luego de extraídas. Se efectuaron estudios de : células "B", células
"T" Helper y
células "T" Supresor, empleando los anticuerpos monoclonales :
anti-rat "B" cell (l-CA) mon. a.-a. (CDR45), anti-rat "T"
Helper mon. a.-a. (CLO03A) y anti-rat Cit./Supp.mon. a.-a. (CLO04A),
respectivamente.
Estos estudios fueron realizados por el Dr. Máximo
Croci.
PROTOCOLO DE TRABAJO
DESARROLLADO
Para realizar el presente estudio se trabajo con seis lotes de cinco
animales cada uno, de ratas hembras
de la cepa
Sprague-Dawley, de acuerdo al siguiente esquema:
LOTE 1: Control de inducción
Animales con tres dosis del carcinógeno.
LOTE 2: Tratamiento con 0.05 ml
de Hansi
Animales con tres dosis de carcinógeno, que fueron tratados
diariamente con 0.05 ml de Hansi por vía subcutánea. El tratamiento se inicio
alrededor de los 45 días después de la tercer dosis de NMU, cuando los
animales tuvieran al menos un tumor bien desarrollado.
LOTE 3: Tratamiento con 0-1 ml de
Hansi
Animales con tres dosis de carcinógeno, que fueron tratados
diariamente con 0.1 ml de Hansi por vía subcutánea. El tratamiento se inicio alrededor de los 45 días después
de la tercer dosis de NMU, cuando los animales tuvieran al menos un tumor bien
desarrollado.
LOTE 4: Tratamiento con 0.4 ml de
Hansi
Animales con tres dosis de carcinógeno, que fueron tratados diariamente con 0.4 ml de Hansi por vía subcutánea. Este tratamiento se realizo sobre animales en estadios avanzados, portadores de mas de cuatro tumores bien desarrollados.
LOTE 5: Control de Hansi
Animales sin tumores que fueron tratados diariamente con 0.05 o 1 ml de
Hansi por vía subcutánea.
LOTE 6: Control normal
Animales sin tumores y sin ningún tipo de
tratamiento.
d.-Estudios histopatológicos.
Se analizara sí los patrones histopatológicos de los tumores
de animales tratados son similares a los previamente caracterizados en
este modelo tumoral.
Estos estudios incluyen también la evaluación semicuantitativa de la
reacción huésped y
el contenido de mastocitos en los tumores de ratas tratadas y
no tratadas.
Los estudios histopatológicos de órganos de animales tratados, tienen por finalidad determinar si se conservan o no las respectivas estructuras normales bajo la administración de distintas dosis de la droga.
e.- Estudios
inmunohistoquimicos
Se analizara la posible variación de distintas subpoblaciones de
linfocitos presentes en el tejido tumoral a lo largo del tratamiento, en
comparación con su contenido en tumores de ratas no tratadas.
Esta evaluación es semicuantitativa.
RESULTADOS
3.1 Desarrollo de los tumores
En los lotes tratados con el carcinógeno el desarrollo de los tumores
fue el descrito previamente para este modelo tumoral. No se observaron diferencias significativas en el numero de
tumores desarrollados por animal.
No
se pudo evaluar si hay modificaciones en el periodo de latencia, ya que el
tratamiento comenzó después de la aparición de tumores palpables.
Como puede observarse en la figura 1 los lotes 1 (control)
y los tratados con 0.05 ml y 0.1 ml muestran una evolución similar en función del tiempo.
En el lote control el numero de tumores por rata portadora fue de 5, en
el lote con 0.1 ml fue 4 y
en el de 0.05 ml fue de 4.6 tumores por rata.
Si bien los valores son ligeramente menores en los casos tratados, estas
diferencias no son estadísticamente significativas.
No se representa la evolución del lote con dosis mayor, ya que estos
fueron animales seleccionados en estadio avanzado y con alto numero de
tumores.
NUMERO DE TUMORES DESARROLLADOS

FIGURA 1
Representa el número de tumores desarrollado por rata en función del
tiempo para el lote control y
los lotes tratados con distintas dosis de Hansi.
En el grafico se indica el momento en el cual se inicio el tratamiento.
Las cifras no son definitivas ya que en cada uno de los lotes tratados queda un
animal con vida.
3.2 Crecimiento tumoral
Normalmente
los tumores inducidos con NMU crecen en forma constante hasta la muerte del
animal portador. Esto puede observarse en las figuras 2 y 3 que representan el
crecimiento los tumores de animales controles.
En los animales tratados se observa que a partir de los diez días de
iniciado el tratamiento, la mayoría de los tumores detienen su crecimiento,
estabilizándose. En algunos casos también se puede ver una lenta regresión.
Estos resultados están representados en las figuras 4 a 12 donde se
muestra el crecimiento de los tumores en función del tiempo para tres animales
representativos de cada tratamiento.
CRECIMIENTO TUMORAL CONTROLES

FIGURA 2
Representa el desarrollo y
variación del tamaño de los tumores en un animal control.
Se grafica el diámetro mayor en función del tiempo transcurrido a
partir de la administración de la tercer dosis del carcinógeno.
En el eje de la izquierda se representa la variación del peso corporal.
El grafico muestra la evolución característica de los tumores
inducidos con NMU. Los tumores van
creciendo en forma constante con el tiempo hasta la muerte del animal portador.
Muy raramente algún tumor estabiliza su crecimiento o experimenta una
regresión significativa en su tumor.
Es también común la aparición secuencias de nuevos tumores, los que
generalmente evolucionan mas lentamente.
Este animal control desarrollo siete tumores de los cuales uno solo
muestra una velocidad de crecimiento muy lenta. El periodo de latencia fue de 90 días y el tiempo de
sobrevida de 68 días post tercer dosis de NMU.
CRECIMIENTO TUMORAL CONTROLES

FIGURA 3
Representa el desarrollo y
variación del tamaño de los tumores en un animal control.
Se grafica el diámetro mayor en función del tiempo transcurrido a
partir de la administración de la tercer dosis del carcinógeno.
En el eje de la izquierda se representa la variación del peso corporal.
En este grafico se muestra la
evolución de otro animal representativo del lote control.
El mismo desarrollo cinco tumores, con un periodo de latencia de 92 días.
En este caso en particular los tumores evidencian un crecimiento lento,
pero es notoria la marcada disminución del peso corporal y también el
deterioro en el estado general del animal.
El tiempo de sobrevída en este caso fue de 73 días a partir de la
ultima dosis del carcinógeno.
CRECIMIENTO TUMORAL
Dosis de 0.05 mi

FIGURA 4
Representa el desarrollo y
crecimiento tumoral de un animal tratado con una dosis de Hansi de 0.05
ml/dia, en forma subcutánea. Se
grafica el diámetro mayor de los tumores en función del tiempo transcurrido a
partir de la administración de la ultima dosis del carcinógeno.
En esta figura se muestra la evolución de un animal representativo del
lote 2. El tratamiento con Hansi se inicia
cuando el animal portaba dos
tumores bien definidos. Los mismos
estabilizan su crecimiento alrededor de los 10 días de comenzado el tratamiento
y se mantienen sin mayores variaciones hasta los días previos a la muerte del
animal, en donde vuelve a aumentar su velocidad de crecimiento.
Una evolución muy similar muestra el peso corporal, el que se mantiene
estable y decrece sobre el final.
El tiempo de sobrevida de este animal fue de 103 días a partir de la
ultima dosis de NMU.
CRECIMIENTO TUMORAL
Dosis de 0.05 MI

FIGURA 5
Representa el desarrollo y
crecimiento tumoral de un animal tratado con una dosis de Hansi de 0.05
ml/dia, en forma subcutánea. Se
grafica el diámetro mayor de los tumores en función del tiempo transcurrido a
partir de la administración de la ultima dosis del carcinógeno.
Se indica el comienzo del tratamiento y
la muerte del animal.
En este animal se comenzó el tratamiento con Hansi cuando presentaba
un tumor bien definido. En forma
inmediata se observa una estabilización del tamaño tumoral, sin regresión y
que se mantiene durante mas de un mes. Posteriormente
se desarrolla un nuevo tumor y ambos crecen hasta la muerte del animal.
El peso corporal también se estabiliza durante ese periodo para luego
disminuir bruscamente.
El tiempo de sobrevida fue de 135 dias a partir de la tercera dosis de
NMU.
CRECIMIENTO
TUMORAL
Dosis de 0.05 mi

FIGURA
6
Representa el desarrollo y
crecimiento tumoral de un animal tratado con una dosis de Hansi de 0.05
ml/dia, en forma subcutanea. Se
grafica el diámetro mayor de los tumores en función del tiempo transcurrido a
partir de la administración de la ultima dosis del carcinógeno.
Se indica el comienzo del tratamiento y
la muerte del animal.
El tratamiento se inicio cuando el animal mostraba un tumor bien
definido. El mismo progreso
lentamente durante 60 días y
luego creció en forma sostenida. Dos
tumores mas se desarrollaron bajo el tratamiento, los que también crecieron
hasta la muerte del animal.
El peso corporal se mantuvo estable, el brusco ascenso sobre el final
se debe al gran aumento de la masa tumoral.
A pesar de la evolución poco favorable de los tumores, el animal
presento un excelente estado general y su tiempo de sobrevida a partir de la
ultima dosis del carcinógeno, fue de 161 días.
CRECIMIENTO
TUMORAL
Dosis 0.1 mi

FIGURA 7
Representa el desarrollo y
crecimiento tumoral de un animal tratado con una dosis de Hansi de 0.1
ml/dia, en forma subcutánea. Se
grafica el diámetro mayor de los tumores en función del tiempo transcurrido a
partir de la administración de la ultima dosis del carcinógeno.
Se indica el comienzo del tratamiento y
la muerte del animal.
El grafico muestra la
evolución de un animal representativo del lote 3, que fue tratado con 0.1
ml/dia de Hansi a partir del momento en que presentaba dos tumores muy
desarrollados. A loa pocos dias se
observa una significativa regresión en un caso y estabilización del tamaño en
el otro. El primer tumor muestra
importantes fluctuaciones en su tamaño. El
segundo (señalado con *), luego de estabilizarse presenta una lesión central,
con secreción que lleva a una importante disminución en su tamaño.
También se observa el aumento de peso corporal a partir el tratamiento.
El tiempo de sobrevida de este animal fue de 116 días.
CRECIMIENTO
TUMORAL
Dosis 0.1 mi

FIGURA
8
Representa el desarrollo y
crecimiento tumoral de un animal tratado con una dosis de Hansi de 0.1
ml/dia, en forma subcutánea. Se
grafica el diámetro mayor de los tumores en función del tiempo transcurrido a
partir de la administración de la ultima dosis del carcinógeno.
Se indica el comienzo del tratamiento y
la muerte del animal.
Este animal del lote 3 presentaba tres tumores al comienzo del
tratamiento con 0.1 ml/dia de Hansi.
Alrededor de los diez días dos de los tumores comienzan a regresar.
El tercero (*) sigue su crecimiento para luego estabilizarse y mostrar la
característica lesión central con Secreción.
Un cuarto tumor se desarrolla a los pocos días, que progresa muy
lentamente y tiende a regresar.
El peso corporal se mantiene estable.
El tiempo de sobrevida de este animal fue de 89 días.
CRECIMIENTO
TUMORAL
Dosis 0.1 mi

FIGURA 9
Representa el desarrollo y
crecimiento tumoral de un animal tratado con una dosis de Hansi de 0.1
ml/dia, en forma subcutánea. Se grafica el diámetro mayor de los tumores en
función del tiempo transcurrido a partir de la administración de la
última dosis del carcinógeno. Se
indica el comienzo del tratamiento; este animal se encuentra con vida
actualmente.
Este animal presentaba tres tumores al comienzo del tratamiento con 0.1
ml/dia de Hansi. El mayor continua
su crecimiento para recién estabilizarse y mostrar regresión a
los 60 días de tratamiento. Los
otros dos estabilizan rápidamente su tamaño, con tendencia a la regresión y
uno de ellos presenta una lesión central con secreción.
El peso corporal presenta fluctuaciones a partir del tratamiento. El estado general de este animal es tan bueno que sobre estos tumores se rea