Site hosted by Angelfire.com: Build your free website today!

Nucleus

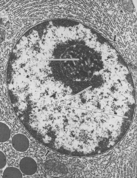
The nucleus is the command center of the cell. It consists of the nucleolus, surrounding fluid, and an outer layer called the nuclear membrane. The nucleus is where the cell's DNA is stored. It is a membrane-bound organelle that houses the chromosomes of the cell. It is represented as a dark spot in the pictures taken of the nucleus under a microscope. The first picture shows a 3d graphic of the nucleus and related parts. The second picture is of the nuclear membrane (shown in red). The third picture shows the nucleolus. In the other two pictures the nucleus is the bright yellow, and the dark gray blob in the upper right of the cell.

Home
Back