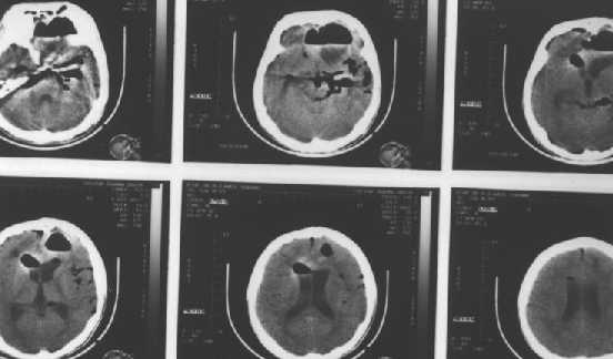
Skull Base fractures : with pneumocephalus

more...
main page