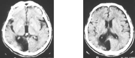
Ischemic brain diseases : infarct - PCA

more...
main page