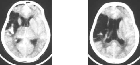
Ischemic brain diseases : cerebral nfarct - MCA

 

more...
main page