
Tele
radiología
PASOS A SEGUIR PARA ACCEDER AL SERVICIO
1) Capture la imagen Radiográfica a su PC ( con capturadora de imagen de su videocámara, foto PC o escaner)
2) Grábelo en formato JPG.
3) Envíelo a nuestro E-mail
4) El Servicio permanente le responderá a su E-mail el (telediagnóstico) de un modo casi inmediato
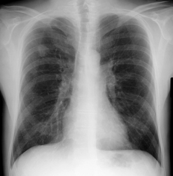
| CASO 1 Nodulo Pulmonar |
![]() |
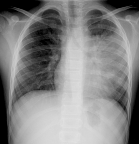
CASO 2 Neumonía |
![]() |