
|
Cchest / Thorax / Mediastinum nMediastinoscopy : Procedure in the central part of chest where lymph glands, blood vessels, heart, its covering the pericardium etc are situated. nThymus : A gland situated just below the neck in the front part of chest behind the sternum or breast bone. Implicated in diseases like myasthenia gravis and thymoma.nPericardial window : Procedure of making a hole in the heart lining to treat difficult pericardial effusions. nHilar/ Mediastinal Node : Lymph glands that get enlarged in certain lung diseases, cancer of lung, glands, blood cells etc.nPleural lesions : Seen in infections, cancer (local and distant spread) nLung biopsy : Taking a very small piece for examination under the microscope to make a diagnosis of certain infections, non infectious diseases, cancer etc.nLung resections : Removing part or all of the lung. nEmpyema : Pus in the chest ( pleural cavity) is removed and space cleaned up.eEffusions : Fluid in chest due to infection, cancer etc. nSympathectomy (ETS): Cutting / clipping of sympathetic chain to treat palmar and axillary sweating or facial blushing.nEsophageal surgery: Done for benign and cancer tumors, achalasia cardia - a swallowing disorder. |
This is the central part of the chest between the two lungs where the heart, major blood vessels, lymph glands, nerve tissue, thymus gland etc exist. This space was traditionally accessed by a large cut to divide the central breast bone into two. A painful and major procedure to reach a small lesion. Hence it was difficult to convince the doctor and patient to undergo a big cut to remove a 1 cm lymph gland for examination that may or may not provide clue to the disease. But now the telescope can be inserted through half inch hole either from the lowest central part of the neck in front or from the side of the chest depending upon the place to be accessed.
The procedure is most commonly done to take out a lymph gland to provide diagnosis in a patient of fever with lymph gland enlargement. Patients referred for this procedure are those where a CT guided biopsy and/ or a bronchoscopic biopsy is either not possible or has not given adequate information.
The procedure can be done under general or local anesthesia again depending on the patients condition and place to be accessed. This is don in the operation theatre and usually an overnight stay in the hospital is required.
This procedure is done for myasthenia gravis. Patients usually are considered for thymectomy when they do not respond to treatment with cholinesterase inhibitors or when the adverse effects limit the benefit of this treatment. Based on observation, patients with short duration of symptoms are most likely to benefit from the operation, which is the rationale for early consideration of patients with generalized symptoms for surgery. If thymoma is present, surgery should be performed as soon as symptoms can be controlled.
The procedure is done under general anesthesia and is done usually from the left side with 3 small holes. At times when the gland is big or circumstances indicate, a right sided additional approach may be needed to complete the procedure.
Patient is kept in the ICU overnight and generally allowed to go home after 2-3 days.
Improvement rate of about 80-90% and complete remission rate of about 40-50% has been reported internationally for thymectomy both by the thoracoscopic / VATS method or the open traditional method.
This is a procedure that is done at times for treating a non responding pericardial effusion that could be due to a variety of causes including tuberculosis and cancer.
A small window is made into this sac that is around the heart ( peri + cardia ), so that the fluid drains out into the chest cavity from where it gets reabsorbed into the body circulation.
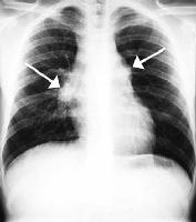
HILAR / PARA TRACHEAL/ MEDIASTINAL LYMPH NODES

The procedure is most commonly done to take out a lymph gland to provide diagnosis in a patient of fever with lymph gland enlargement. Patients referred for this procedure are those where a CT guided biopsy and/ or a bronchoscopic biopsy is either not possible or has not given adequate information.
The commonest causes in India for this gland enlargement ( as seen by the arrows in the xray on the right ), are tuberculosis, sarcoidosis, cancer of the lymph glands or a non-specific infection. As the treatment for these conditions are different, it is important for the treating physician to have a microscopically proven diagnosis.
These are diagnosed on Chest CT scan done during the course of investigations. Thoracosocpic biopsy is indicated when the cause of these lesions are not clear or the treating physician needs specific information that can only be given by microscopic examination and/ or special staining tests of the lesion.
This procedure is indicated when the treating physician has found a lesion in the lung during chest xrays or CT scanning and is not sure of the cause. Often a CT guided or bronchoscopic biopsy may be possible. Thoracoscopy is done if these procedures fail or cannot be done. Lesions reaching upto the lung surface are easily visible hence easy to biopsy while those deep in the lung have to be approached with a needle. While in the former situation a diagnosis is achieved in 99% cases, in the latter situation about 75% success is reported.
A partial or complete removal is indicated in various diseases like infections, tuberculosis, emphysema etc. This is a complicated operation and now more and more centres are offering this operation by the thoracoscopic ( VATS ) method.
This is a condition where pus has formed in the chest cavity. Treatment is dependent upon the cause which is usually a bacterial or tubercular infection. If treated early patients generally respond to medical treatment without the need for any intervention. In non resolving cases a chest tube is placed to drain the infection. This sometimes fails if the lining has become thick or if the pus has become loculated into multiple small pockets. At this stage thoracoscopy is indicated and gives good results if done early. Sometimes patients need to be with a chest tube for months and in about 10-15% cases if this too does not work, open surgery called decortication may be needed.

This is a condition where fluid has formed in the chest cavity. Treatment is dependent upon the cause which can be a bacterial or tubercular infection, cancer of the lung (primary or secondary). Treatment is that of the underlying disease. In non resolving cases a chest tube is placed to drain the fluid and at times instillation of medicine into the cavity. This sometimes fails if the lining has become thick or if the fluid has become loculated into multiple small pockets. At this stage thoracoscopy is indicated and gives good results if done early. Procedure known as pleurodesis is often done simultaneously which if successful prevents further fluid accumulation. Sometimes patients need to be with a chest tube for a few weeks. On the right is an x ray of a patient with non resolving pleural effusion ( white haze ! ).
This procedure is dealt on a separate page in detail. Please CLICK HERE to access that page. To see a brief video of this procedure, CLICK HERE.
The esophagus or the food pipe is situated in the back of the chest and can be reached quite easily by this method. Surgeries for benign conditions like achalasia cardia, leiomyoma and for cancer conditions are being done thoracoscopically. For cancer surgery, traditionally three cuts are made: Abdomen, Chest and Neck. Thoracoscopy avoids the chest cut which use to be the most painful of the three. In suitable cases, the abdomen cut is avoided and the stomach is freed using laparoscopy.
DETAILS OF THORACOSCOPY / VATS ( VIDEO ASSISTED THORACIC SURGERY )
This procedure is almost always done in the Operation Theatre in the presence of an anesthetist. It is done under local or general anesthesia depending on the fitness of the patient and extent of intervention required.
The procedure involves two or more small holes that are made in the chest to introduce a telescope and other fine instruments. Cutting, stitching, stapling etc is done inside the chest while looking at a monitor screen connected to the telescope.
At the end of the procedure a tube is left behind in the chest cavity through one of the holes. The tube is removed in the ward or OPD after a few hours / days/ weeks depending on the condition for which the procedure is being done.
Patient is allowed to eat and drink once they wake up fully from the anesthesia. Most patients undergoing small procedures are sent home the next day while others stay depending on the disease concerned.
CLICK ON THE ABOVE PHOTO to see a brief video of a thoracoscopic procedure.
This procedure has greatly reduced the morbidity that is normally associated with thoracic surgery and has led to a marked increase in the number of diagnostic and therapeutic procedures in the chest.
