INSTITUTO DE MEDICINA INTEGRAL
"JUAN HIRSCHMANN S.A."
Efectos
del tratamiento HANSI en un
Resumen
Se presenta un paciente con metástasis cutáneas, cerebrales y hepáticas
de un adenocarcinoma de células claras de riñón derecho; tratado con terapéutica
HANSI (Homeopático Activador natural del Sistema Inmune) por vías oral y
parenteral. El paciente mostró
mejorías subjetivas y objetivas, con disminución franca del tamaño de la metástasis
cutánea, las cerebrales y desaparición de la hepática y del tumor primitivo
renal. El paciente no fue tratado
con otras terapéuticas excepto radioterapia cerebral total.
Se realiza un análisis de los hallazgos his- topatológicos y su
comparación con los observados en tratamiento con otras técnicas inmunológicas.
El pacien- te sobrevive luego de 18 meses de iniciada la terapia en
excelente estado general.
Introducción
El compromiso generalizado del organismo por metástasis múltiples
lleva desde el punto de vista inmunoló- gico a un estado no reactivo.
Para explicar este mecanismo han sido propuestas varias teorías.
Algunos con-sideran que los antígenos tumorales circulantes forman
inmunocomplejos con las IgG que de alguna manera (citas 1-2-3) inhiben la
respuesta inmune del organismo. Por
otra parte muchos autores consideran que las células tumorales no despiertan la
adecuada respuesta antigénica por su similitud con las células normales.
Por este motivo la esperada revolución terapéutica que debían haber
producido los anticuerpos monoclonales unidos a agentes quimioterapicos, no tuvo
lugar debido a reacciones cruzadas; por ejemplo los anticuerpos monoclonales
anti carcinoma renal unidos a metrotexate se dirigen a las células tumorales y
a las células normales de los túbulos contorneados distases y proximales
(citas 4 y 5) del riñón. Además
considerando que cada paciente y cada tumor pueden mostrar un mapa antigénico
esencialmente distintos, cada caso se convierte en un costoso experimento
imposible de predecir en sus resultados debido a las reacciones cruzadas con
elementos celulares normales, difiriendo las células blanco según los antígenos
expresados en las membranas celulares de cada tipo tumoral.
La terapéutica combinada de citostáticos con estimulantes de la
inmunidad celular del tipo de la Bestatina (quimioinmunoterapia) está aun en
proceso de investigación y en fase de experimentación animal (citas 6-7-8)
Siendo su efecto solo adyuvante (cita 9) ya sea que se realice
inmunoterapia aislada o luego de radioterapia (cita 10).
En cuanto a inmunidad celular específicamente son conocidos los casos
tratados con B.C.G. sobre todo en melanomas con método de estímulo, no carente
de complicaciones y efectos secundarios (citas 11- 12).
Este método ha demostrado poca o ninguna efectividad en otros tipos de
tumores (citas 13-14). Otros estímulos inespecíficos como la aplicación
intravenosa de Corinebacterium Parvum tampoco ha sido de utilidad ni siquiera en
el melanoma (cita 15).
Ante éste panorama poco alentador se hace necesaria la puesta a punto
de un método eficiente de estímulo inmune, poniendo como meta la modulación
positiva del sector T (linfocitos T electores en su relación con linfocitos T
supresores) ya que como hace tiempo se demostró (cita 16), la eliminación de
los linfocitos T supresores es capaz de aumentar la reacción injerto versus huésped
(G.V.H.) de la sangre de pacientes normales y devolver parcialmente esa
capacidad perdida a la sangre de los pacientes neoplásicos.
En vista de los excelentes resultados obtenidos en la investigación
con terapéuticas Homeopáticas basadas en experiencias con animales a quienes
se administraron múltiples substancias vegetales combinadas adecuadamente, en
distintas dinamizaciones; tuvo origen la puesta en marcha de un programa para
pacientes oncológicos en fase avanzada.
Si el paciente de que se trata al acudir a la consulta había sido
definido como terminal por los médicos tratantes en base a la presencia de múltiples
metástasis; Subcutáneas, cerebrales (con compromiso motor y visual) y hepáticas,
además de la permanencia del tumor primitivo que provocaba agrandamiento y
afectación funciona] del riñón derecho.
El tumor subcutáneo ubicado en parrilla costal izquierdo fue extirpado
en mayo de 1990 y fijado en formol al 10% para su posterior inclusión en
parafina. Sobre este material se
efectuaron técnicas de Hematoxilina-Eosina, Giemsa, P.A.S., en técnicas de
reticulina e inmunomarcación.
Para esto último se utilizaron técnicas de inmunohistoquimica según
el método de Streptavidina-Biotina-Peroxidasa para los siguientes anticuerpos
monoclonales: UCHL-1 (Pan-T) Dako Corporation, dilución 1 en 200.
CD45R (Pan-B) Dako Corporation, dilución 1 en 50.
Anti-Macrófagos, Enzo Diagnostic, dilución 1 en 100.
IgABioGenex, dilución 1 en 400. IgGBio
Genex dilución 1 en 400. IgM Bio
Genex, dilución 1 en 350. Cadenas
Kappa Bio Tesis, dilución 1 en 10. Cadenas Lambda Bio Test, dilución 1 en 10.
Como revelador se utilizó la Diaminobencidina (citas 17 y 18).
Se utilizaron en el tratamiento compuestos constituidos por varias
substancias vegetales y minerales que constituyen la base del tratamiento HANSI.
De los vegetales se obtuvieron tinturas madres en distintas concentraciones
alcohólicas.
Los minerales son triturados en un polisacárido por procedimientos
homeopáticos hasta su tercera dinamización decimal en molinos a esferas de
porcelanas. Luego de la tercera
dinamización se prosigue en dinamizaciones líquidas, hasta llegar a la
deseada, por medio de soluciones alcohólicas de agua tridestilada.
Partiendo de las tinturas madres utilizamos el mismo procedimiento en los
vegetales que en los minerales luego de su cuarta dinamización (es decir luego
del paso de sólido a líquido) empleando los mismos solventes.
Los recipientes vítreos utilizados con estos procedimientos son de color ambar, para protección de los efectos que la luz pudiera causar en los distinpreparados y nunca deberán haber contenido ningún otro elemento.
Cuadro
1
| FECHA | HEMATÍES | HGNA | HTO | PLAC | LEU | NEU | LINF | ERS | Urea | GLUC | Ac.U | CRE |
| 09/03/89 | 5480000 | 15 g. | 50% | 218000 | 6900 | 49% | 48% | 12mm | 34 | 110 | 6.7 | 1.2 |
| 12/01/90 | 4150000 | 12 g. | 38% | 165000 | 8900 | 68% | 30% | 30mm | 50 | 205 | ||
| 21/04/90 | 4910000 | 15 g. | 45% | 310000 | 6700 | 72% | 24% | 30mm | 19 | 103 | ||
| 20/06/90 | 5100000 | 15 g. | 46% | 310000 | 6500 | 60% | 35% | 31mm | 49 | 315 | ||
| 14/11/90 | 5610000 | 17 g. | 51% | 280000 | 6800 | 67% | 26% | 14mm | 50 | 121 | 6.2 | 1.2 |
Se administraron dosis diarias en todo el tratamiento de 4 cc
intramusculares. Además se
agregaron dosis sublinguales y orales totalizando 2,5 cc distribuidas durante el
día en cuatro tomas.
Resumen de historia
clínica
El paciente de 51 años de edad con antecedentes de hipertensión
arterial 17-11 mm de Hg y diabetes del adulto compensada con dieta e
hipoglucemiantes orales, presentaba en mayo de 1989 solamente esos datos
positivos, con hemograma y examen de orina normales.
Comienza en mayo de 1989 con decaimiento y trastornos digestivos, pesa en ese momento 96 Kg, evolucionando con intensos dolores cólicos abdominales; es estudiado con ecografía y radiografía seriada gastroduodenal, observándose litiasis vesicular con normalidad pancreática y hepática descubriéndose una úlcera gástrica. Se trata con antiácidos y dieta, reduciendo su peso a 90 Kg.. En octubre de 1989 comienza con intensas cefaleas nocturnas, pérdida de la visión y de peso: 88 Kg.. En noviembre continúa con el mismo cuadro, empeora la visión con diplopía y continúa la pérdida de peso: 85 Kg.. Al mes siguiente comienza con un cuadro de marcada astenia, trastornos motores en miembros inferiores, afasia sensorio-motora, babeo y amnesia parcial. En enero de 1990, refiere episodios de hematuria macroscópica; en ese momento los exámenes de laboratorio demostraron ligera anemia con neutrofilia, aceleración de la eritrosedimentación e hiperglucemia (Cuadro N° l) la radiografía de tórax resultó normal.

Foto 1: Lesión en área temporal profunda para-atrial con edema perilesional importante y desplazamiento del sistema ventricular hacia la derecha de la línea media.
Por ecografía abdominal se observó un nódulo hiperecogénico de 9 mm
en segmento posterior del lóbulo derecho hepático, litiasis vesicular,
agrandamiento pancreático con dilatación del conducto de Wirsung
(5mm) y una masa polar inferior de 20 mm en riñón derecho.
El paciente presentaba un tumor subcutáneo, visible, de 5 x 3 cm sobre
parrilla costal izquierda, sólida de bordes irregulares, adherido a planos
profundos sobre el cual se efectuó punción con aguja fina bajo control ecográfico.
El estudio histopatológico del material extraído informó células atípicas
de estirpe no identificada. En esa
fecha se realizó tomografía computada de cerebro donde aparece una lesión esférica
con refuerzo anular post.-contraste endovenoso que ocupa la región temporal
profunda (foto 1) en situación para-atrial del lado izquierdo;

Foto
2: Lesión Subcortico-cortical izquierda de región occipital.
Además otras dos lesiones de menor tamaño con refuerzo homogéneo
postcontraste que ocupan la región occipital parasagital subcortico-cortical
izquierda (foto 2) y parieto-occipital subcortico-cortical derecha (foto 3).
Se observa edema perilesional y desplazamiento del sistema ventricular
hacia la derecha de la línea media. En
ese momento el paciente consulta con su médico de nuestro instituto quien le
indica radioterapia craneana total y tratamiento HANSI de acuerdo al protocolo
en curso.
Resultados y
seguimiento
Al inicio del tratamiento HANSI, el 16-01-90 el paciente se encontraba
en muy mal estado general: Ecog 3-Karnosfsky 40 afectado una micosis superficial
en área inguinal e interdigital de miembros inferiores, gingivorragias y cándida
oral rebelde a los tratamientos habituales.
Se hallaba imposibilitado de deambular por alteraciones visuales y
motoras padeciendo intensas cefaleas, marcada anorexia, letargo y agrandamiento
del nódulo subcutáneo de parrilla costal que presentaba circulación colateral
superficial y adherencia a la pared torácica.

Foto 3: Lesión
parieto-occipital subcortico-cortical derecha, además corte parasagital de la
En febrero de 1990 el paciente presenta un intenso cólico renal
derecho que cede con la medicación habitual; sé efectúa entonces un urograma
excretor que informa: borramiento del psoas iliaco derecho, retardo eliminación
del lado derecho con hidronefrosis, sospechándose estenosis la unión
ureteropielica o compresión extrínseca (foto 4).
El 23-03-90 se efectúa una ecografía renal que informa dilatación
pielocalicial de riñón derecho con pequeños ecos móviles en su interior q
pueden corresponder a coágulos o a arenillas, persistiendo la masa polo
inferior de 20 mm. Por la noche
presenta cuadro de cólico renal con orín obscuras y eliminación de coágulos
cilíndricos durante tres días. Habiéndosele
propuesto procedimiento quirúrgico renal con el fin de extirpar el tumor
primitivo el paciente se niega al mismo. En
abril de 1990 continuando c el tratamiento HANSI exclusivamente, prosigue la
mejoría con recuperación parcial de la visión y retorno de la memoria con
evocaciones de la etapa infantil.

Foto 4: Urograma excretor donde
se observa retardo en la eliminación y desplazamiento

Foto
5: Reducción de tamaño con necrosis central de la lesión temporal profunda,
con retorno a la línea media del sistema ventricular.
Se solicita ecografía abdominal que informa persistencia de la imagen
polar inferior de riñón derecho de 20 mm de diámetro; hígado sin
alteraciones y páncreas de forma y tamaño normales, con desaparición del nódulo
de 9 mm hepático y del agrandamiento cefálico pancreático observados el
12-1-90 en el mismo centro eco gráfico. Se
recibe además informe de tomografía computada de cerebro (4-4-90) que menciona
persistencia de las lesiones con disminución de tamaño, área de necrosis
central ubicada en el hemisferio
izquierdo, con disminución marcada del edema perilesional y retorno a la línea
media del sistema ventricular por menor efecto masa (Foto 5).
En Mayo de 1990 se procede a efectuar la exéresis quirúrgica del nódulo
subcutáneo ubicado en parrilla costal del lado izquierdo, el cual se había
reducido notablemente de tamaño y no se hallaba ya adherido a estructuras
subyacentes. Se efectuó estudio
histopatológico del mismo que informa metástasis subcutánea de haden
carcinoma de células claras de probable origen renal, destacándose marcadas
atipias, extensas áreas necróticas con fenómeno inmune y cicatrizar periférico.
En julio de 1990 se efectúa una nueva tomografía computada donde
continuan las remisiones de las metástasis cerebrales, normalizándose el
hemograma (cuadro l), recupera peso y recomienza la actividad física

Foto
6: Desaparición de la metástasis temporal con solo resto cicatrizar mínimo. La lesión

Foto
7: Metástasis occipital izquierda reducida y de aspecto calcificado.
. En agosto nota mejoría en la visión y desaparece la diplopía. En septiembre reinicia las actividades físicas normales, conduce su automóvil, trabaja normalmente. Manifiesta que desde agosto ha disminuido paulatinamente la dosis de hipoglucemiantes orales hasta el 28-09-90 en que los suspende totalmente, controlando diariamente con licor de Fhelingla glucosuria, esta se mantiene estable en base a dieta exclusivamente.
El 25-09-90 se recibe el informe de la última tomografía en la cual
no se identifica lesión temporal paraventricular izquierda, la lesión
occipital parasagital izquierda se redujo a menos de un cuarto de su tamaño
inicial, mostrando densidad cálcica. La
lesión parieto-occipital derecha se ha reducido a un nódulo milimétrico
cortical de aspecto cicatrizar (Fotos 6 y 7).
El 14-11-90 se efectuó una última evaluación de la función renal
con urograma excretor que mostró solamente leve dilatación de cálices de riñón
derecho, con normalidad de pasaje de la substancia de contraste por ambos uréteres,
sin evidencia de estenosis ni desplazamientos en ninguno de ellos (Foto 8).
La ecografia abdominal evidenció la desaparición ecográfica de la masa
de 20 mm en polo inferior de riñón derecho, con solo leve dilatación calicial
en ese órgano y vesícula litiásica con normalidad pancreática y hepática
(Fotos 9 y 10). Tanto el radiólogo
como el ecografista estaban en antecedentes de las lesiones previas que fueron
rastreadas selectivamente sin éxito. En
esa misma fecha el hemograma y los estudios de laboratorio efectuados se
hallaban dentro de los límites normales (Cuadro l).

Foto
8: Urograma excretor que muestra pasaje normal de substancia de contraste por

Foto
9: Ecografía renal sin otras lesiones más que la leve dilatación calisial del
lado

Foto
10: Ecografía hepática que muestra vesícula litiásica sin otras lesiones
(14-11-90).
Resultados del
estudio

Foto
11: Estructura venular de pared endotelial gruesa (V) con linfocitos que
atraviesan

Foto
12: Abundantes mastocitos concentrados en el estroma modificado peritumoral (M)

Foto
13: Estroma conectivo y neovascular con discreto infiltrado por células

Foto
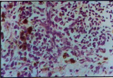
14: Con fondo de infiltrado leucocitario mononuclear neovasos, se observan macrófagos
cargados de pigmento hemosiderinico (M) y células plasmáticas maduras (P)
Los neovasos presentaron en áreas aparentemente más antiguas, paredes
delgadas y tejido conectivo hialino perivascular, adoptando además la foriria
de lagos extensos y delgados interconectados (foto 13).
Algunas áreas del sector fibroso limitante mostraron además de la
presencia de macrófagos con restos fagocíticos de hemosiderina, la afluencia
de algunos plasmocitos con evidencias de marcada actividad secretoria y
disposición foca] agrupada (foto 14).
Se detectan además estructuras de vasos de mediano tamaño con
infiltrados inflamatorios perivasculares intensos y otros con trombosis
parcialmente recanalizados en luces vasculares de mayor tamaño (fotos 15 y 16).
Con técnica de inmunohistoquímica se efectuó marcación para macrófagos,
células "T", células "B", cadenas Kappa, cadenas Lambda,
IgG, IgA e IgM. Se notó una
intensa positividad para macrófagos los que se observan situados en el límite
del área tumoral, en gran número (fotos 17 y 18), asimismo se ven asociados a
estructuras vasculares tanto en paredes gruesas como a las paredes endoteliales
exclusivamente (fotos 19 y 20) y se ubican en áreas intratumorales (fotos 21 y
22).

Foto 15: En el tejido adiposo adyacente al tumor es frecuente observar infiltrados inflamatorios perivasculares <H.E.> 300 X.

Foto
16: Dos estructuras vasculares venosas de mediano tamaño con signos evidentes
de

Foto
17: Importante concentración de macrófagos en el borde tumoral (M); arriba
tejido

Foto
18: Sector del borde tumoral a mayor aumento, macrófagos (M) Anti-macrófagos,

Foto 19: Macrófagos rodeando estructura vascular de paredes gruesas <Anti-macrófagos Hematoxilina> 300 X.

Foto
20: Estructura vascular de paredes delgadas, endoteliales rodeada por macrófagos

Foto
21: Macrófagos intratumorales que rodean elementos celulares multinucleados,

Foto 22: Macrófagos en área necrótica. <Anti-macrófagos, H> 300 X.

Foto
23: Elemento celular marcadamente atípico rodeado por macrófagos (M) con
signos

Foto 24: Inmunomarcación para células "T" mostrando intensa positividad en los márgenes tumorales <UCHL-1, H> 300 X.

Foto
25: Elementos linfoides "B" en las adyacencias y en la pared de una
arteriola

Foto
26: Plasmocitos intensamente secretores marcados para cadenas Lambda
<AntiLambda, Hematoxilina> 300 X.
Es interesante destacar que en sectores con escasa necrosis se ven
mayor número que en las áreas más necróticas tanto centrales como adyacentes
al borde, como si en lugar de ser atraídos por la necrosis tuvieran relación
causal con ella (foto 21 comparada con 22).
Por otra parte en el límite tumoral se destacan algunos elementos
celulares marcadamente atípicos totalmente rodeados por macrófagos, notándose citólisis inicial en los elementos
neoplásicos (foto 23).
La marcación para células "T' mostró intensa positividad con
ubicación peritumoral en barrera limitante y en sectores perivasculares (foto
24), asimismo se observó positividad intratumoral escasa.

Foto 27: Marcada necrobiosis tumoral, periferia constituida por estroma neovascular típico ya descrito <H.E.>.

Foto 28: Áreas hemorrágicas con afluencia de leucocitos Polimorfonucleares piocitarios<H.E.>.

Foto
29: Sectores de intensas atipías celulares con elementos multinucleados (M)
. Extensas áreas del
tejido neoplásico estudiadas a menor aumento mostraron necrosis, hemorragias
con depósitos de hemosiderina, septos fibrosos intratumorales, trombosis
vasculares y borramientos masivos de la estructura debidos a isquemia (foto 27).
Pudiendo considerarse viable solo un 20% de la masa extirpada pues el
resto se constituye de áreas necróticas, hemorragias y fibrosis reparativas.
Las áreas necróticas muestran la presencia de infiltrado
polimorfonuclear neutrofilico en degeneración piocitaria (foto 28), además de
extensos sectores hemorrágicos.
Las células que conforman la neoplasia no muestran universalmente la
apariencia habitual de células claras, monótonas y bien organizadas, sino que
presentan numerosas áreas de intensa atipía con anisocariosis marcada,
multinucleación, nucleolos múltiples, índice mitótico elevado, mitosis atípicas
y tendencia a la necrosis aún en áreas próximas a estructuvasculares (foto
29).
Los cambios fueron tan llamativos que recuerdan a los observados en las
biopsias de pacientes tratados con quimioterapia o radioterapia; dejándose
constancia que en este caso no hubo tales terapéuticas a nivel del área
biopsiada, solamente se efectuó radioterapia craneana total.
Los cambios morfológicos de las células tumorales no aparecen como
secundarios al proceso reactivo, dado que las atipías se observan aún en
sectores viables del tumor. Es
interesante destacar que el área de contacto entre el estroma y el tumor se
halla constituida por un substrato de elementos fibroblásticos jóvenes y
neovasculares con la presencia de un infiltrado linfocitario con escasos
plasmocitos que se disponen a lo largo de la línea de choque a modo de barrera
(foto 30).

Foto
30: Disposición característica en barrera del infiltrado de macrófagos y células
"T" (1)
Regresión espontánea
de carcinoma renal
La regresión espontánea parcial o completa de tumores malignos o sus
metástasis es un fenómeno raro pero conocido; trataremos por ello de analizar
objetivamente si el caso que presentamos es una de estas excepciones.
El estudio de la literatura mundial entre 1900 y 1965 realizado por
Everson y Cole (1966) (cita 21), les permitió reunir 176 casos de regresiones
en general entre los que había 31 hipernefromas, 29 neuroblastomas, 19
melanomas malignos y 19 coriocarcinomas. Todas
fueron remisiones parciales sin desaparición completa de los tumores y
persistieron entre uno y cinco años. En
un seguimiento de los mismos pacientes efectuado por Colee (cita 22) se
observaron solamente tres casos de regresión de otras metástasis s siguiendo a
la irradiación de una de ellas y los tumores fueron dos coriocarcinomas y un
melanoma maligno.
En una revisión efectuada por Bloom en
1971 (cita 23) existían 34 casos y aún reconociendo la posibilidad de
observaciones no publicadas se consideró la regresión espontánea como un fenómeno
extremadamente raro. Este autor en
series de 200 pacientes en tratamiento con radioterapia u hormonoterapia solo
observó un caso de remisión parcial de metástasis pulmonares por tres meses,
mientras crecían paralelamente una masa mediaintestinal y metástasis
vaginales; la restante observación fue postnefrectomia con remisión de metástasis
pulmonares bilaterales por dos años.
A partir de entonces se ha recopilado un total mundial de 68 casos de
regresión espontánea de carcinoma renal bien documentados, incluyendo en este
número los 31 de Everson y Cole y los agrupados por Bloom.
Hasta 1980 en la impecable recopilación de Fairlamb (cita 24) se citan
65 casos más los dos presentados por dicho autor, de ellos 57 remisiones
siguieron a la nefrectomía, 4 casos a irradiación del primitivo, nefrectomía
e irradiación del secundario dominante en un caso y cinco casos antes de la
nefrectomía. Tanto los 4 casos
post-radiación del primitivo como los cinco casos prenefrectomia fueron
regresiones de metástasis pulmonares sin confirmación histológica y los
pacientes fallecieron entre cuatro meses y dos años después de la observación
(citas 24-26-27).
Hasta 1990 sólo se publicó un caso adicional por Omland y Fossa (cita
25) en 1989. En todos los casos sé
trató de remisión de una metástasis única, situada en pulmón (60 casos), en
hueso (3 casos), piel (1 caso), hígado
(1 caso), muslo (1 caso) e intestino (1 caso). El único caso de metástasis pulmonar y cerebral combinadas
es el de Omland, pero sin confirmación histológica y asimismo postnefrectomia.
Sería extremadamente raro que nos encontráramos ante el primer caso
de la literatura mundial de regresión de múltiples metástasis sin nefrectomía
y con extirpación de una de ellas solo después que todas se hallaban en franca
remisión incluso la escindida; agregándose a esto la remisión del tumor
primitivo renal (demostrada por su desaparición ecográfica).
Discusión para
todos los casos
Debemos destacar ante toda la absoluta carencia de complicaciones y efectos secundarios del tratamiento HANSI, ya que no se presentó ninguna sintomatología asociada a pesar de los 18 meses de tratamiento ininterrumpido con una aplicación diaria intramuscular y las dosis orales. Por el contrario en los primeros días de tratamiento, antes de iniciada la radioterapia se notó una mejoría subjetiva de] enfermo y la remisión de la sintomatología motora lo que le permitió asistir ambulatoriamente a las sesiones de radioterapia.
Si bien las dosis y tiempos de aplicación de la terapia radiante (5000
rads, 250 por hemicraneo y por día) no pueden considerarse agresivas (cita 28)
son de esperarse siempre efectos secundarios derivados del edema cerebral y
exacerbación de los síntomas causados por la patología tratada, lo que obliga
a la administración preventiva de corticoesteroides (cita 29); de hecho es lo
recomendado por el United Estates Radiation Theraphy Oncology Group (R.T.0.G.)
(cita 30). En nuestro caso la
tolerancia a la radioterapia fue muy buena con rápida remisión de la
sintomatología neurológica y en ningún momento fue necesario administrar
corticotera- pia, antieméticos ni antinflamatorios.
Resulta destacable también el hecho de que la remisión y desaparición
de metástasis fue comprobada tanto ecográfica como tomográficamente en los
mismos centros y por los mismos profesionales que estaban informados de las
lesiones previas.
Paralelamente a los cambios histológicos se observaron cambios en la
concentración de proteínas totales, inmunoglobulinas e inmunocomplejos así
como cesación del dolor local, mejor estado general y aumento de peso corporal.
Por reacciones cutáneas se observo aumento de la positividad para los
test de inmunidad retardada y estimulación de células "T"
principalmente y células "B" accesoriamente; siendo en esto
coincidentes con nuestra observación a través de la inmunohistoquímica que
destaca un gran número de linfocitos "T" en el área peritumoral.
Estos últimos elementos se hallan indiscutiblemente asociados a
inmunidad celular, asociados a su vez a la proliferación neovascular que
actualmente se sabe esta en relación a la activación linfocitaria local y sistémica
en fase inflamatorio a través de la producción de IL 1 (Interleukina l), IL 6,
GM-CSF (Granilocite-Macrofage colony stimulating factor), etc. (cita 32).
A su vez la interacción de los macrófagos hialiados en gran número en
nuestra biopsia, siendo productores en su estado activado de TNF (Tumor necrosis
factor) permiten la lisis tanto in vivo como in vitro de las células tumorales.
Es en estos elementos (macrófagos) en los cuales nuestro método de
estimulación se demuestra más eficiente que la inmunoadsorción ya que en
nuestro caso los elementos citológicos presentes están todos relacionados
activamente con la inmunidad antitumoral.
A través del TNF los macrófagos estimulan la producción, en otros
macrófagos de TNF MRNA (ARN mensajero de TNF) que con el estímulo de otras
linfoquinas se transcriban proteína TNF (cita 33); a su vez el TNF produce en
las células endoteliales una serie de respuestas protromboticas y
proinflamatorias, induciendo la expresión de estructuras de adhesión de
membrana como ELAM 1 a ICAM 1 (Endothelial cell leukocite adhesion molecule 1 a
intercellular adhesion molecule 1) (citas 33 y 34) que favorecen la marginación
de linfocitos "T" selectivamente.
La presencia de células "B" asociadas en menor número a la
respuesta inmune se explica por la producción de IL 4 por los linfocitos
"T" que tiene como función coestimular la proliferación de
linfocitos "B" (cita 35) y actuar sobre las células endoteliales para
favorecerla adhesividad delas células "T"
pero no de los polimorfonucleares (citas 34 y 36) los que coincidentemente en
nuestro caso se hallan solo en zonas de necrosis avanzada.
Por otra parte la presencia de abundantes mastocitos evidenciados con
la técnica de Giemsa nos induce a pensar en IL 3, factor producido por células
"T', activadas que tiene importante acción en la atracción y diferenciación
de BMMC (Bone marrow mast cell) y MMC (Mucosal mast cell) hacia CTMC (Conective
tissue mast cell) estas últimas íntimamente asociadas a los fibroblastos a los
que induce a fabricar Globopentanosileeramida, la
que incorporan a su membrana celular.
A su vez induce a los fibroblástos a la producción de colageno tipo 1 y
colágeno total, haciéndoles perder la inhibición por contacto llegando a
observarse once capas de fibroblastos (cita 37); teniendo de esta forma relación
causal con los fenómenos de fibrosis y colagenosis peritumoral.
Accesoriamente tanto las células endoteliales como los CTMMC son
capaces de producir PGL 2 (Prostaglandina 2) a partir del ácido Araquidónico,
substancia que es un potente vasodilatador y antiagregante plaquetario.
Nos resta evaluar la presencia de plasmocitos activos positivos para
cadenas Kappa y Lambda, seguramente epifenómeno de la producción de IL 4 por
los linfocitos "T" con afluencia de células "B" y
diferenciación de los
En síntesis, del estudio de los elementos celulares presentes se
evidencia un fenómeno inmune activo, bien estructurado y desarrollado,
orientado principalmente a la inmunidad "T", con asociación adecuada
de elementos "B" y una alta eficiencia necrotizante en el seno del
tumor; dada por la evidente desproporción entre elementos celulares linfoides y
necrosis efectiva, comparada con otros casos de tumores malignos sin
tratamiento. Observándose en
nuestro caso un elevado porcentaje de necrosis (80%) con moderada presencia de
elementos linfoides (escasos pero eficientes), contrastando con casos en que la
reacción peritumoral es nula, con presencia de fibrosis únicamente (que sirve
de substrato al crecimiento tumoral). 0 con activa afluencia de
polirnorfonucleares, esonófilos, linfocitos y plasmocitos desordenados y en
grandes cantidades pero ineficientes para detener el crecimiento tumoral (cita
38).
Conclusiones
En
el análisis de la evolución del enfermo se rescatan datos de notable
significación atribuibles sin dudas al resultado de la terapéutica HANSI
A) La excelente tolerancia a la radioterapia cerebral sin el
apoyo de corticoesteroides ni
otra medicación para paliar los
efectos secundarios.
B) El notable mejoramiento de su perfomance al inicio del
tratamiento con remisión de
síntomas neurológicos y posibilidad
de tratamiento ambulatorio.
C) Curación de micosis superficial (cándida) sin medicación específica, fenómeno solo atribuible a la participación del sector "T" en la respuesta inmune del paciente.
D)
La regresión tumoral comprobada a través de métodos de diagnóstico
por imágenes de
la metástasis hepáticas y subcutáneas
y la desaparición ecográfica del tumor primitivo renal sin tratamientos sistemáticos
ni loco regionales ortodoxos; demostrando una activa relación en favor del huésped.
E) Los hallazgos histopatológicos con importante predominio de los macrófagos en la respuesta celular mononuclear peritumoral, que en nuestro caso son los elementos predominantes contra lo habitualmente descrito en la literatura mundial (citas 38, 39, 40, 41, 42 y 43). Además se destacan los fenómenos de necrosis tumoral y estroma fibrovascular limitante poco comunes en los casos tratados.
Buenos Aires, Argentina, Agosto 1991
Grupo médico de Investigación Centro Médico HANSI.
Bibliografía
1) Bansel S
C, Bansel 1, Baland J P: Blocking and unblocking factors in neopiasms.
Curr. Microbiol.
Immunol. (1976); 75:45-76.
2) Hellstrom K E,
Hellstrom 1 : Limphocite mediated citotoxiciti and blocking serum activities to
tumor antigens. Adv.
Immunol. (1974); 18:209-277.
3) Heberman R B: Cell mediated immunity to tumor cells.
Adv. Cancer Res. (1974);
19:207-263.
4) Kraovec J,
Singh M, Mammen M: Syntesis of site-specific metrotexateIgG conjugases. Cancer Immunol. Immunother.
(1989) 29:293-302.
5) Luner S T,
Ghose T, Chatterjee S: Monoclonal antibodies to kidney and tumor-associated
surface antigens of human renal cell carcinoma.
Cancer Res. (1986) 46: 5816.
6) Fuminori Abe, Schneider M, Black P: Chemoimmunotherapy with
ciclophosphamide and Bestatin in experimental metástasis in mice. Cancer Immunol. Immunother.
(1989) 29:231-236.
7) Kaya G, Akin C,
AltugT.: The antitumor effeets of bleomycin combined with Bestatin Ehrlich
aseites carcinoma in mice (42667). Pro.
Soe. Exp. Blol.Med.
(1988) 187:292.
8) Leyhausen G.,
Schuster D K, Vaith P: Identification and properties of the cell membranebound
lecucin aminopeptidase interacting with potencial immunostimulant and
chemotherapeutic agent Bestatin. Biochem,
Pharmacol. (1983) 32:1051.
9) Blomgren -H,
Naslünd 1, Esposti P L, Johansen L, Aaskoven 0: Adyuvant Bestatin immuno
therapy in patients with transitional cell carcinoma of the bladder.Cancer
Immunol. Immunother. (1987); 25:40.
10) Blomgren H, Edsnyr F,
Esposti P L, Naslünd 1: Immunological and hematological monitoring in bladder
cancer patients receiving adyuvant Bestatin treatment following radiation
therapy. A prospective randomized
trial. Biomed, Pharmacother.
(1984); 38:143.
11) Aungust C W, SQkal J E,
Jager B W: Complications of BCGvaccination in neoplasia disease.
Ann. Int.
Med. (1975); 82:666-669.
12) Sparks F C: Hazards and complications of BCG
immunotherapy. Med.Clin.
North Am. (1976); 60:449-507.
13) Mastrangelo
M J, Bard D. Ballet R E: Critical review of previously reported clinical trials
of cancer immunotherapy with nonspecific immunostimulants. Ann. NY Acad.
Sci. (1976);
277:94-122.
14) Cooper M R, Pajak T
F, Nissen N, Blumer K, Stutzmán L, Bank A: Effect of the methanol
extraction residue of Bacillus Calmette Guerin in advance Hodgkin Disease.
Cancer (1982); 49:2226-2230.
15) Rabindoux A,
Gutterman J V, Badey G P, Hersh E M. Actinomycin D plus 5-(3-3-Dimethil-
ITriazeno)-Imidazole-4-Carboxamine (DITIC) with or without intravenous
Corynebacterium
Parvum in metastases malignant melanoma. Cancer
(1982); 49:2246-2251.
16) MavligitGM
andWongWL: Partial restoration of local GVHreaction
17) Hsu S M, Rainel L.
Fanger H: Use of Avidin-Biotin-Peroxidase techniques a comparison
between ABC and an unlabeled antibody (DAP) procedures.
Jour. Histichem.
Cytochem.
(1981); 29:577-580.
18) Taylor C R, Phil D,
Kledzik G: Immunohistologie techniques in surgical pathology a spectrum
of "new" special stains. Human
Pathology (1981); V 12 N'17: 590-596 July 1981.
19) Lennert K Stein H, Feller A C: Morphology, citochemistry and
immunohistology of T cell
lymphomas. In : B and T cell
tumors. Vol 1 New York Academie
Press, 1982.
20)
Linnet K, Mori: Histopathology and diagnosis of non Hodgkin lymphomas.
Malignant
lymphomas other than Hodgkin’s disease, Springer Verlag Berlin 1978.
21) Everson T C, Cole
W H: Spontaneous regression of cancer. Philadelphia:
W B Saunders Co.; 1966; 11-87.
22)
Cole W H; Spontaneous regression of cancer: the metabolic triumph
23)
Bloom HJG: Medroxiprogesterone acetate (Provera)in the treatment
24) Fairlamb D J: Spontaneous regression of renal cancer.
Cancer (1981); 47:2102+2106.
41)
Omland F, Fossa S: Spontaneous regression of
cerebral and pulmonary metastases in renal cell carcinoma.
Seand J. Urol. Nefrol; 23:159-160, 1989.
42)
26) Baert L, Tanghe W: Sur un cas dádenocarcinome
renal avec metastases pulmonaires en regression espontanee.
J.
Urol. Nephrol. (París 1971);
77:225-234.
27) Mainders A E:
Spontaneous regression of (presumably) pulmonary metastases in a patient with
a renal clear
carcinoma. Folia Med.
Neer.
28) Steven A L,
Sheline G E: Radiation therapy for neoplasms of the
29) Salazar 0 M,
Rubin 0, Mae Donald J V, et al: High dose radiation
41)
Kramer 8, Hendrickson F, Zelen M, et al:
Therapeutic in the management of metastases brain tumors by different time/dose
fraction schemes of radiation therapy. Natl.
Cancer Inst. Monog. ;
46-213-221, 1977.
31) Ray P K,
Idiculla A, Mark R et al: Extracorporealimmunoadsorption of plasma from a
metastatic colon carcinoma patient by Protein A-containing nonviable
Staphylococcus Ause. Clinical
biochemical serological and histology evaluation of the patient's response. Cancer; 49:1800-1809, 1982.
32) Miantovani A and Dejana E: Cytokines as communication signals between
leukocytes and endothelial ceils. Immunology
Today, Vol. 10 Noll: 370-375, 1989.
33) Descoteaux A and
Matlashewsky G: Regulation of tumor necrosis factor gene expression and protein
synthesis in murine macrophages treated with recombinated tumor necrosis factor.
The Journal of Immunol. Vol.
145, 846-853 August 1, 1990.
34) Thornill M H and Haskard D
0: 11 4 regulates endothelial cell activation by 11 1 tumor necrosis factor of
IFN Gamma. The Journal of Immunol.
Vol. 145, 865-872, N'3 August 1, 1990.
35) Howard M, Farrar J, Hipber
M: Identification of a T cell-derived B cell grow factor distinct from 11 2.
Juor. Exp. Med.; 155:914, 1982.
36) Thornhill M H, Kyan-Aung U
andhaskard D 0: 11 4 increases human endothelial cell adhesiveness for T cells
but not neutrophils. Jour. immunol.
Vol 144 :3060, 1990.
37) Stevens R L and Austen F:
Recent advances in the cellular and molecular biology of mast cells.
Immunology Today Vol. 10 N'11; 381-386, 1989.
38) Norazmi M N, Hohman AW,
SkinerJ M, et. al: Density and phenotype of tumor-associated mononuclear cells
in colonic carcinomas determined by computer-assisted video image analysis.
Immunology 1990, 69:282-286.
39) Rowe D J and Beverly P C
L: Characterization of breast cancer infiltrates using monoclonal antibodies to
human leukocyte antigens. Br.
J. Cancer, 49-149-159, 1984.
40) Whitweil H L, Hughes H P
A, Moore M, AhmedA: Expression of major histocompatibility antigens and
leukocyte infiltration in benign and malignant human breast disease.
Br. J. Cancer, 49, 161-172,
1984.
41)
Svenning J L, Lunde 0 C, Holter J, Bjorgsvik D:
Lymphoid infiltration and prognosis in colorectal carcinoma.
Br. J. Cancer, 49,375-377,
1984.
42) Cibsa A, Whitwell H L and Moore M: Distribution histocompatibility
and leukocyte differentiation antigens in normal human colon and benign and
malignant colonic neoplasm. Br.
J. Cancer, 50, 699-709, 1984.
43) An Teisa, Sood U, Pietruk
T, et, al.: In situ Quantitation of inflammatory mononuclear cells in ductal
infiltrating breast carcinoma. American
Jour. Of Pathol., Vol. 128, N' 1
July 1987.