Fracturas del maléolo externo. Tratamiento con tornillos de compresión interfragmentaria.
Trabajo
especial de investigación como requisito para optar al título de especialista en
Traumatología y Ortopedia de la Universidad Central de Venezuela presentado el 12 de
Diciembre del 2001 en el Hospital Miguel Pérez Carreño.
Autor: Juan Carlos Albornoz
Tutor: Gretchen Bracho
Resumen .
Objetivo: Comparar la fijación interna de fracturas de peroné con tornillos de compresión interfragmentaria con el empleo de placa tercio de caña lateral
Diseño: Se trata de un estudio prospectivo, experimental, controlado.
Métodos :Se estudiaron 43 pacientes divididos aleatoriamente en dos grupos, 22 tratados con tornillos de compresión interfragmentaria y 21 tratados con placa de tercio de caña lateral. Se evaluó tiempo quirúrgico, tamaño de la herida, tiempo de consolidación, dolor postoperatorio en el maléolo externo y resultado funcional medido al sexto mes de postoperatorio.
Análisis Estadístico: Se empleó t de Student y Chi cuadrado en el análisis de los resultados.
Resultados: Encontramos un menor tiempo quirúrgico y una menor cantidad de pacientes con dolor postoperatorio en el maléolo externo en el grupo tratado con osteosíntesis mínima
Conclusión: El empleo de osteosíntesis mínima en el tratamiento de fracturas de peroné es un método seguro y efectivo en pacientes adecuadamente seleccionados.
Palabras Claves:
Tobillo, Fractura, Peroné, Osteosíntesis, Compresión interfragmentaria.
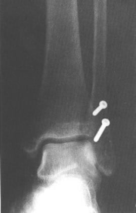
Figura 1
